若返りの症例写真(若返り) 新着
ドクターが選ぶ BEST SHOT AWARD
症例写真一覧
表示件数:52950件 / 348489件
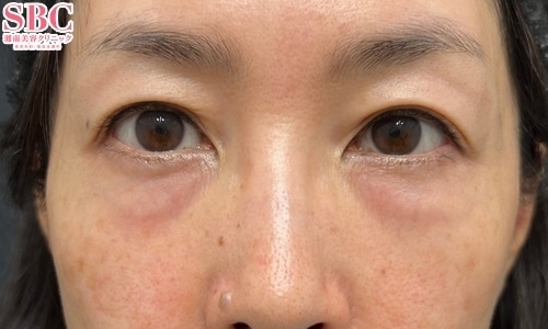
若返り / 裏ハムラ法 他 No.358719
【裏ハムラ】クマ取り治療と脂肪注入で若返り★目元から若返りたい方は満安医師にお任せ★
若返り / 裏ハムラ法 No.358717
【裏ハムラ】目の下のクマ取り治療目元から若返り★若返りたい方は、満安医師にお任せ★
若返り / 目の下の切らないクマ・たるみ(ふくらみ)取り 他 No.358716
【目の下の切らないたるみ取り】目の下のクマ取り治療で若返り★くまの相談は満安医師にお任せ★
若返り / 裏ハムラ法 No.358714
【裏ハムラ】【クイックコスメティークダブル】目の下のクマ取り治療で若返り★目元が気になる方は、満安医師にお任せ★
若返り / ナチュラル脂肪注射コンデンスリッチ No.358707
◆◆美容外科専門医 名倉が叶える 美顔術!! へこみを無くして美しい輪郭へ!! ◆脂肪注入(頬)3ヶ月後のお写真
若返り / 眉下リフト(眉下切開) No.358703
◆◆目元切開厳選医師の名倉が叶える -5歳!! 眉下リフト◆◆瞼のたるみでお悩みの方必見!!1ヶ月後のお写真
若返り / ナチュラル脂肪注射コンデンスリッチ 他 No.358702
◆◆美容外科専門医 名倉が叶える -5歳!! 目の下のたるみ取り+脂肪注入(目の下~ゴルゴ線)◆◆目の下のぷっくり、クマでお悩みの方必見!!◆1ヶ月後のお写真
若返り / プリマリフト No.358701
◆◆美容外科専門医 名倉が叶える小顔術!!糸リフト6年連続全国1位 (2019年~2024年)!※SBC内◆◆プリマリフト+脂肪吸引(頬+顎下)◆6ヶ月後のお写真
若返り / 切開ハムラ(表ハムラ)法 No.358696
【クマ取り】「眼窩脂肪」を移動して膨らみと溝を同時にフラットにすることで目元の若返りを実現!老け見え解消なら奥医師にお任せ!【施術3ヶ月後】【切開ハムラ法】
若返り / シークレットリフト 他 No.358683
【マリオネットライン治療】下顔面のトータルアンチエイジングでしっかりとした若返りを実現!切らない治療でもここまで変わります!
若返り / 目の下の切らないクマ・たるみ(ふくらみ)取り 他 No.358681
【目の下の切らないクマ・たるみ取り】【コンデンスリッチフェイス(頬、額、こめかみ、法令線)】【ナノリッチ(目の下~ゴルゴ)】目元の若返り術
若返り / シークレットリフト No.358677
【糸リフトならおくとDr】顎下激変。糸リフトでたるみ改善。
若返り / VOV(ボブ)リフト No.358676
【糸リフトならおくとDr】たるみシワ撃退。定番若見せ糸リフト!
若返り / シークレットリフト 他 No.358674
【若返りMuse】もえか先生の若返り術|お客様一人ひとりに合わせたパーソナルプランで自然な若返り?
若返り / 目の下の切らないクマ・たるみ(ふくらみ)取り 他 No.358663
【若返り】【20代症例】☆症例数第1位!(アイバックリムーブ/2025年上半期/東日本)☆ 【目の下の切らないたるみ取り+ナノリッチ+コンデンスリッチフェイス】切る・切らない二つの視点からお客様にとって最適な治療を提案します!目の下のたるみ・クマをなくして-5歳に印象チェンジ…
若返り / コンデンスリッチフェイス法(額・こめかみ脂肪注入) No.358651
【ナチュラル脂肪注入コンデンスリッチ】額・こめかみに脂肪注入で若々しく可愛らしい丸みを!脂肪のことなら庄院長にお任せ!
若返り / 裏ハムラ法 他 No.358649
【若返りmuse】二子玉川院院長の青柳萌花による目の下の切らないクマたるみ取り★若々しい目元に!
若返り / コンデンスリッチフェイス脂肪注入全顔入れ放題 他 No.358646
【若返り】顔のコケとクマがなくなるだけで顔が明るい印象に!
若返り / ナチュラル脂肪注射コンデンスリッチ No.358637
◆◆美容外科専門医 名倉が叶える 美顔術!! へこみを無くして美しい輪郭へ!! ◆脂肪注入(顎)1ヶ月後のお写真
若返り / 眉下リフト(眉下切開) No.358633
◆◆目元切開厳選医師の名倉が叶える -5歳!! 眉下リフト◆◆瞼のたるみでお悩みの方必見!!6ヶ月後のお写真

































































