若返りの症例写真(若返り) 新着
ドクターが選ぶ BEST SHOT AWARD
症例写真一覧
表示件数:52945件 / 348460件
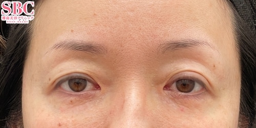
若返り / 目の下の切らないクマ・たるみ(ふくらみ)取り 他 No.359758
【元・大学病院形成外科講師】形成外科専門医モリゾーが執刀する切らないクマとり+脂肪注入
若返り / ナチュラル脂肪注射コンデンスリッチ No.359743
◆◆美容外科専門医 名倉が叶える 美顔術!! へこみを無くして美しい輪郭へ!! ◆脂肪注入(顎)1ヶ月後のお写真
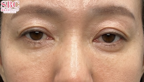
若返り / 眉下リフト(眉下切開) No.359740
◆◆目元切開厳選医師の名倉が叶える -5歳!! 眉下リフト◆◆瞼のたるみでお悩みの方必見!!1ヶ月後のお写真
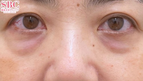
若返り / ナチュラル脂肪注射コンデンスリッチ 他 No.359739
◆◆美容外科専門医 名倉が叶える -5歳!! 目の下のたるみ取り+脂肪注入(目の下~ゴルゴ線)◆◆目の下のぷっくり、クマでお悩みの方必見!!◆1ヶ月後のお写真
若返り / プリマリフト No.359738
◆◆美容外科専門医 名倉が叶える小顔術!!糸リフト6年連続全国1位 (2019年~2024年)!※SBC内◆◆プリマリフト+脂肪吸引(頬+顎下)◆ 6ヶ月後のお写真
若返り / コンデンスリッチフェイス法(額・こめかみ脂肪注入) No.359726
【リードドクター】Dr中山執刀 【湘南美容外科にも在籍15年しリッチフェイス治療 圧倒的症例数の元立川院院長・新宿本院医長歴任の24年目のベテランDrによる自然な若返り治療】
若返り / 眉下リフト(眉下切開) No.359720
【眉下切開】まぶたが重くなってきたらコレ!10年前の目元へ♪
若返り / 女優注射(R)~リジュランHB+ボトックス~ No.359677
【女優注射】額の小ジワを改善、ツヤのある肌に
若返り / 目の下の切らないクマ・たるみ(ふくらみ)取り No.359670
★外科医歴20年以上★【岩砂医師の大人気クマ取り!】安心の技術力で目元の若返り!【30代クマ取り(脂肪注入なし)】【術後1ヶ月】
若返り / 裏ハムラ法 No.359663
【若返り】【30代症例】☆症例数第1位!(アイバックリムーブ/2025年上半期/東日本)☆【裏ハムラ】切る・切らない二つの視点からお客様にとって最適な治療を提案します!目の下のたるみ・クマをなくして-5歳に印象チェンジ!【施術後1週間経過】
若返り / プリマリフト 他 No.359653
【若返りMuse】もえか先生の若返り術|お客様一人ひとりに合わせたパーソナルプランで自然な若返り?
若返り / 目の下の切らないクマ・たるみ(ふくらみ)取り 他 No.359645
ダウンタイムの少ないクマ治療はお任せください!
若返り / 眉下リフト(眉下切開) No.359641
【眉下リフト1か月後】形成外科出身医師による傷跡最小限の切開若返り
若返り / 切開ハムラ(表ハムラ)法 No.359627
【切開ハムラ(表ハムラ)1か月後】形成外科出身医師による傷跡の目立ちにくい若返り術!
若返り / 切開ハムラ(表ハムラ)法 No.359626
【切開ハムラ(表ハムラ)1か月後】形成外科出身医師による傷跡の目立ちにくい若返り術!
若返り / 裏ハムラ法 他 No.359619
【若返り】【30代症例】☆症例数第1位!(アイバックリムーブ/2025年上半期/東日本)☆【裏ハムラ】切る・切らない二つの視点からお客様にとって最適な治療を提案します!目の下のたるみ・クマをなくして-5歳に印象チェンジ!【施術後1週間経過】
若返り / ヒアルロン酸ジュビダームビスタ バイクロスシリーズ No.359604
【ヒアルロン酸】【やせを改善する注入技術】
若返り / ヒアルロン酸ジュビダームビスタ バイクロスシリーズ No.359603
【ヒアルロン酸】【やせを改善する注入技術】
若返り / ヒアルロン酸ジュビダームビスタ バイクロスシリーズ No.359602
【ヒアルロン酸】【やせを改善する注入技術】
若返り / ヒアルロン酸ジュビダームビスタ バイクロスシリーズ No.359601
【ヒアルロン酸】【やせを改善する注入技術】


































































