若返りの症例写真(若返り) 新着
ドクターが選ぶ BEST SHOT AWARD
症例写真一覧
表示件数:53813件 / 351943件
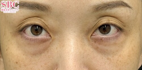
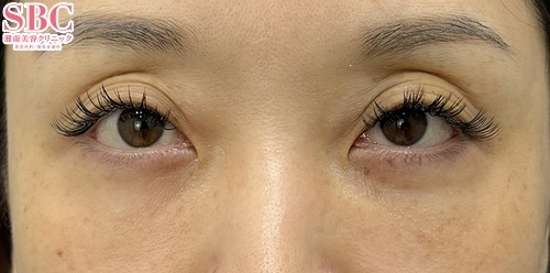
若返り / 裏ハムラ法 No.364188
【若返り治療】「やりすぎない」が美しさの鍵。元整形外科医・藤田翔平が届ける自然な目元【松戸院院長】
若返り / シークレットリフト 他 No.364185
糸リフトとヒアルロン酸で若返り
若返り / 目の下の切らないクマ・たるみ(ふくらみ)取り 他 No.364182
目の下の膨らみクマでお悩みの方必見!!目元のオペは圧倒的執刀数のドクター木下憶斗★Teen二重術 執刀数西日本2位(2025年上期SBC内!)★
若返り / 裏ハムラ法 No.364181
【若返り】【40代症例】☆症例数第1位!(アイバックリムーブ/2025年上半期/東日本)☆【裏ハムラ】切る・切らない二つの視点からお客様にとって最適な治療を提案します!目の下のたるみ・クマをなくして-5歳に印象チェンジ!【施術後3か月経過】
若返り / 裏ハムラ法 No.364177
【裏ハムラ】目の下の脂肪を移動させてクマを改善!八王子院の櫻井医師へお任せください!
若返り / シークレットリフト 他 No.364170
糸リフトは糸リフトおすすめドクター選出の美容外科医歴17年の古澤にお任せください!
若返り / 裏ハムラ法 他 No.364168
【目の下のクマ治療】【裏ハムラ+ナノリッチ】目の下の脂肪を移動させてクマ改善!!レジェンドDr.が認める次世代エース★谷口院長!!
若返り / 裏ハムラ法 他 No.364167
【目の下のクマ治療】【裏ハムラ+ナノリッチ】目の下の脂肪を移動させてクマ改善!!レジェンドDr.が認める次世代エース★谷口院長!!
若返り / 裏ハムラ法 他 No.364166
【目の下のクマ治療】【裏ハムラ+ナノリッチ】目の下の脂肪を移動させてクマ改善!!レジェンドDr.が認める次世代エース★谷口院長!!
若返り / 裏ハムラ法 No.364165
『クマ取り(裏ハムラ法)』若返りプロフェッショナル・Dr中野 灘高卒、元麻酔科医Drによる匠の若返り術
若返り / 裏ハムラ法 No.364161
Dr.五十嵐の裏ハムラで若々しい目元に!
若返り / 裏ハムラ法 他 No.364159
Dr.五十嵐の裏ハムラで好印象の目元に!
若返り / 目の下の切らないクマ・たるみ(ふくらみ)取り 他 No.364150
大阪のクマ取り職人!【クマ取り症例数7年連続関西No.1!(SBC内2019~2025年)】目の下のたるみ・クマを切らずに改善!40代女性 クマ取りx脂肪注入 大阪なんば院吉田公人
若返り / 切開ハムラ(表ハムラ)法 No.364149
余分な皮膚も切除し、目の下のクマ・たるみ(ふくらみ)を改善!
若返り / 裏ハムラ法 他 No.364142
【クマ取り】≪全てのクマ治療に対応≫上岡利一先生のクマ取り症例
若返り / 裏ハムラ法 No.364141
【クマ取り】【ハムラ法】膨らんだ「眼窩脂肪」を凹みに移動してクマ解消!老け見え解消なら奥医師にお任せ!【施術3ヶ月後】【裏ハムラ法】
若返り / 裏ハムラ法 他 No.364140
【眉下リフト+クマ取り】20代女性。裏ハムラ法と眉下リフトで目元の印象を明るく★瞼の厚み・目の下のクマが気になる方は、サラ先生にお任せ★
若返り / 切開ハムラ(表ハムラ)法 No.364139
【クマ取り】【30代】【クマとたるみを根本改善】切開ハムラ法【切開ハムラ症例数No.2 SBC内関東2025年上半期】
若返り / 眉下リフト(眉下切開) No.364138
【眉下リフト】20代女性。眉下リフトで目元の印象を明るく★瞼の厚みが気になる方は、サラ先生にお任せ★
若返り / 裏ハムラ法 No.364137
目の下のクマ治療は美容外科歴17年、クマ取りプレミアムドクターの古澤にお任せください!





































































