症例写真(加藤由紀子(歯科))
症例写真一覧
表示件数:947件 / 346388件
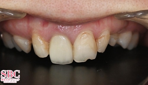
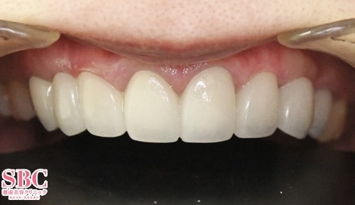
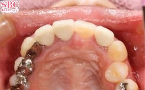
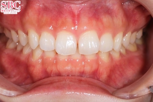
美容歯科 / ダイヤモンドオーダーセラミック No.349651
歯・形・色味を整える矯正
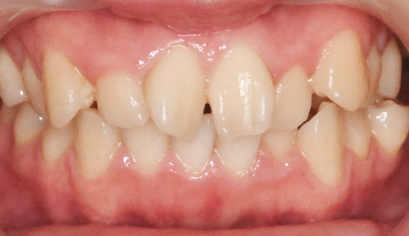
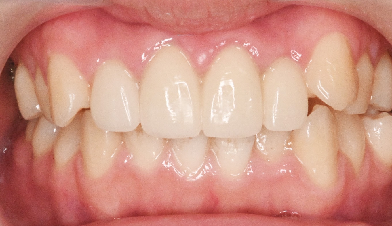
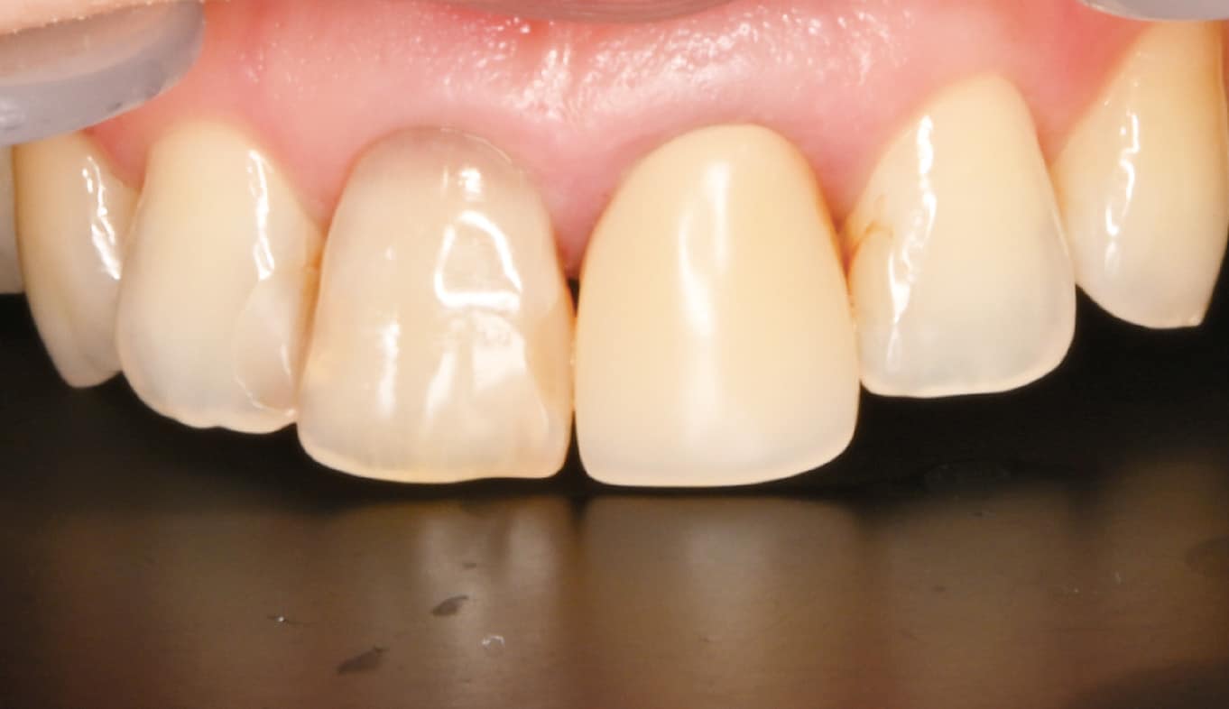
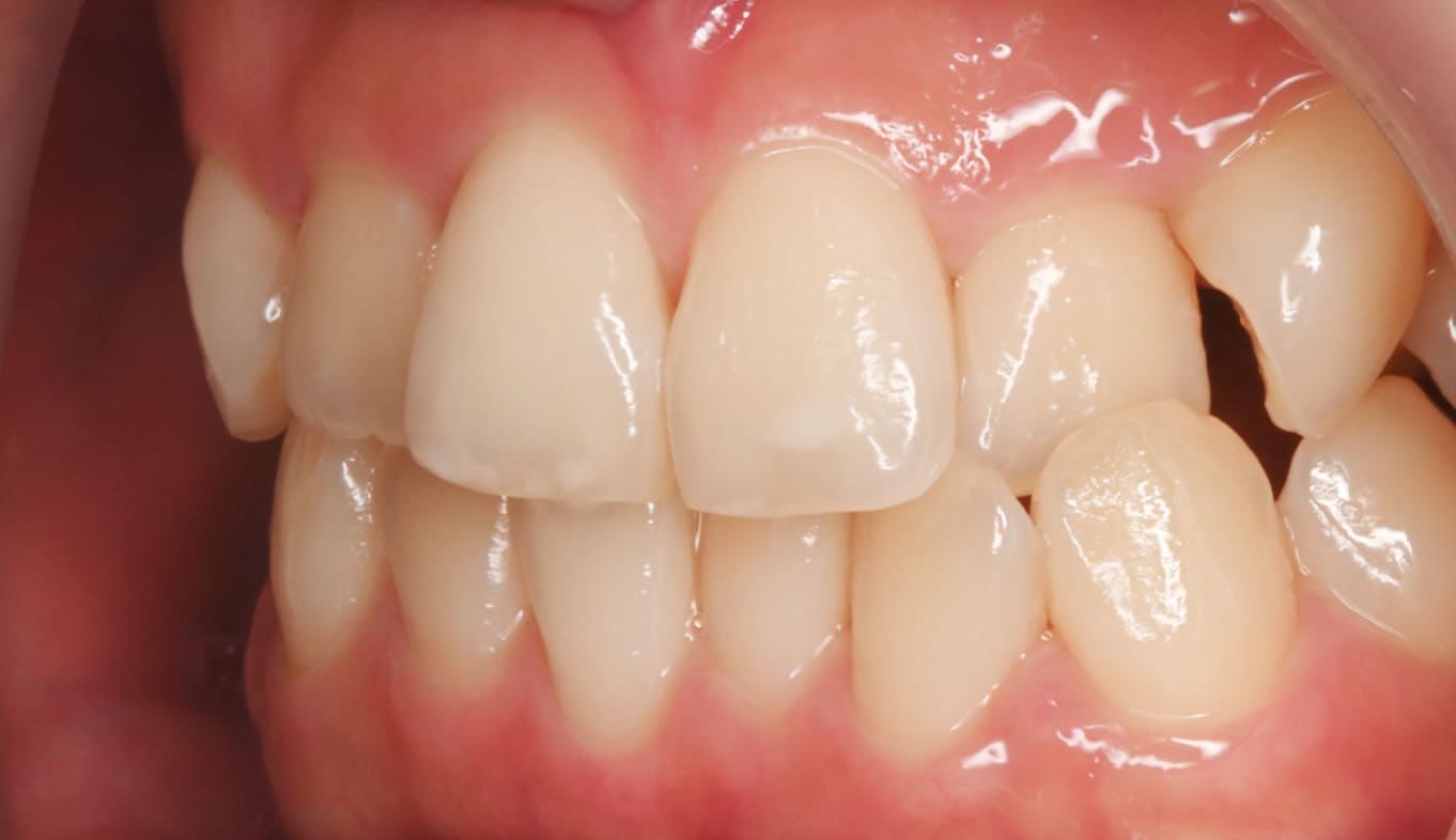
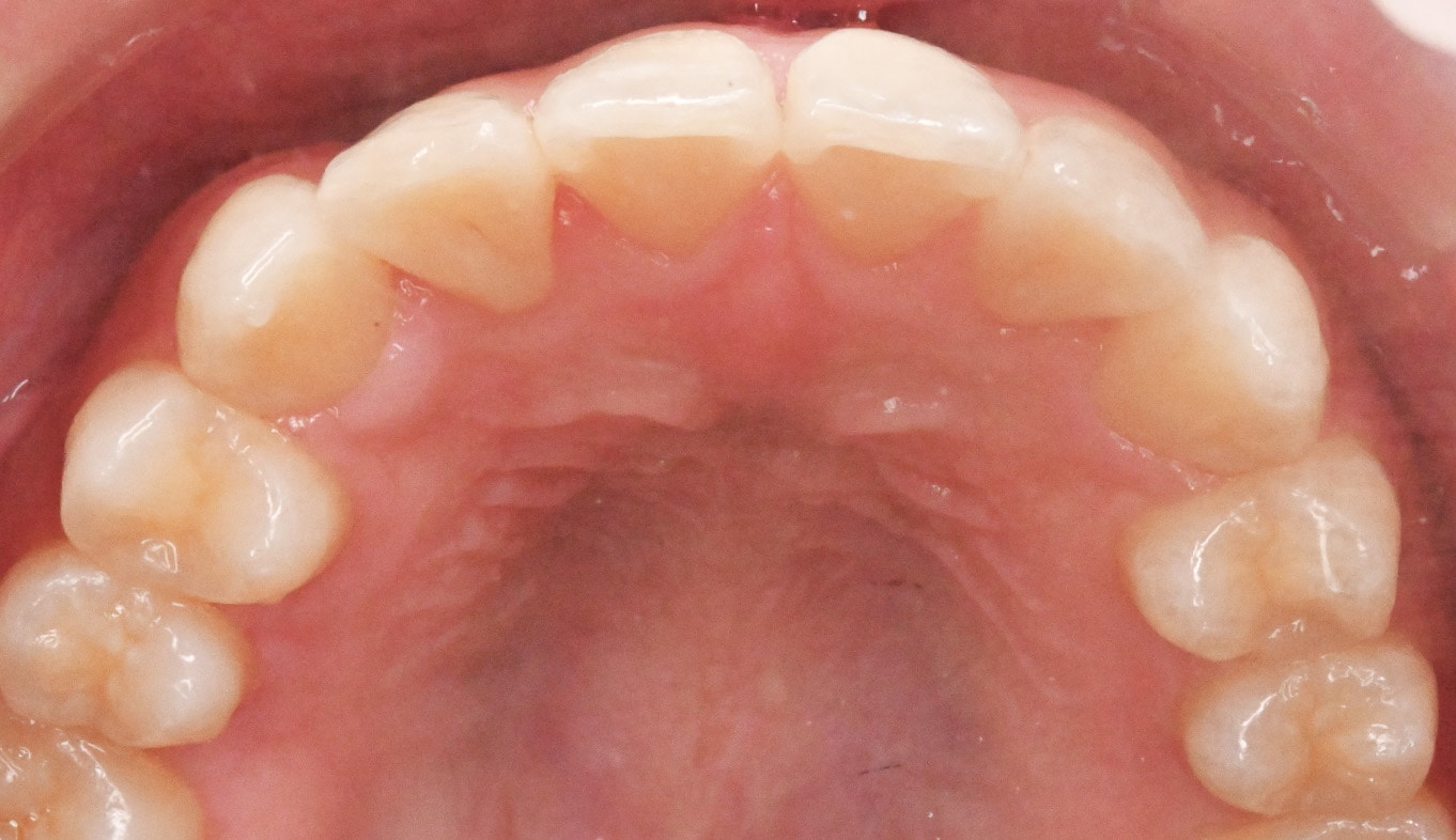
美容歯科 / ダイヤモンドオーダーセラミック No.350225
早くきれいに仕上げるセラミック矯正!!
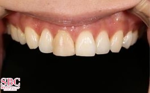
美容歯科 / マウスピース矯正 No.299099
【インビザラインフル】全体的なマウスピース矯正
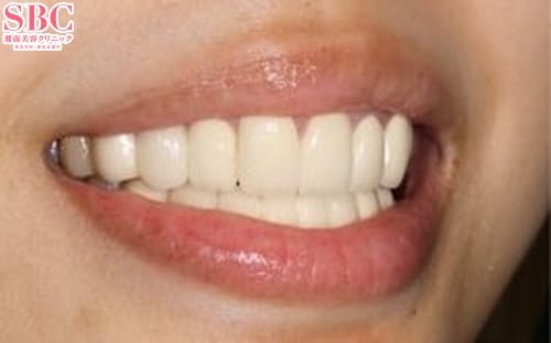
美容歯科 / マウスピース矯正 No.299095
【インビザラインフル】全体的はマウスピース矯正
美容歯科 / マウスピース矯正 No.299000
【インビザラインフル】全顎的なマウスピース矯正
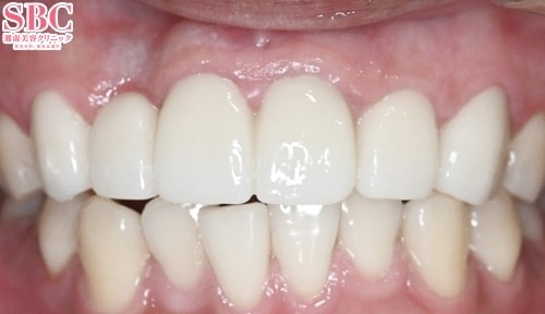
美容歯科 / プレミアムダイヤモンドセラミック No.266599
☆プレミアムダイアモンドセラミック☆上8本☆
美容歯科 / プレミアムダイヤモンドセラミック No.245696
☆ジルコニアセラミック☆上8本☆
美容歯科 / プレミアムダイヤモンドセラミック No.232969
☆ジルコニアセラミック☆上下25本☆
美容歯科 / プレミアムダイヤモンドセラミック No.232968
☆ジルコニアセラミック☆上下25本☆
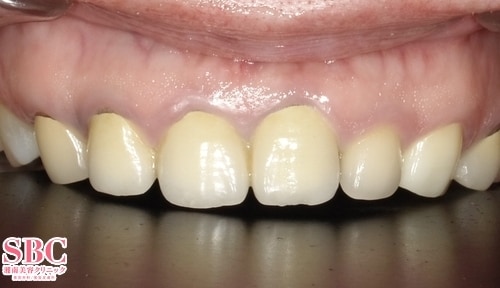
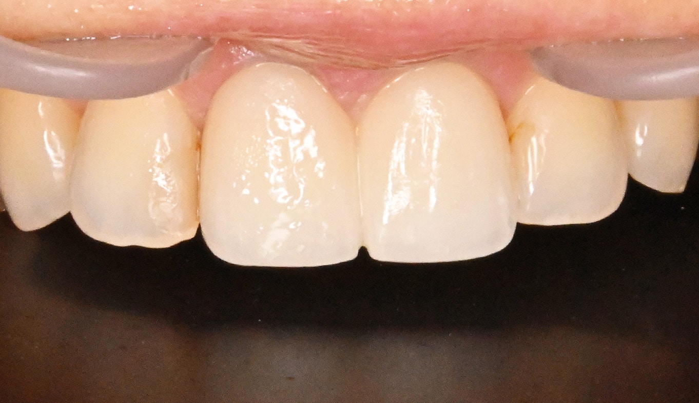
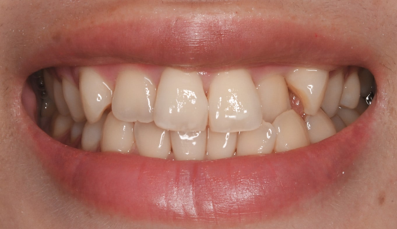
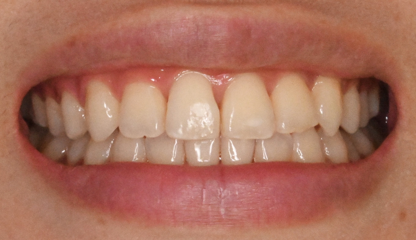
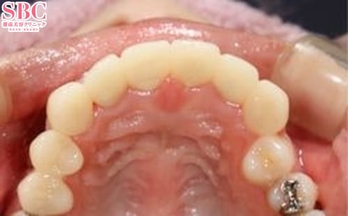
美容歯科 / ダイヤモンドクラウン(ジルコニア) No.358505
【ダイヤモンドクラウン(ジルコニア)】過去に入れた詰め物の黒ずみ・色味をセラミック矯正で改善し明るい口元へ!
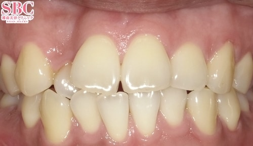
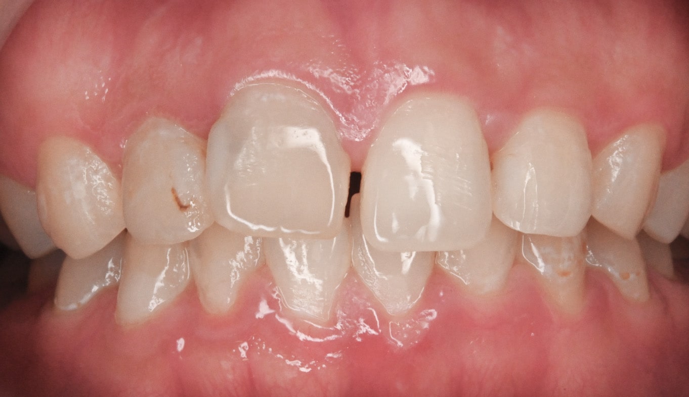
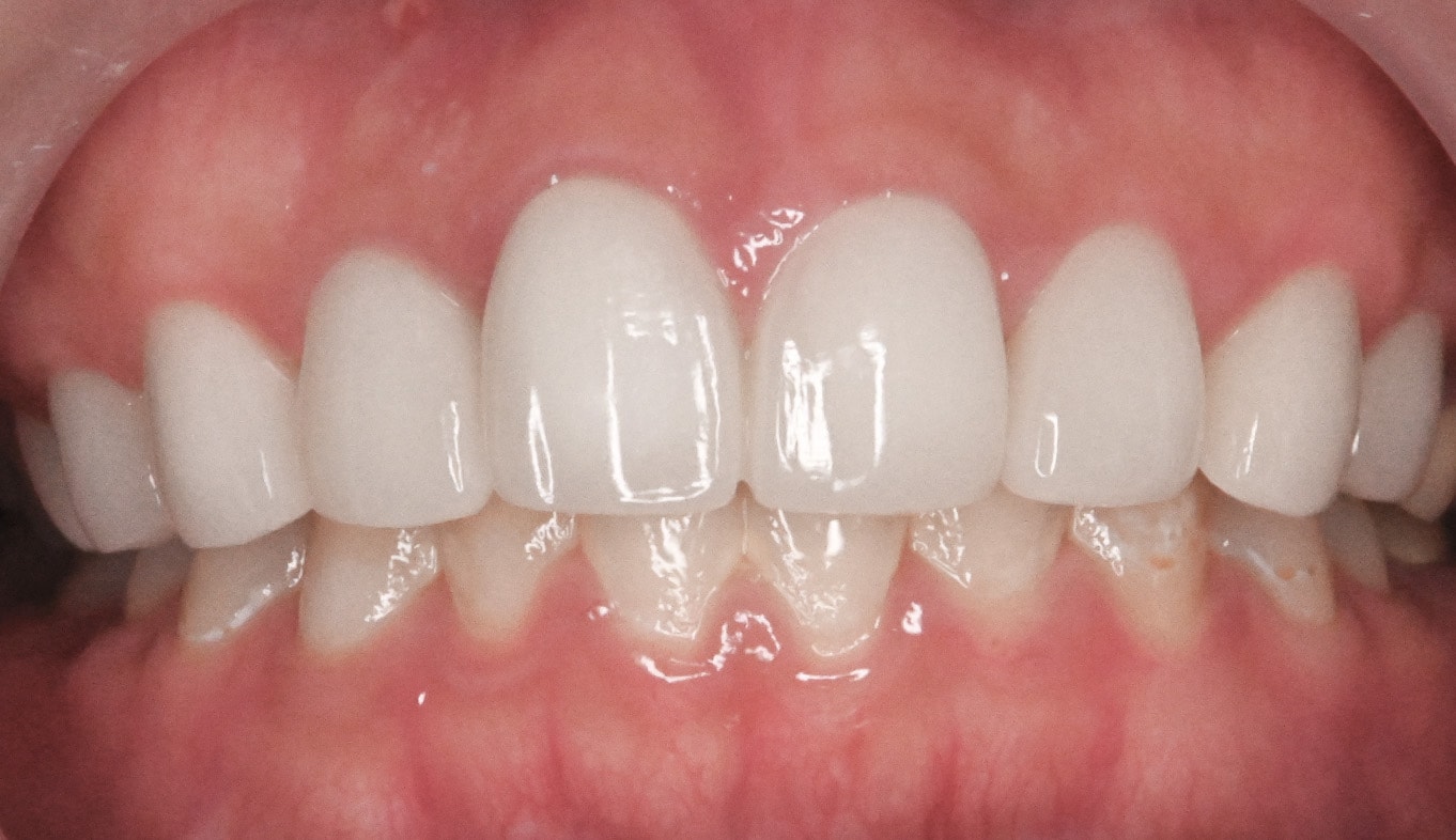
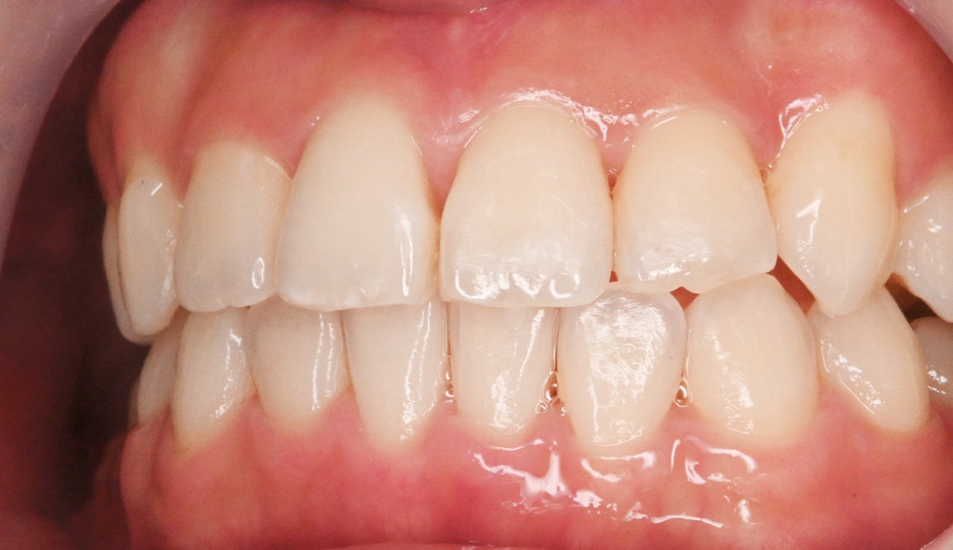
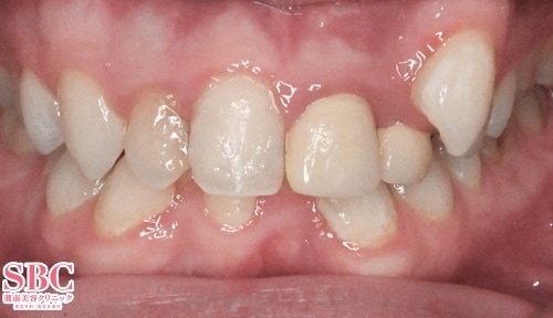
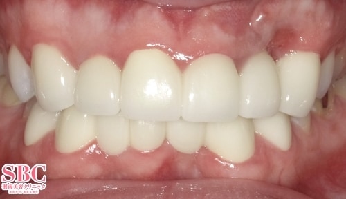
美容歯科 / ダイヤモンドクラウン(ジルコニア) No.358502
【ダイヤモンドクラウン(ジルコニア)】歯並びを短期間で一気に明るい口元へ!
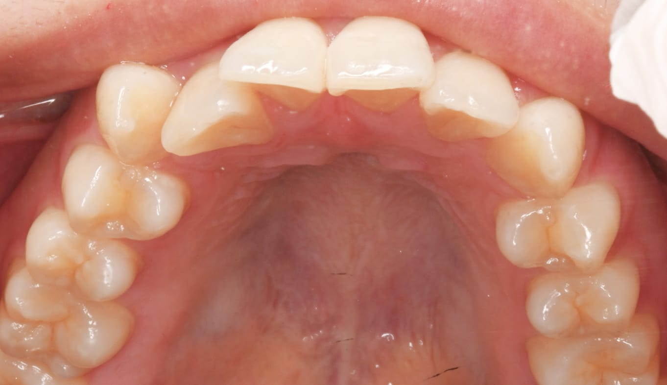
美容歯科 / マウスピース矯正 No.358438
【インビザラインGO】歯の捻れを改善し横から見ても綺麗な歯並びに整えるマウスピース矯正!
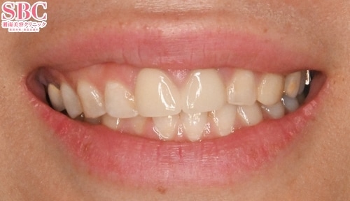
美容歯科 / マウスピース矯正 No.358435
【インビザラインGO】捻れているところを部分矯正し綺麗なアーチ型に!
美容歯科 / マウスピース矯正 No.358428
【インビザラインGO】クロスバイトを部分矯正で改善!
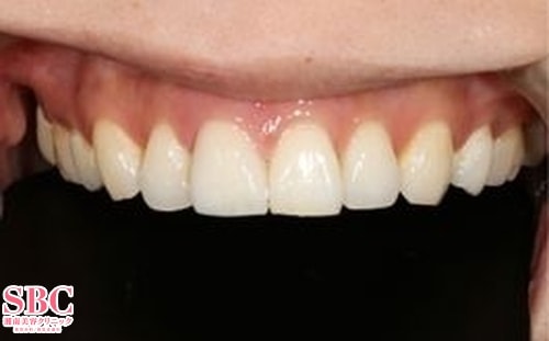
美容歯科 / プレミアムダイヤモンドセラミック No.358262
【プレミアムダイヤモンドセラミック】セラミック矯正で口元の印象をガラッと変える!
美容歯科 / プレミアムダイヤモンドセラミック No.358172
【プレミアムダイヤモンドセラミック】セラミック矯正で口元の印象をガラッと変える!
美容歯科 / ダイヤモンドオーダーセラミック No.358010
【ダイヤモンドオーダーセラミック】短期間で歯並び・色味改善ができるセラミック矯正
美容歯科 / ダイヤモンドオーダーセラミック No.358003
【ダイヤモンドオーダーセラミック】保険で入れた詰め物の変色をセラミック矯正で自然な口元に改善
美容歯科 / プレミアムダイヤモンドセラミック No.357999
【プレミアムダイヤモンドセラミック】セラミック矯正で色味とすきっ歯を改善し口元の印象を変える!
美容歯科 / マウスピース矯正 No.357997
【インビザライン モデレート】八重歯、クロスバイト、叢生を6ヶ月間のマウスピース矯正で改善!










































