美容整形の症例写真(美容整形) 新着
症例写真一覧
表示件数:320136件 / 350136件
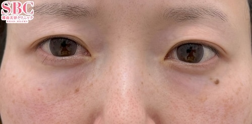
若返り / 眉下リフト(眉下切開) 他 No.362377
【クマ取り】【ハムラ法】膨らんだ「眼窩脂肪」を凹みに移動してクマ解消!老け見え解消なら奥医師にお任せ!【施術3ヶ月後】【裏ハムラ法×ナチュラル脂肪注射ナノリッチ】
AGA薄毛治療 / 毛根再生注射 他 No.362376
内服中止により悪化した20代男性。毛根再生注射1回。内服薬(フィナステリド、ミノキシジル)。3か月後の変化。
AGA薄毛治療 / エレクトロポレーションメソ 他 No.362375
30代男性。エレクトロポレーションメソ6回。内服薬(フィナステリド、ミノキシジル)。8か月後の変化。
AGA薄毛治療 / 毛根再生注射 他 No.362374
36歳男性、毛根再生注射+臍帯幹細胞上清液メソのみ、1年後
AGA薄毛治療 / 毛根再生注射 他 No.362373
36歳男性、毛根再生注射+臍帯幹細胞上清液メソのみ、1年後
二重・二重整形 / クイックコスメティーク・ダブルNeo No.362372
【10代 奥二重から末広二重へ】元々二重であったかのような自然さにこだわっています
二重・二重整形 / クイックコスメティーク・ダブルNeo No.362371
埋没法症例数8500件以上!!【クイックコスメティーダブル・Neo】 名古屋栄院 院長 中野達生
AGA薄毛治療 / 毛根再生注射 他 No.362370
[#125-2]40代前半男性:AGA治療薬の内服外用+毛根再生注射
AGA薄毛治療 / 毛根再生注射 他 No.362369
[#125-1]40代前半男性:AGA治療薬の内服外用+毛根再生注射
AGA薄毛治療 / 毛根再生注射 他 No.362368
毛根再生注射1回、HRタブレット&スプレーセット、40代男性、3ヶ月後
アートメイク / 医療アートメイク 他 No.362367
【AGA横浜院】【MOCCIパウダー技法】
若返り / ナチュラル脂肪注射コンデンスリッチ No.362366
◆◆美容外科専門医 名倉が叶える 美顔術!! へこみを無くして美しい輪郭へ!! ◆脂肪注入(額)1ヶ月後のお写真
脂肪吸引 / Aquicell(アキーセル)脂肪吸引 他 No.362365
★脂肪吸引症例数4年連続全国No1(2021-2024年)!※SBC内 No.1ドクター 名倉俊輔が叶える、ほっそりした太もも!★秋葉原院院長・他院長歴任 脂肪吸引・ボディーメイク専門 名倉俊輔 VASER脂肪吸引認定医 ☆吸引量・デザインへのこだわり☆ 脂肪吸引の真骨頂!!…
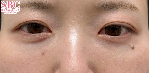
若返り / 裏ハムラ法 No.362364
目の下の切らないクマ治療、裏ハムラ法で圧倒的若返り体験を!
豊胸・バストの修正 / VASER併用コンデンスリッチ(脂肪注入豊胸) No.362363
■脂肪注入豊胸■ 脂肪豊胸症例数 東日本エリア3年連続女医1位 ※2022-24年 安心の女医・多田彩子(一般外科出身)による脂肪注入豊胸都心で経験豊富!要らない脂肪をお胸に移して、コンプレックス解消★
脂肪吸引 / Aquicell(アキーセル)脂肪吸引 他 No.362362
★脂肪吸引症例数4年連続全国No1(2021-2024年)※SBC内!No.1ドクター 名倉俊輔が叶える、ほっそりとした二の腕!★秋葉原院院長・他院長歴任 脂肪吸引・ボディーメイク専門 名倉俊輔 VASER脂肪吸引認定医 ☆吸引量・デザインへのこだわり☆ 脂肪吸引の真骨頂!!…
若返り / 裏ハムラ法 No.362361
目の下の切らないクマ治療、裏ハムラ法で圧倒的若返り体験を!
若返り / 眉下リフト(眉下切開) No.362360
◆◆目元切開厳選医師の名倉が叶える -5歳!! 眉下リフト◆◆瞼のたるみでお悩みの方必見!!3ヶ月後のお写真
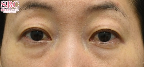
若返り / 目の下の切らないクマ・たるみ(ふくらみ)取り No.362359
◆◆美容外科専門医 名倉が叶える -5歳!! 目の下のたるみ取り+脂肪注入(目の下~ゴルゴ線)◆◆目の下のぷっくり、クマでお悩みの方必見!!◆1ヶ月後のお写真
若返り / プリマリフト No.362358
◆◆美容外科専門医 名倉が叶える小顔術!!糸リフト6年連続全国1位 (2019年~2024年)!※SBC内◆◆プリマリフト+脂肪吸引(頬+顎下)◆ 6ヶ月後のお写真




















































