美容整形の症例写真(加藤由紀子(歯科))
症例写真一覧
表示件数:1032件 / 349582件
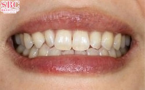
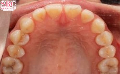
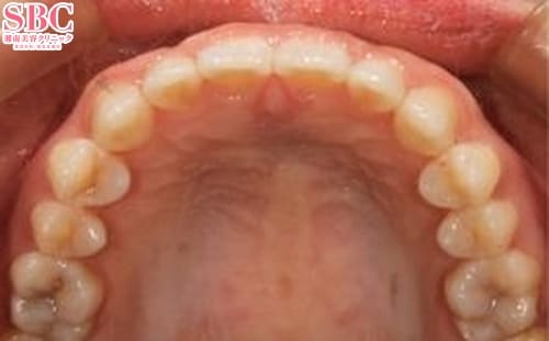
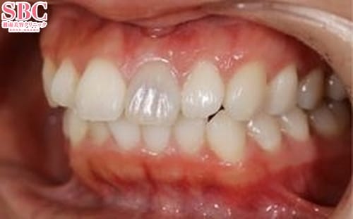
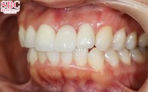
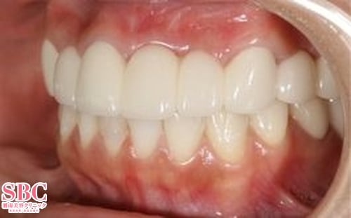
美容歯科 / ダイヤモンドオーダーセラミック No.361798
【ダイヤモンドオーダーセラミック】いつの間に!というほどナチュラルな施術!!
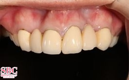
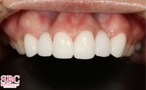
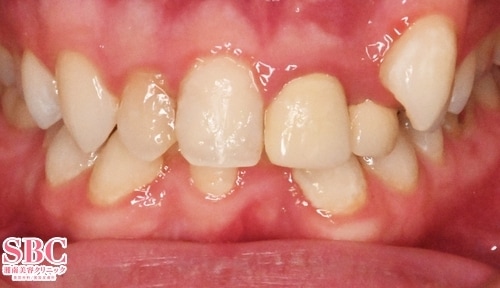
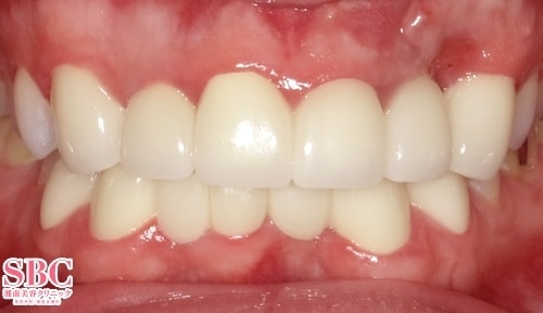
美容歯科 / プレミアムダイヤモンドセラミック No.361797
【プレミアムダイヤモンドセラミック】がたつき感や色味を綺麗に整えるセラミック治療
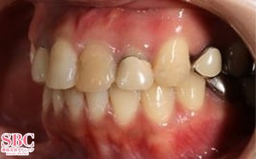
美容歯科 / プレミアムダイヤモンドセラミック No.361572
【プレミアムダイヤモンドセラミック】全体的に白く整えましょう
美容歯科 / マウスピース矯正 No.361570
【インビザライン モデレート】噛み合わせと歯列矯正
美容歯科 / マウスピース矯正 No.361569
【インビザライン モデレート】口角の上げ方から変えるマウスピース矯正
美容歯科 / マウスピース矯正 No.361142
【インビザライン モデレート】全体的な広がりをなくし綺麗な歯並びへ
美容歯科 / マウスピース矯正 No.361140
【インビザライン モデレート】全体的な隙間を埋めて綺麗な並びへ
美容歯科 / マウスピース矯正 No.361138
【インビザライン フル】色味も矯正で改善し、並びも綺麗にするマウスピース矯正
美容歯科 / プレミアムダイヤモンドセラミック No.361136
【プレミアムダイヤモンドセラミック】治療したことがわからないほど自然に治します
美容歯科 / ダイヤモンドオーダーセラミック No.361135
【ダイヤモンドオーダーセラミック】一気に印象を明るくしよう
美容歯科 / プレミアムダイヤモンドセラミック No.361134
【プレミアムダイヤモンドセラミック】色味、形全てにおいて整える矯正
美容歯科 / ダイヤモンドオーダーセラミック No.361051
【ダイヤモンドオーダーセラミック】前歯1本の改善!!
美容歯科 / マウスピース矯正 No.361049
【インビザライン GO(片顎)】普段は気にならないかも!!横から見た時の歯並び
美容歯科 / マウスピース矯正 No.361048
【インビザライン GO】隙間と突出感をなくす矯正
美容歯科 / マウスピース矯正 No.361046
【インビザライン モデレート】横から見た時の出っ張りを改善??
美容歯科 / マウスピース矯正 No.360998
【インビザライン モデレート】全体的ながたつき感を綺麗にします!
美容歯科 / プレミアムダイヤモンドセラミック No.360996
【プレミアムダイヤモンドセラミック】出っ張り感をきれいに、、、!!
美容歯科 / プレミアムダイヤモンドセラミック No.360995
【プレミアムダイヤモンドセラミック】正面からはもちろん。横からも綺麗に!!
美容歯科 / ダイヤモンドオーダーセラミック No.360994
【ダイヤモンドオーダーセラミック】前歯の印象を変えるだけでこんなにも綺麗に。
美容歯科 / プレミアムダイヤモンドセラミック No.360993
【プレミアムダイヤモンドセラミック】パッと見るだけで綺麗とわかる口元へ










































