若返りの症例写真(若返り) 新着
ドクターが選ぶ BEST SHOT AWARD
症例写真一覧
表示件数:52949件 / 348475件
若返り / ナチュラルクイック・MACSリフト No.359185
50代女性 ナチュラルクイックリフト
若返り / ナチュラルクイック・MACSリフト No.359182
50代女性 ナチュラルクイックリフト
若返り / ナチュラルクイック・MACSリフト No.359181
50代女性 ナチュラルクイックリフト
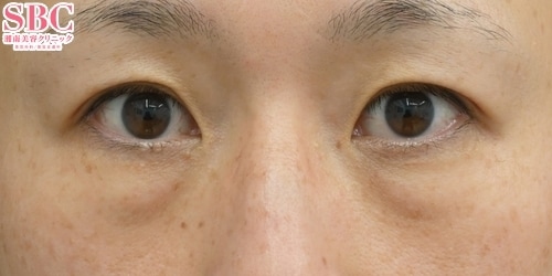
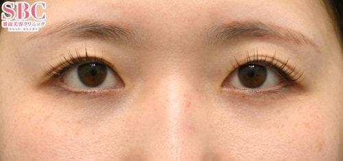
若返り / 目の下の切らないクマ・たるみ(ふくらみ)取り No.359179
目元ひとつで、印象はここまで変わる
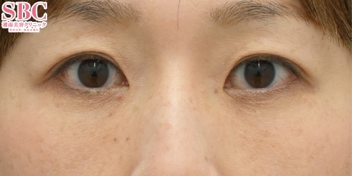
若返り / 目の下の切らないクマ・たるみ(ふくらみ)取り No.359178
短時間で叶える、すっきり目元
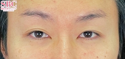
若返り / 目の下の切らないクマ・たるみ(ふくらみ)取り No.359177
目元が変わると、印象が変わる
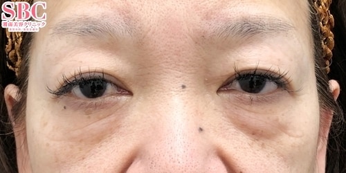
若返り / 目の下の切らないクマ・たるみ(ふくらみ)取り 他 No.359175
【若返り】【30代症例】☆症例数第1位!(アイバックリムーブ/2025年上半期/東日本)☆ 【目の下の切らないたるみ取り+コンデンスリッチフェイス】切る・切らない二つの視点からお客様にとって最適な治療を提案します!目の下のたるみ・クマをなくして-5歳に印象チェンジ!【施術後3…
若返り / 目の下の切らないクマ・たるみ(ふくらみ)取り No.359174
くま取りで、疲れ顔から若々しい印象へ
若返り / 目の下の切らないクマ・たるみ(ふくらみ)取り No.359169
【切らないクマ取り】目の下が変わると、人生が変わる。老け顔・疲れ顔の原因、30分でさよなら!
若返り / 裏ハムラ法 No.359168
大阪のクマ取り職人!【クマ取り症例数6年連続関西No.1!(SBC内2019~2024年)】目の下のたるみ・クマを切らずに改善!20代女性 裏ハムラ法 大阪なんば院吉田公人
若返り / 目の下の切らないクマ・たるみ(ふくらみ)取り 他 No.359164
【クマ取り+脂肪注入】目元の若返りなら田中医師にお任せください!
若返り / 目の下の切らないクマ・たるみ(ふくらみ)取り 他 No.359158
【クマ取り】Dr.五十嵐のクマ取りで涙袋が誕生!
若返り / ナチュラル脂肪注射コンデンスリッチ No.359156
◆◆美容外科専門医 名倉が叶える 美顔術!! へこみを無くして美しい輪郭へ!! ◆脂肪注入(額)1ヶ月後のお写真
若返り / 眉下リフト(眉下切開) No.359152
◆◆目元切開厳選医師の名倉が叶える -5歳!! 眉下リフト◆◆瞼のたるみでお悩みの方必見!!3ヶ月後のお写真
若返り / ナチュラル脂肪注射コンデンスリッチ 他 No.359151
◆◆美容外科専門医 名倉が叶える -5歳!! 目の下のたるみ取り+脂肪注入(目の下~ゴルゴ線)◆◆目の下のぷっくり、クマでお悩みの方必見!!◆1ヶ月後のお写真
若返り / プリマリフト No.359150
◆◆美容外科専門医 名倉が叶える小顔術!!糸リフト6年連続全国1位 (2019年~2024年)!※SBC内◆◆プリマリフト+脂肪吸引(頬+顎下)◆6ヶ月後のお写真
若返り / ナチュラルクイック・MACSリフト No.359148
50代女性 ナチュラルクイックリフト
若返り / 目の下の切らないクマ・たるみ(ふくらみ)取り 他 No.359142
【若返り】【30代症例】☆症例数第1位!(アイバックリムーブ/2025年上半期/東日本)☆ 【目の下の切らないたるみ取り+コンデンスリッチフェイス】切る・切らない二つの視点からお客様にとって最適な治療を提案します!目の下のたるみ・クマをなくして-5歳に印象チェンジ!【施術後3…
若返り / ベビーコラーゲン(ヒューマラジェン) No.359130
女性・ベビーコラーゲン(ヒューマラジェン)【術後1ヶ月】
若返り / 目の下の切らないクマ・たるみ(ふくらみ)取り 他 No.359120
【若返り】【20代症例】☆症例数第1位!(アイバックリムーブ/2025年上半期/東日本)☆【裏ハムラ+ナノリッチ】切る・切らない二つの視点からお客様にとって最適な治療を提案します!目の下のたるみ・クマをなくして-5歳に印象チェンジ!【施術後1か月経過】
































































