若返りの症例写真(若返り) 新着
ドクターが選ぶ BEST SHOT AWARD
症例写真一覧
表示件数:52950件 / 348489件
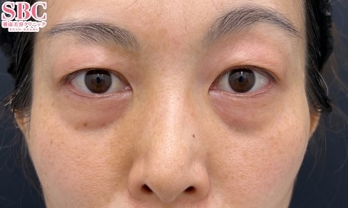
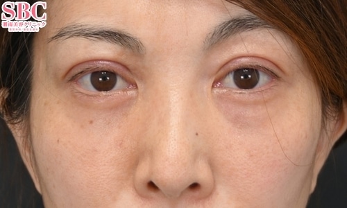
若返り / 目の下の切らないクマ・たるみ(ふくらみ)取り No.358781
メンズもクマ取りで圧倒的若返り!
若返り / 裏ハムラ法 No.358780
【クマ取り】【ハムラ法】膨らんだ「眼窩脂肪」を凹みに移動してクマ解消!老け見え解消なら奥医師にお任せ!【施術1ヶ月後】【裏ハムラ法】
若返り / 目の下の切らないクマ・たるみ(ふくらみ)取り 他 No.358777
★外科医歴20年以上★【クマ取り】安心の技術力で目元の若返り!【脂肪注入なし】【術後1ヶ月】
若返り / 裏ハムラ法 No.358775
【40代:クマ取り】★12月25日まで定価から2万円引き★中部2位の裏ハムラ〈2025年上半期SBC内症例数〉SBC社員から指名殺到中の東医師のミニマムダウンタイムクマ取り!目の下のたるみは、たるみ特化型Dr「たるみソムリエ東」にお任せ!
若返り / ナチュラル脂肪注射コンデンスリッチ No.358774
◆◆美容外科専門医 名倉が叶える 美顔術!! へこみを無くして美しい輪郭へ!! ◆脂肪注入(額)1ヶ月後のお写真
若返り / 眉下リフト(眉下切開) No.358770
◆◆目元切開厳選医師の名倉が叶える -5歳!! 眉下リフト◆◆瞼のたるみでお悩みの方必見!!3ヶ月後のお写真
若返り / ナチュラル脂肪注射ナノリッチ 他 No.358769
◆◆美容外科専門医 名倉が叶える -5歳!! 目の下のたるみ取り+脂肪注入(目の下~ゴルゴ線)◆◆目の下のぷっくり、クマでお悩みの方必見!!◆1ヶ月後のお写真
若返り / プリマリフト No.358768
◆◆美容外科専門医 名倉が叶える小顔術!!糸リフト6年連続全国1位 (2019年~2024年)!※SBC内◆◆プリマリフト+脂肪吸引(頬+顎下)◆6ヶ月後のお写真
若返り / ナチュラル脂肪注射コンデンスリッチ 他 No.358759
目の下のクマを無くす!「疲れ目」から解放されませんか?新潟院なら選べる脱脂・脂肪注入・裏ハムラ!
若返り / ナチュラル脂肪注射コンデンスリッチ 他 No.358760
目の下のクマを無くす!「疲れ目」から解放されませんか?新潟院なら選べる脱脂・脂肪注入・裏ハムラ!
若返り / ナチュラル脂肪注射コンデンスリッチ 他 No.358758
目の下のクマを無くす!「疲れ目」から解放されませんか?新潟院なら選べる脱脂・脂肪注入・裏ハムラ!
若返り / アイバックリムーブ法 他 No.358755
【アイバックリムーブ法症例数全国1位(2025年上半期SBC内)】切るクマ取り+脂肪注入の若返り術!
若返り / アイバックリムーブ法 他 No.358754
【アイバックリムーブ法症例数全国1位(2025年上半期SBC内)】切るクマ取り+脂肪注入の若返り術!
若返り / ベビーコラーゲン(ヒューマラジェン) No.358749
【40代女性】目の下のクマ改善でベビーコラーゲンを目の下に注射した症例写真です。
若返り / ベビーコラーゲン(ヒューマラジェン) No.358746
【30代女性】目の下のクマにベビーコラーゲンを注入した直後の症例写真です。
若返り / 目の下の切らないクマ・たるみ(ふくらみ)取り 他 No.358740
【若返りmuse】二子玉川院院長の青柳萌花による目の下の切らないクマたるみ取り★若々しい目元に!
若返り / 目の下の切らないクマ・たるみ(ふくらみ)取り 他 No.358724
【30代】【Instagramから指名多数】マサ先生のクマ取り+脂肪注入で目元若返り!
若返り / 目の下の切らないクマ・たるみ(ふくらみ)取り 他 No.358723
【40代女性】【Instagramから指名多数】マサ先生のクマ取り+脂肪注入で目元若返り!
若返り / 裏ハムラ法 No.358721
【裏ハムラ】目の下のクマ取り治療で若返り★目の下のくまが気になる方は、満安医師にお任せ★
若返り / 裏ハムラ法 No.358720
【裏ハムラ】【前切開】クマ取り治療と前切開で若返り★目元のお悩みは満安医師にお任せ★


































































