若返りの症例写真(若返り) 新着
ドクターが選ぶ BEST SHOT AWARD
症例写真一覧
表示件数:52944件 / 348459件
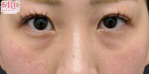
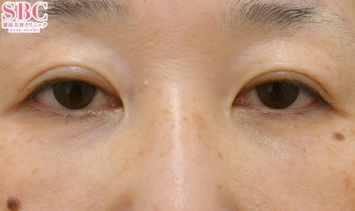
若返り / 裏ハムラ法 他 No.359998
【若返り】【30代症例】☆症例数第1位!(アイバックリムーブ/2025年上半期/東日本)☆【裏ハムラ+ナノリッチ】切る・切らない二つの視点からお客様にとって最適な治療を提案します!目の下のたるみ・クマをなくして-5歳に印象チェンジ!【施術後1週間経過】
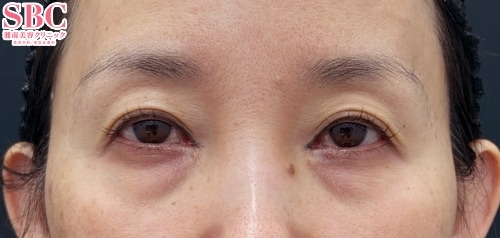
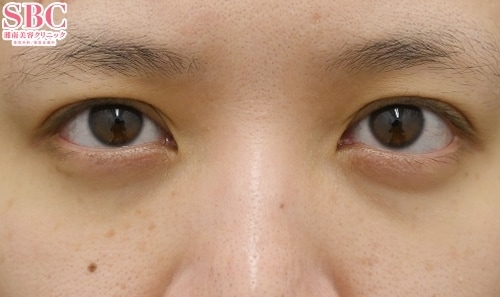
若返り / 裏ハムラ法 他 No.359997
【40代/女性/クマ取り】SBC公式切らない若返りの神業医師 小泉佑太による違和感ゼロのクマ取り
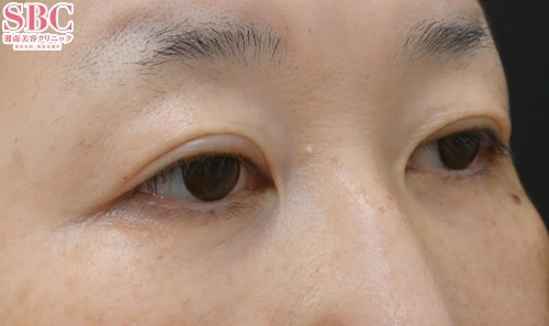
若返り / 切開ハムラ(表ハムラ)法 他 No.359988
【立川院】【クマ・たるみ改善】目元の若返りを実現!
若返り / アイバックリムーブ法 他 No.359987
【目元若返り・クマ治療】【術後1ヶ月経過】【池袋東口院】「切開あり(アイバックリムーブ法)」で疲れ顔卒業!口コミ・紹介で人気の高山医師にお任せください!
若返り / 目の下の切らないクマ・たるみ(ふくらみ)取り 他 No.359983
【若返りmuse】二子玉川院院長の青柳萌花による目の下の切らないクマたるみ取り★若々しい目元に!
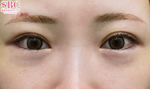
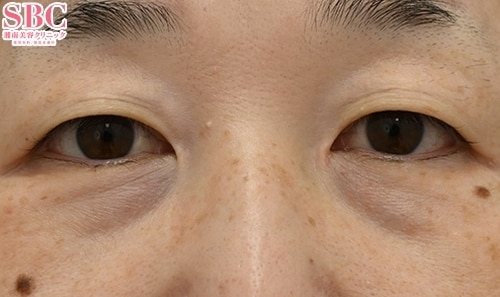
若返り / 裏ハムラ法 他 No.359974
【若返り】【30代症例】☆症例数第1位!(アイバックリムーブ/2025年上半期/東日本)☆【裏ハムラ+ナノリッチ】切る・切らない二つの視点からお客様にとって最適な治療を提案します!目の下のたるみ・クマをなくして-5歳に印象チェンジ!【施術後3か月経過】
若返り / コンデンスリッチフェイス法(額・こめかみ脂肪注入) 他 No.359959
【指名多数の大人気ドクター】Dr.中川の若返り。ー若い時より美しく若返るー
若返り / 目の下の切らないクマ・たるみ(ふくらみ)取り No.359953
★外科医歴20年以上★【岩砂医師の大人気クマ取り!】安心の技術力で目元の若返り!【20代女性クマ取り(脂肪注入なし)】【術後1ヶ月】
若返り / ナチュラル脂肪注射コンデンスリッチ No.359951
脂肪注入で輪郭形成に成功した一例
若返り / 裏ハムラ法 No.359948
目の下の切らないクマ治療、裏ハムラ法で圧倒的若返り体験を!
若返り / 裏ハムラ法 No.359945
目の下の切らないクマ治療、裏ハムラ法で圧倒的若返り体験を!
若返り / 裏ハムラ法 No.359944
目の下の切らないクマ治療、裏ハムラ法で圧倒的若返り体験を!
若返り / 裏ハムラ法 No.359939
目の下の切らないクマ治療、裏ハムラ法で圧倒的若返り体験を!
若返り / ナチュラル脂肪注射コンデンスリッチ No.359938
◆◆美容外科専門医 名倉が叶える 美顔術!! へこみを無くして美しい輪郭へ!! ◆脂肪注入(顎)8ヶ月後のお写真
若返り / VOV(ボブ)リフト 他 No.359937
【若返りMuse】もえか先生の若返り術|お客様一人ひとりに合わせたパーソナルプランで自然な若返り?
若返り / 眉下リフト(眉下切開) No.359934
◆◆目元切開厳選医師の名倉が叶える -5歳!! 眉下リフト◆◆瞼のたるみでお悩みの方必見!!3ヶ月後のお写真
若返り / ナチュラル脂肪注射コンデンスリッチ 他 No.359933
◆◆美容外科専門医 名倉が叶える -5歳!! 目の下のたるみ取り+脂肪注入(目の下~ゴルゴ線)◆◆目の下のぷっくり、クマでお悩みの方必見!!◆1ヶ月後のお写真
若返り / プリマリフト No.359932
◆◆美容外科専門医 名倉が叶える小顔術!!糸リフト6年連続全国1位 (2019年~2024年)!※SBC内◆◆プリマリフト+脂肪吸引(頬+顎下)◆ 3ヶ月後のお写真
若返り / 裏ハムラ法 他 No.359922
【若返り】【30代症例】☆症例数第1位!(アイバックリムーブ/2025年上半期/東日本)☆【裏ハムラ+ナノリッチ】切る・切らない二つの視点からお客様にとって最適な治療を提案します!目の下のたるみ・クマをなくして-5歳に印象チェンジ!【施術後3か月経過】
若返り / VOV(ボブ)リフト 他 No.359921
【糸リフト】フェイスライン・法令線の糸リフトのみ南青山院わた先生【イテウォン 若返り】


































































