若返りの症例写真(若返り) 新着
ドクターが選ぶ BEST SHOT AWARD
症例写真一覧
表示件数:53344件 / 350214件
若返り / プリマリフト No.362661
◆◆美容外科専門医 名倉が叶える小顔術!!糸リフト6年連続全国1位 (2019年~2024年)!※SBC内◆◆プリマリフト+脂肪吸引(頬+顎下)◆ 3ヶ月後のお写真
若返り / テスリフト 他 No.362657
【糸リフトSBC公式おすすめDr/テスリフトSBC内症例数中部No1※】【20代/糸リフト】切らない小顔のプロフェッショナル小泉による劇的Before&after ※2025年上半期
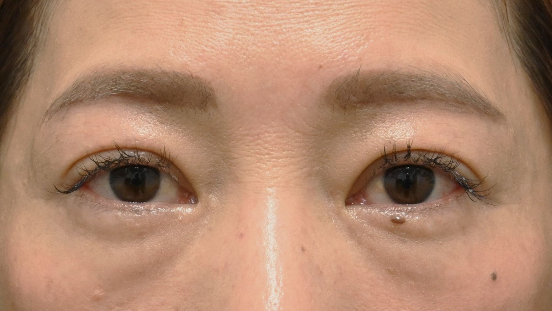
若返り / 眉下リフト(眉下切開) 他 No.362654
統括技術指導医/美容外科専門医/プレミアムドクター坂西執刀(横浜東口院)★若返り術はベテランドクターにお任せください!『眉下リフト+ROOF切除+女優注射(目の下/額)』
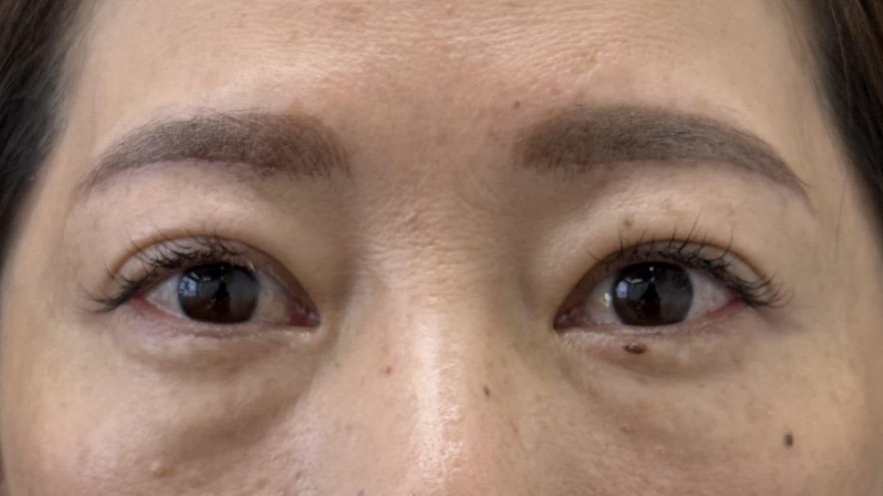
若返り / 眉下リフト(眉下切開) 他 No.362653
統括技術指導医/美容外科専門医/プレミアムドクター坂西執刀(横浜東口院)★若返り術はベテランドクターにお任せください!『眉下リフト+ROOF切除+女優注射(目の下/額)』
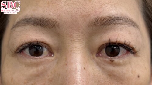
若返り / 眉下リフト(眉下切開) 他 No.362651
統括技術指導医/美容外科専門医/プレミアムドクター坂西執刀(横浜東口院)★若返り術はベテランドクターにお任せください!『眉下リフト+ROOF切除+女優注射(目の下/額)』
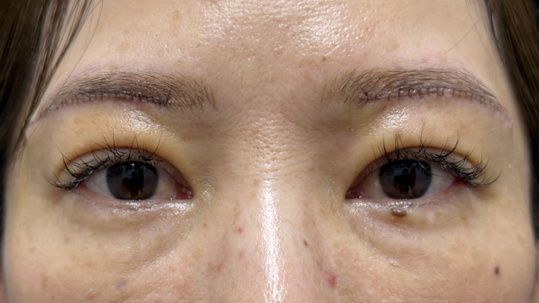
若返り / 眉下リフト(眉下切開) 他 No.362650
統括技術指導医/美容外科専門医/プレミアムドクター坂西執刀(横浜東口院)★若返り術はベテランドクターにお任せください!『眉下リフト+ROOF切除+女優注射(目の下/額)』
若返り / 眉下リフト(眉下切開) 他 No.362649
統括技術指導医/美容外科専門医/プレミアムドクター坂西執刀(横浜東口院)★若返り術はベテランドクターにお任せください!『眉下リフト+ROOF切除+女優注射(目の下/額)』
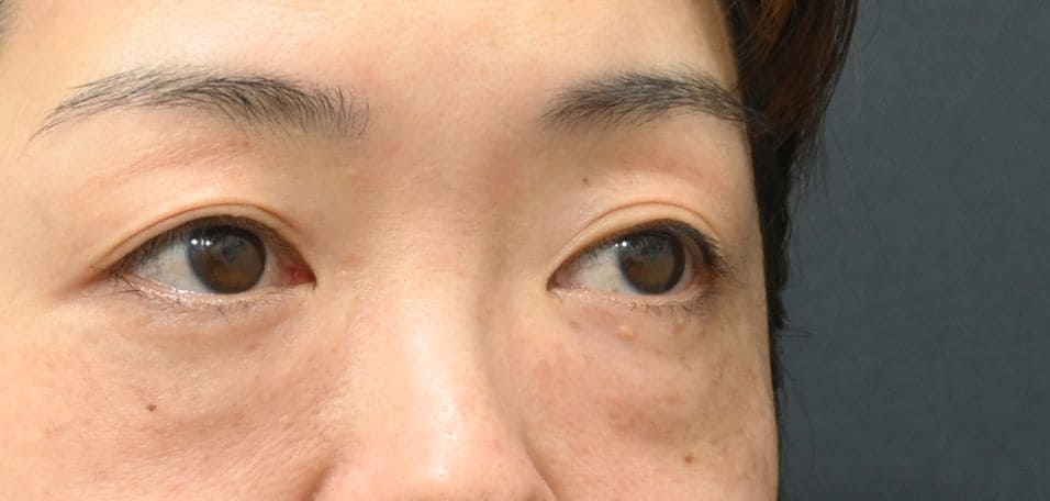
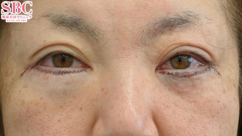
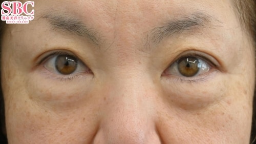
若返り / 裏ハムラ法 No.362632
【クマ取り】-1ヶ月でこの変化- 自然で違和感のない若返り治療ならDr.山下【裏ハムラ法SBC内執刀数 関東No.1(2025年下期)】
若返り / 目の下の切らないクマ・たるみ(ふくらみ)取り 他 No.362626
【若返りMuse】もえか先生の若返り術|お客様一人ひとりに合わせたパーソナルプランで自然な若返り?
若返り / ナチュラル脂肪注射コンデンスリッチ No.362624
★脂肪注入全国No.1(2025年)!※SBC内◆◆美容外科専門医 名倉が叶える 美顔術!! へこみを無くして美しい輪郭へ!! ◆脂肪注入(顎)3ヶ月後のお写真
若返り / 眉下リフト(眉下切開) No.362620
◆◆目元切開厳選医師の名倉が叶える -5歳!! 眉下リフト◆◆瞼のたるみでお悩みの方必見!!3ヶ月後のお写真
若返り / 目の下の切らないクマ・たるみ(ふくらみ)取り No.362619
◆◆美容外科専門医 名倉が叶える -5歳!! 目の下のたるみ取り+脂肪注入(目の下~ゴルゴ線)◆◆目の下のぷっくり、クマでお悩みの方必見!!◆3ヶ月後のお写真
若返り / プリマリフト No.362618
◆◆美容外科専門医 名倉が叶える小顔術!!糸リフト6年連続全国1位 (2019年~2024年)!※SBC内◆◆プリマリフト+脂肪吸引(頬+顎下)◆ 3ヶ月後のお写真
若返り / 裏ハムラ法 他 No.362614
【若返り】【30代症例】☆症例数第1位!(アイバックリムーブ/2025年上半期/東日本)☆ 【裏ハムラ】切る・切らない二つの視点からお客様にとって最適な治療を提案します!目の下のたるみ・クマをなくして-5歳に印象チェンジ!【施術後3か月経過】
若返り / 裏ハムラ法 他 No.362608
【裏ハムラ法】★Instagramで人気★ 一般外科出身・エリア統括ドクター兼池袋西口院院長・女医・Dr.多田医師による若返り施術!【ナノリッチ(目の下)】
若返り / 切開ハムラ(表ハムラ)法 No.362607
【クマ取り】【40代】【クマとたるみを根本改善】切開ハムラ法【切開ハムラ症例数No.2 SBC内関東2025年下半期】
若返り / 目の下の切らないクマ・たるみ(ふくらみ)取り No.362601
【切らないクマ取り・20代女性】目元の若返りで疲れ顔から卒業!東海地方で若返るなら口コミ・SNSで指名多数のあき先生にお任せください!【術後3ヶ月】
若返り / 目の下の切らないクマ・たるみ(ふくらみ)取り No.362600
【切らないクマ取り・40代男性】目元の若返りで疲れ顔から卒業!東海地方で若返るなら口コミ・SNSで指名多数のあき先生にお任せください!【術後1ヶ月】
若返り / 目の下の切らないクマ・たるみ(ふくらみ)取り 他 No.362598
【クマとり×脂肪注入】切らないクマ治療
若返り / 裏ハムラ法 No.362595
【裏ハムラ・20代女性】目元の若返りで疲れ顔から卒業!東海地方で若返るなら口コミ・SNSで指名多数のあき先生にお任せください!【術後3ヶ月】

































































