美容整形の症例写真(美容整形) 新着
症例写真一覧
表示件数:320204件 / 350201件
脂肪吸引 / Aquicell(アキーセル)脂肪吸引 他 No.361346
★最優秀症例8度受賞!150000件以上の圧倒的執刀数 美容外科医歴25年以上の超ベテラン・プレミアムDr.須田陽一が叶える、くびれ!★新宿本院主任医長・脂肪吸引エグゼクティブDr. VASER脂肪吸引認定医☆吸引量・デザインへのこだわり★腹部+ウエスト+腰★6ヶ月後
美容歯科 / ダイヤモンドオーダーセラミック 他 No.361345
整形シンデレラファイナリスト担当Drが貴方に贈る 「あなたの笑顔を最高の笑顔に。」〜The Perfect Smile〜 ジルコニアダイヤモンドセラミック
若返り / ナチュラル脂肪注射コンデンスリッチ 他 No.361344
目の下のクマを無くす!「疲れ目」から解放されませんか?新潟院なら選べる脱脂・脂肪注入・裏ハムラ!
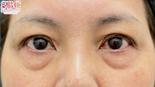
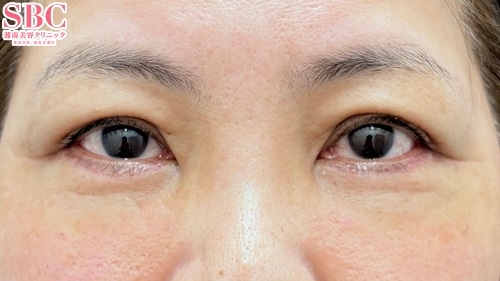
若返り / 切開ハムラ(表ハムラ)法 No.361343
【形成外科専門医おしぶ先生が執刀】表ハムラ法による目の下の若返り術?
若返り / ナチュラル脂肪注射コンデンスリッチ 他 No.361341
目の下のクマを無くす!「疲れ目」から解放されませんか?新潟院なら選べる脱脂・脂肪注入・裏ハムラ!
若返り / ナチュラル脂肪注射コンデンスリッチ 他 No.361342
目の下のクマを無くす!「疲れ目」から解放されませんか?新潟院なら選べる脱脂・脂肪注入・裏ハムラ!
若返り / 裏ハムラ法 No.361340
【若返り】【20代症例】☆症例数第1位!(アイバックリムーブ/2025年上半期/東日本)☆ 【裏ハムラ】切る・切らない二つの視点からお客様にとって最適な治療を提案します!目の下のたるみ・クマをなくして-5歳に印象チェンジ!【施術後1か月経過】
若返り / ナチュラル脂肪注射コンデンスリッチ 他 No.361337
目の下のクマを無くす!「疲れ目」から解放されませんか?新潟院なら選べる脱脂・脂肪注入・裏ハムラ!
若返り / ナチュラル脂肪注射コンデンスリッチ 他 No.361338
目の下のクマを無くす!「疲れ目」から解放されませんか?新潟院なら選べる脱脂・脂肪注入・裏ハムラ!
若返り / ナチュラル脂肪注射コンデンスリッチ 他 No.361339
目の下のクマを無くす!「疲れ目」から解放されませんか?新潟院なら選べる脱脂・脂肪注入・裏ハムラ!
AGA薄毛治療 / 自毛植毛 他 No.361336
ヒゲ・モミアゲの同時植毛(その1)
AGA薄毛治療 / 自毛植毛 他 No.361335
ヒゲ・モミアゲの同時植毛(その2)
AGA薄毛治療 / 自毛植毛 他 No.361334
ヒゲ・モミアゲの同時植毛(その3)
二重・二重整形 / クイックコスメティーク・ダブルNeo No.361333
【調布院】まぶたのたるみで重たい目元でもぱっちり二重に
AGA薄毛治療 / 自毛植毛 他 No.361332
ヒゲ・モミアゲの同時植毛(その4)
AGA薄毛治療 / 自毛植毛 他 No.361331
ヒゲ・モミアゲの同時植毛(その5)
フェイスライン / 切らない小顔Vライン形成術 他 No.361328
脂肪吸引と糸リフトで美しい輪郭形成!小顔形成はDr.出口にお任せ下さい!アキーセル脂肪吸引でダウンタイムも最初限!
フェイスライン / 切らない小顔Vライン形成術 他 No.361329
脂肪吸引と糸リフトで美しい輪郭形成!小顔形成はDr.出口にお任せ下さい!アキーセル脂肪吸引でダウンタイムも最初限!
フェイスライン / 切らない小顔Vライン形成術 他 No.361330
脂肪吸引と糸リフトで美しい輪郭形成!小顔形成はDr.出口にお任せ下さい!アキーセル脂肪吸引でダウンタイムも最初限!
フェイスライン / 切らない小顔Vライン形成術 他 No.361327
脂肪吸引と糸リフトで美しい輪郭形成!小顔形成はDr.出口にお任せ下さい!アキーセル脂肪吸引でダウンタイムも最初限!
















































