若返りの症例写真(若返り) 新着
ドクターが選ぶ BEST SHOT AWARD
症例写真一覧
表示件数:52944件 / 348459件
若返り / シークレットリフト 他 No.360090
【糸リフト】フェイスライン・法令線の糸リフトのみ南青山院わた先生【イテウォン 若返り】
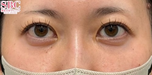
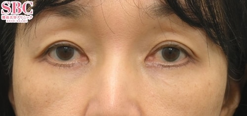
若返り / ナチュラル脂肪注射コンデンスリッチ No.360074
◆◆美容外科専門医 名倉が叶える 美顔術!! へこみを無くして美しい輪郭へ!! ◆脂肪注入(頬)1ヶ月後のお写真
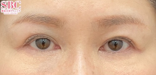
若返り / 眉下リフト(眉下切開) No.360069
◆◆目元切開厳選医師の名倉が叶える -5歳!! 眉下リフト◆◆瞼のたるみでお悩みの方必見!!3ヶ月後のお写真
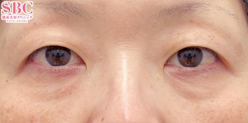
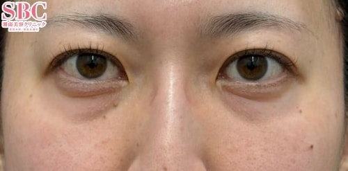
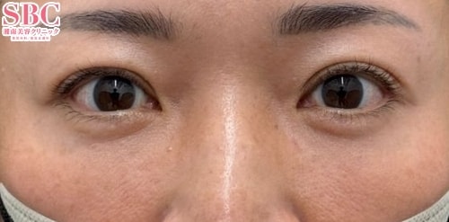
若返り / ナチュラル脂肪注射コンデンスリッチ 他 No.360068
◆◆美容外科専門医 名倉が叶える -5歳!! 目の下のたるみ取り+脂肪注入(目の下~ゴルゴ線)◆◆目の下のぷっくり、クマでお悩みの方必見!!◆1ヶ月後のお写真
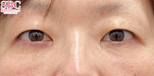
若返り / プリマリフト No.360067
◆◆美容外科専門医 名倉が叶える小顔術!!糸リフト6年連続全国1位 (2019年~2024年)!※SBC内◆◆プリマリフト+脂肪吸引(頬+顎下)◆ 6ヶ月後のお写真
若返り / VOV(ボブ)リフト No.360066
【若返りMuse】もえか先生の若返り術|お客様一人ひとりに合わせたパーソナルプランで自然な若返り?
若返り / 切開ハムラ(表ハムラ)法 No.360061
【切開ハムラ法】院長による大きなクマ治療
若返り / 目の下の切らないクマ・たるみ(ふくらみ)取り 他 No.360059
【目の下の切らないクマ取り】【コンデンスリッチ脂肪注入(目の下~ゴルゴ)】【ナノリッチ(目の下~ゴルゴ、涙袋)】
若返り / VOV(ボブ)リフト 他 No.360055
【糸リフト】フェイスライン・法令線の糸リフトのみ南青山院わた先生【イテウォン 若返り】
若返り / テスリフト 他 No.360042
【土田式ハリウッド糸リフト】京都で切らない若返り・リフトアップならリテスリフト症例数関西No.2(※)の土田博之医師にお任せ!(SBC内症例数 2025年上半期)
若返り / 目の下の切らないクマ・たるみ(ふくらみ)取り 他 No.360041
お疲れ目元改善!土田博之医師による【目の下のクマ・たるみ取り】目元切開で選ばれています!眉下リフト症例数関西No.2(※)(SBC内症例数 2023年上半期)
若返り / 目の下の切らないクマ・たるみ(ふくらみ)取り 他 No.360022
【若返り】【目の下の切らないクマ取り】クマ取りで圧倒的な若返りを!丁寧な術中操作でダウンタイムを最小限に抑えます!
若返り / 目の下の切らないクマ・たるみ(ふくらみ)取り 他 No.360017
目の下の切らないクマ・たるみ(ふくらみ)取り+コンデンスリッチ法で圧倒的若返り体験を!
若返り / コンデンスリッチフェイス脂肪注入全顔入れ放題 No.360012
脂肪注入全顔入れ放題なら 気になる部分を一度で解決!
若返り / 目の下の切らないクマ・たるみ(ふくらみ)取り No.360008
【クマ取り】目の下のクマ取りイテウォン南青山院わた先生【イテウォン クマ取り・若返り】
若返り / 切開ハムラ(表ハムラ)法 他 No.360004
【クマ取り/切開(表)ハムラ法症例数全国No.1〈2025年上半期SBC内〉】統括技術指導医/美容外科専門医/プレミアムドクター坂西執刀(横浜東口院)★クマ取りはベテランドクターにお任せください!
若返り / 切開ハムラ(表ハムラ)法 他 No.360003
【クマ取り/切開(表)ハムラ法症例数全国No.1〈2025年上半期SBC内〉】統括技術指導医/美容外科専門医/プレミアムドクター坂西執刀(横浜東口院)★クマ取りはベテランドクターにお任せください!
若返り / 切開ハムラ(表ハムラ)法 他 No.360002
【クマ取り/切開(表)ハムラ法症例数全国No.1〈2025年上半期SBC内〉】統括技術指導医/美容外科専門医/プレミアムドクター坂西執刀(横浜東口院)★クマ取りはベテランドクターにお任せください!
若返り / 切開ハムラ(表ハムラ)法 他 No.360001
【クマ取り/切開(表)ハムラ法症例数全国No.1〈2025年上半期SBC内〉】統括技術指導医/美容外科専門医/プレミアムドクター坂西執刀(横浜東口院)★クマ取りはベテランドクターにお任せください!
若返り / 目の下の切らないクマ・たるみ(ふくらみ)取り No.359999
【クマ取り×脂肪注入】目の下が変わると、人生が変わる。老け顔・疲れ顔の原因、30分でさよなら!
































































