若返りの症例写真(若返り) 新着
ドクターが選ぶ BEST SHOT AWARD
症例写真一覧
表示件数:52944件 / 348459件
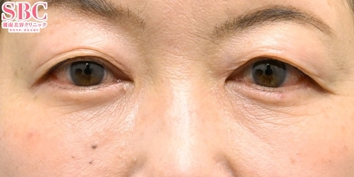
若返り / 裏ハムラ法 他 No.360303
【クマ取り】【ハムラ法】膨らんだ「眼窩脂肪」を凹みに移動してクマ解消!老け見え解消なら奥医師にお任せ!【施術3ヶ月後】【裏ハムラ法×ナチュラル脂肪注射ナノリッチ/コンデンスリッチ】
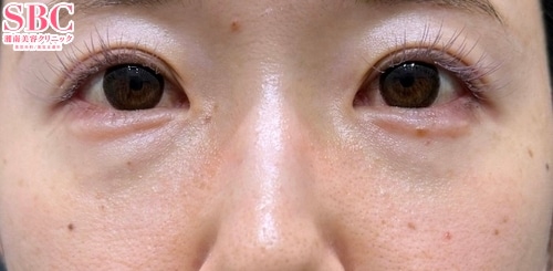
若返り / 目の下の切らないクマ・たるみ(ふくらみ)取り 他 No.360288
【春キャン??2026/3/31までMAX44%OF】二子玉川院院長の青柳萌花による目の下の切らないクマたるみ取り★若々しい目元に!
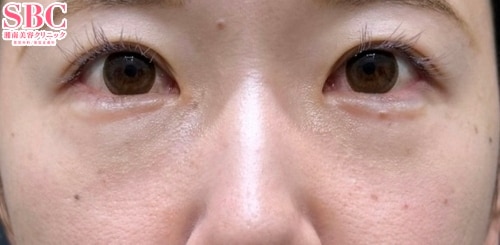
若返り / ヒアルロン酸ジュビダームビスタ ウルトラプラスXC 他 No.360270
【若返りMuse】もえか先生の若返り術|お客様一人ひとりに合わせたパーソナルプランで自然な若返り?
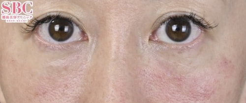
若返り / ナチュラル脂肪注射コンデンスリッチ No.360267
◆◆美容外科専門医 名倉が叶える 美顔術!! へこみを無くして美しい輪郭へ!! ◆脂肪注入(額)1ヶ月後のお写真
若返り / 眉下リフト(眉下切開) No.360264
◆◆目元切開厳選医師の名倉が叶える -5歳!! 眉下リフト◆◆瞼のたるみでお悩みの方必見!!3ヶ月後のお写真
若返り / ナチュラル脂肪注射コンデンスリッチ 他 No.360263
◆◆美容外科専門医 名倉が叶える -5歳!! 目の下のたるみ取り+脂肪注入(目の下~ゴルゴ線)◆◆目の下のぷっくり、クマでお悩みの方必見!!◆3ヶ月後のお写真
若返り / プリマリフト No.360262
◆◆美容外科専門医 名倉が叶える小顔術!!糸リフト6年連続全国1位 (2019年~2024年)!※SBC内◆◆プリマリフト+脂肪吸引(頬+顎下)◆ 2ヶ月後のお写真
若返り / テスリフト 他 No.360249
【糸リフトSBC公式おすすめDr/テスリフトSBC内症例数中部No1※】【50代/糸リフト】切らない小顔のプロフェッショナル小泉による劇的Before&after ※2025年上半期
若返り / 裏ハムラ法 No.360244
目の下の切らないクマ治療、裏ハムラ法で圧倒的若返り体験を!
若返り / 裏ハムラ法 No.360243
目の下の切らないクマ治療、裏ハムラ法で圧倒的若返り体験を!
若返り / ナチュラル脂肪注射コンデンスリッチ No.360233
◆◆美容外科専門医 名倉が叶える 美顔術!! へこみを無くして美しい輪郭へ!! ◆脂肪注入(頬)1ヶ月後のお写真
若返り / 眉下リフト(眉下切開) No.360230
◆◆目元切開厳選医師の名倉が叶える -5歳!! 眉下リフト◆◆瞼のたるみでお悩みの方必見!!1年後のお写真
若返り / ナチュラル脂肪注射コンデンスリッチ 他 No.360229
◆◆美容外科専門医 名倉が叶える -5歳!! 目の下のたるみ取り+脂肪注入(目の下~ゴルゴ線)◆◆目の下のぷっくり、クマでお悩みの方必見!!◆4ヶ月後のお写真
若返り / プリマリフト No.360228
◆◆美容外科専門医 名倉が叶える小顔術!!糸リフト6年連続全国1位 (2019年~2024年)!※SBC内◆◆プリマリフト+脂肪吸引(頬+顎下)◆ 3ヶ月後のお写真
若返り / VOV(ボブ)リフト 他 No.360217
【脂肪吸引注射+糸リフト】形成外科専門医おしぶ先生が切らずに行う小顔治療
若返り / ベビーコラーゲン(ヒューマラジェン) No.360210
【ベビーコラーゲン】注射で目の下クマを解消!皮膚科のクマ治療も全国おすすめクマ治療Dr.選抜のDr.ルークひのきにお任せ!
若返り / 切開ハムラ(表ハムラ)法 他 No.360201
【クマ取り】「眼窩脂肪」を移動して膨らみと溝を同時にフラットにすることで目元の若返りを実現!老け見え解消なら奥医師にお任せ!【施術3ヶ月後】【切開ハムラ法×ナノリッチ】
若返り / 裏ハムラ法 No.360191
【若返り】【30代症例】☆症例数第1位!(アイバックリムーブ/2025年上半期/東日本)☆ 【裏ハムラ】切る・切らない二つの視点からお客様にとって最適な治療を提案します!目の下のたるみ・クマをなくして-5歳に印象チェンジ!【施術後3か月経過】
若返り / ベビーコラーゲン(ヒューマラジェン) No.360184
オペなしクマ治療!次世代注入系クマ治療ベビーコラーゲンでお手軽クマ改善
若返り / 裏ハムラ法 他 No.360174
【裏ハムラ法】目元治療のスペシャリストによるオーダーメイドのクマ取りで、自然な若返り!アンチエイジングもDr.中溝におまかせ!

































































