美容整形の症例写真(美容整形) 新着
症例写真一覧
表示件数:320182件 / 350183件
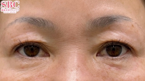
若返り / 裏ハムラ法 他 No.361634
≪全てのクマ治療に対応≫【蒲田院 院長】上岡利一医師の裏ハムラ×涙袋形成症例
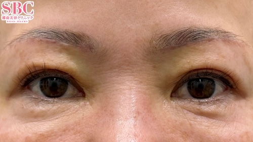
若返り / 裏ハムラ法 No.361633
≪全てのクマ治療に対応≫【蒲田院 院長】上岡利一医師の裏ハムラ 男性症例
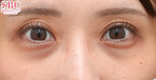
若返り / 裏ハムラ法 No.361632
≪全てのクマ治療に対応≫【蒲田院 院長】上岡利一医師の裏ハムラ症例
豊胸・バストの修正 / 週末豊胸 -ピュアグラフト-(脂肪注入豊胸) No.361631
【週末豊胸 -ピュアグラフト-】漏斗胸を脂肪豊胸で改善!バストのお悩みは大谷医師にぜひご相談ください!
豊胸・バストの修正 / 週末豊胸 -ピュアグラフト-(脂肪注入豊胸) No.361630
【週末豊胸 -ピュアグラフト-】漏斗胸を脂肪豊胸で改善!バストのお悩みは大谷医師にぜひご相談ください!
美容皮膚科 / ヒアルロン酸ジュビダームビスタ バイクロスシリーズ No.361629
20代女性【唇のヒアルロン酸】
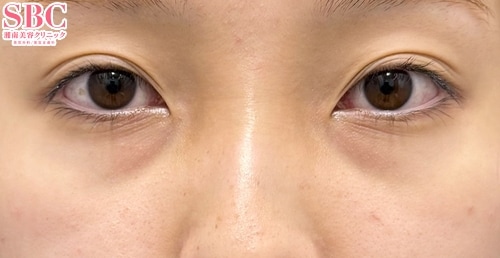
若返り / 裏ハムラ法 No.361628
≪全てのクマ治療に対応≫【蒲田院 院長】上岡利一医師の裏ハムラ症例
若返り / 眉下リフト(眉下切開) No.361627
【形成外科専門医おしぶ先生が執刀】瞼の厚み・たるみを解消する眉下リフト(切開)術
若返り / 目の下の切らないクマ・たるみ(ふくらみ)取り 他 No.361626
≪全てのクマ治療に対応≫【蒲田院 院長】上岡利一医師の脱脂×脂肪注入 男性症例
若返り / 目の下の切らないクマ・たるみ(ふくらみ)取り 他 No.361625
≪全てのクマ治療に対応≫【蒲田院 院長】上岡利一医師の脱脂×脂肪注入症例
若返り / 目の下の切らないクマ・たるみ(ふくらみ)取り 他 No.361624
≪全てのクマ治療に対応≫【蒲田院 院長】上岡利一医師の脱脂×脂肪注入×涙袋形成症例
若返り / 目の下の切らないクマ・たるみ(ふくらみ)取り 他 No.361623
≪全てのクマ治療に対応≫【蒲田院 院長】上岡利一医師の脱脂×脂肪注入症例
若返り / 目の下の切らないクマ・たるみ(ふくらみ)取り No.361622
≪全てのクマ治療に対応≫【蒲田院 院長】上岡利一医師の脱脂単体症例
若返り / 裏ハムラ法 No.361621
【形成外科専門医おしぶ先生が執刀】裏ハムラ法による目の下の切らないクマ・たるみ治療
若返り / 目の下の切らないクマ・たるみ(ふくらみ)取り No.361620
≪全てのクマ治療に対応≫【蒲田院 院長】上岡利一医師の脱脂単体症例
豊胸・バストの修正 / 週末豊胸 -ピュアグラフト-(脂肪注入豊胸) No.361619
【41歳】【BMI18】外科専門医による張りと自信を取り戻すママ豊胸
豊胸・バストの修正 / 週末豊胸 -ピュアグラフト-(脂肪注入豊胸) No.361618
【週末豊胸 -ピュアグラフト-】漏斗胸を脂肪豊胸で改善!バストのお悩みは大谷医師にぜひご相談ください!
豊胸・バストの修正 / 週末豊胸 -ピュアグラフト-(脂肪注入豊胸) No.361616
【週末豊胸 -ピュアグラフト-】漏斗胸でお悩みの方、脂肪豊胸で改善しませんか?脂肪豊胸は豊富な症例件数を誇る大谷医師へご相談ください!
豊胸・バストの修正 / 週末豊胸 -ピュアグラフト-(脂肪注入豊胸) No.361614
【週末豊胸 -ピュアグラフト-】漏斗胸でお悩みの方、脂肪豊胸で改善しませんか?脂肪豊胸は豊富な症例件数を誇る大谷医師へご相談ください!
豊胸・バストの修正 / 週末豊胸 -ピュアグラフト-(脂肪注入豊胸) No.361615
【週末豊胸 -ピュアグラフト-】漏斗胸でお悩みの方、脂肪豊胸で改善しませんか?脂肪豊胸は豊富な症例件数を誇る大谷医師へご相談ください!














































