美容整形の症例写真(奥一誠)
症例写真一覧
表示件数:260件 / 349262件
脂肪吸引 / 美ボディ脂肪吸引 No.321614
【鹿児島中央院 奥院長】二の腕脂肪吸引+肩ボトックスで花嫁準備は万全!綺麗なラインを作る匠のボディデザイン。
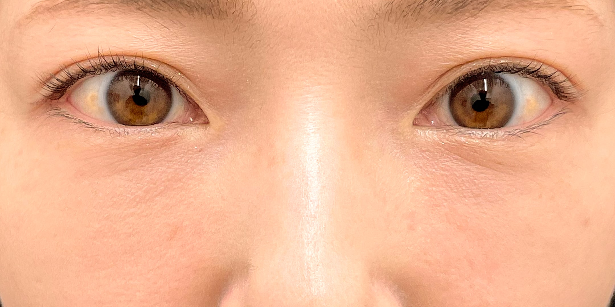
若返り / 目の下の切らないクマ・たるみ(ふくらみ)取り 他 No.319841
【鹿児島中央院 奥院長】フレッシュな男性はかっこいい!クマ取りで自信をつけて、人生をより豊かにしましょう!
豊胸・バストの修正 / 週末豊胸 -ピュアグラフト-(脂肪注入豊胸) No.319675
【鹿児島中央院 奥院長】お手軽に美バストを実現!脂肪注入豊胸ピュアグラフト1up☆
二重・二重整形 / クイックコスメティーク・ダブルNeo No.319590
《鹿児島美人》最大限に可愛さを引き出す二重術【鹿児島中央院 奥院長】
若返り / 目の下の切らないクマ・たるみ(ふくらみ)取り 他 No.304860
クマ取り×脂肪注入でマイナス10歳!
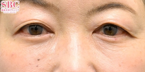
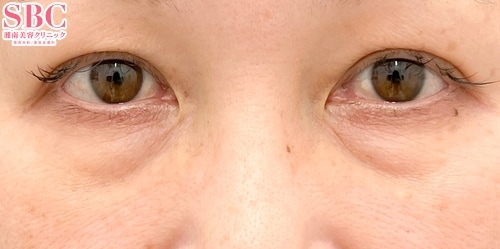
若返り / 裏ハムラ法 No.361730
【クマ取り】【ハムラ法】膨らんだ「眼窩脂肪」を凹みに移動してクマ解消!老け見え解消なら奥医師にお任せ!【施術1ヶ月後】【裏ハムラ法】
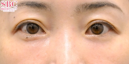
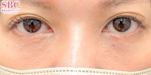
若返り / 切開ハムラ(表ハムラ)法 他 No.361587
【クマ取り】「眼窩脂肪」を移動して膨らみと溝を同時にフラットにすることで目元の若返りを実現!老け見え解消なら奥医師にお任せ!【施術3ヶ月後】【切開ハムラ法×ナノリッチ】
二重・二重整形 / クイックコスメティーク・ダブルNeo 他 No.361575
【二重・二重整形】★2025下期 自然癒着セット症例数 関東(東京除く)No.1★ご希望に合わせた二重ラインへ!【施術1ヶ月後】【クイックコスメティーク法×自然癒着セット】
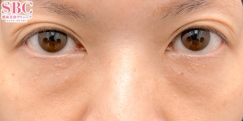
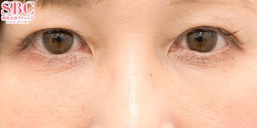
若返り / 裏ハムラ法 他 No.361428
【クマ取り】【ハムラ法】膨らんだ「眼窩脂肪」を凹みに移動してクマ解消!老け見え解消なら奥医師にお任せ!【施術1ヶ月後】【裏ハムラ法×ナチュラル脂肪注射ナノリッチ/コンデンスリッチ】
二重・二重整形 / クイックコスメティーク・ダブルNeo No.361264
【二重・二重整形】★2025上期 自然癒着セット症例数 九州沖縄エリアNo.1★ご希望に合わせた二重ラインへ!【施術1ヶ月後】【クイックコスメティーク法×自然癒着セット】
若返り / 裏ハムラ法 他 No.361103
【クマ取り】【ハムラ法】膨らんだ「眼窩脂肪」を凹みに移動してクマ解消!老け見え解消なら奥医師にお任せ!【施術3ヶ月後】【裏ハムラ法×ナノリッチ】
若返り / 裏ハムラ法 他 No.361058
【クマ取り】【ハムラ法】膨らんだ「眼窩脂肪」を凹みに移動してクマ解消!老け見え解消なら奥医師にお任せ!【施術1ヶ月後】【裏ハムラ法×ナノリッチ】
二重・二重整形 / クイックコスメティーク・ダブルNeo 他 No.361003
【二重・二重整形】★2025上期 自然癒着セット症例数 九州沖縄エリアNo.1★まつ毛の生え際が見えるパッチリ二重に!【施術1ヶ月後】【クイックコスメティーク法×自然癒着セット×SBCデカ目】
若返り / 切開ハムラ(表ハムラ)法 他 No.360873
【クマ取り】「眼窩脂肪」を移動して膨らみと溝を同時にフラットにすることで目元の若返りを実現!老け見え解消なら奥医師にお任せ!【施術3ヶ月後】【切開ハムラ法×ナノリッチ】
若返り / 裏ハムラ法 No.360834
【クマ取り】【ハムラ法】膨らんだ「眼窩脂肪」を凹みに移動してクマ解消!老け見え解消なら奥医師にお任せ!【施術1ヶ月後】【裏ハムラ法】
二重・二重整形 / クイックコスメティーク・ダブルNeo 他 No.360684
【二重・二重整形】★2025上期 自然癒着セット症例数 九州沖縄エリアNo.1★まつ毛の生え際が見えるパッチリ二重に!【施術3ヶ月後】【クイックコスメティーク法×自然癒着セット×目頭切開】
若返り / 裏ハムラ法 他 No.360531
【クマ取り】【ハムラ法】膨らんだ「眼窩脂肪」を凹みに移動してクマ解消!老け見え解消なら奥医師にお任せ!【施術1ヶ月後】【裏ハムラ法×ナノリッチ】
二重・二重整形 / クイックコスメティーク・ダブルNeo 他 No.360508
【二重・二重整形】★2025上期 自然癒着セット症例数 九州沖縄エリアNo.1★まつ毛の生え際が見えるパッチリ二重に!【施術1ヶ月後】【クイックコスメティーク法×自然癒着セット×目頭切開×SBCデカ目】
二重・二重整形 / クイックコスメティーク・ダブルNeo 他 No.360457
【二重・二重整形】★2025上期 自然癒着セット症例数 九州沖縄エリアNo.1★ご希望に合わせた二重ラインへ!【施術1ヶ月後】【クイックコスメティーク法×自然癒着セット】
若返り / 裏ハムラ法 他 No.360303
【クマ取り】【ハムラ法】膨らんだ「眼窩脂肪」を凹みに移動してクマ解消!老け見え解消なら奥医師にお任せ!【施術3ヶ月後】【裏ハムラ法×ナチュラル脂肪注射ナノリッチ/コンデンスリッチ】










































