若返りの症例写真(若返り) 新着
ドクターが選ぶ BEST SHOT AWARD
症例写真一覧
表示件数:52944件 / 348459件
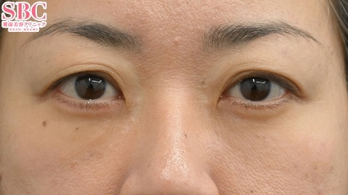
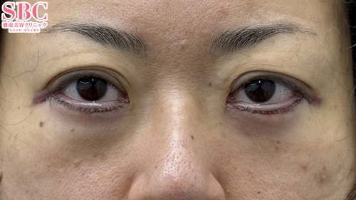
若返り / 切開ハムラ(表ハムラ)法 No.359912
【クマ取り/切開(表)ハムラ法症例数全国No.1〈2025年上半期SBC内〉】統括技術指導医/美容外科専門医/プレミアムドクター坂西執刀(横浜東口院)★クマ取りはベテランドクターにお任せください!
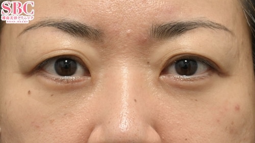
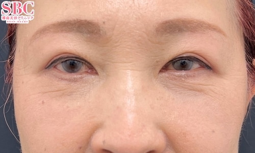
若返り / 切開ハムラ(表ハムラ)法 No.359911
【クマ取り/切開(表)ハムラ法症例数全国No.1〈2025年上半期SBC内〉】統括技術指導医/美容外科専門医/プレミアムドクター坂西執刀(横浜東口院)★クマ取りはベテランドクターにお任せください!
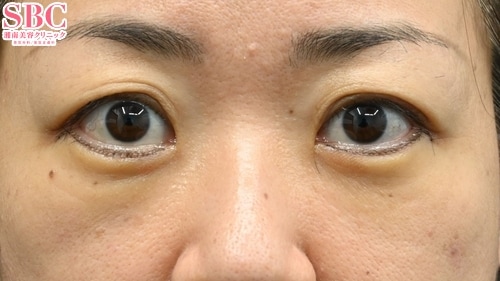
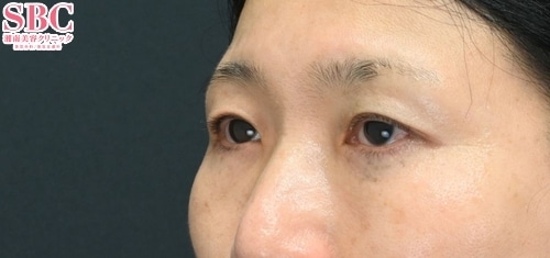
若返り / 切開ハムラ(表ハムラ)法 No.359910
【クマ取り/切開(表)ハムラ法症例数全国No.1〈2025年上半期SBC内〉】統括技術指導医/美容外科専門医/プレミアムドクター坂西執刀(横浜東口院)★クマ取りはベテランドクターにお任せください!
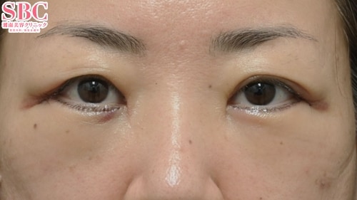
若返り / 切開ハムラ(表ハムラ)法 No.359909
【クマ取り/切開(表)ハムラ法症例数全国No.1〈2025年上半期SBC内〉】統括技術指導医/美容外科専門医/プレミアムドクター坂西執刀(横浜東口院)★クマ取りはベテランドクターにお任せください!
若返り / 切開ハムラ(表ハムラ)法 No.359907
【クマ取り/切開(表)ハムラ法症例数全国No.1〈2025年上半期SBC内〉】統括技術指導医/美容外科専門医/プレミアムドクター坂西執刀(横浜東口院)★クマ取りはベテランドクターにお任せください!
若返り / 切開ハムラ(表ハムラ)法 他 No.359906
【切開ハムラ】目の下のクマ取り治療で若返り★目の下のくまが気になる方は、満安医師にお任せ★
若返り / ナチュラル脂肪注射コンデンスリッチ 他 No.359905
【裏ハムラ】目の下のクマ取り治療で若返り★目の下のくまが気になる方は、満安医師にお任せ★
若返り / 裏ハムラ法 他 No.359904
【裏ハムラ】目の下のクマ取り治療で若返り★目の下のくまが気になる方は、満安医師にお任せ★
若返り / シークレットリフト 他 No.359903
【糸リフト】糸リフトで自然な若返り★顔のたるみが気になる方は、満安医師にお任せ★
若返り / 裏ハムラ法 No.359889
【40代:クマ取り】中部2位の裏ハムラ〈2025年上半期SBC内症例数〉SBC社員から指名殺到中の東医師のミニマムダウンタイムクマ取り!目の下のたるみは、たるみ特化型Dr「たるみソムリエ東」にお任せ!
若返り / ナチュラル脂肪注射コンデンスリッチ No.359882
◆◆美容外科専門医 名倉が叶える 美顔術!! へこみを無くして美しい輪郭へ!! ◆脂肪注入(額)1ヶ月後のお写真
若返り / 眉下リフト(眉下切開) No.359879
◆◆目元切開厳選医師の名倉が叶える -5歳!! 眉下リフト◆◆瞼のたるみでお悩みの方必見!!1ヶ月後のお写真
若返り / ナチュラル脂肪注射コンデンスリッチ 他 No.359878
◆◆美容外科専門医 名倉が叶える -5歳!! 目の下のたるみ取り+脂肪注入(目の下~ゴルゴ線)◆◆目の下のぷっくり、クマでお悩みの方必見!!◆3ヶ月後のお写真
若返り / プリマリフト No.359877
◆◆美容外科専門医 名倉が叶える小顔術!!糸リフト6年連続全国1位 (2019年~2024年)!※SBC内◆◆プリマリフト+脂肪吸引(頬+顎下)◆ 6ヶ月後のお写真
若返り / 切開ハムラ(表ハムラ)法 No.359874
【若返りmuse】二子玉川院院長の青柳萌花による目の下の切らないクマたるみ取り★若々しい目元に!
若返り / 目の下の切らないクマ・たるみ(ふくらみ)取り No.359850
【脱脂+脂肪注入】疲れ知らずの華やかな目元に
若返り / ヒアルロン酸 No.359848
ほうれい線、マリオネットラインの改善した一例
若返り / 切開ハムラ(表ハムラ)法 No.359844
【切開法なのに、整形感のないナチュラルな目元へ】切開ハムラ+脂肪注入
若返り / ヒアルロン酸 No.359837
【ほうれい線ヒアルロン酸】口元の年齢をリセットする
若返り / ナチュラル脂肪注射ナノリッチ 他 No.359834
40代女性 目の下の切らないクマ・たるみ取り/ナチュラル脂肪注射コンデンスリッチフェイス(目の上・目の下・ゴルゴ) /ナチュラル脂肪注射ナノリッチ(目の下・ゴルゴ)
































































