美容外科・美容皮膚科・審美歯科なら湘南美容クリニック
電話予約・電話問い合わせ 10:00~22:45対応 番号を通知してお電話ください 0120-489-100
Instagram
LINE
YouTube
公式アプリ
美容皮膚科
あなたに最適な美容メンテナンスをサポートします!
二重整形
これを見たらあなたも思わず二重にしたくなる♡
医療ダイエット
医療ダイエットをしたらマイナス何センチ?リアルな結果を発信中!
若返り
年齢別・お悩み別で「今やるべき美容医療」がわかる美容医療メディア
クマ取り
クマ取り失敗したくない方必見!成功の秘訣満載★
脂肪吸引
美は武器!夜職女性のための美の総合メディア
予約・お問い合わせ
美容外科 MENU
Language
メインメニュー
診療内容一覧
料金一覧
クリニック案内
ドクター一覧
モニター募集
症例写真
よくある質問
当院が選ばれる理由
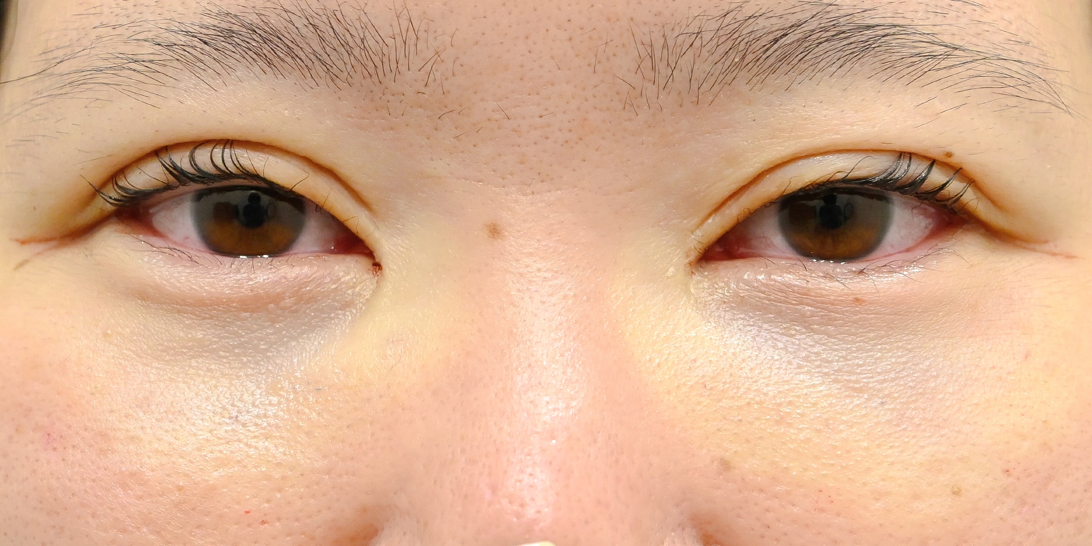
当院の症例写真は、画像処理により形や大きさをかえるような処理は一切おこなっておりません。
奥一誠 医師
施術前
施術後1ヶ月後
施術した院
部位
施術
施術回数
数量
性別
脱脂から切開、脂肪注入まで全てのクマ取り治療の執刀が可能!クマ取り施術なら奥医師にお任せください!『涙袋の強調』『目袋の改善』『靭帯ヘコみの改善』『頬の陥凹の修復』が同時に叶ってしまう治療が、僕の裏ハムラです。一般的に省略されることが多い靭帯処理や縫合固定ですが、当院ではしっかり手を抜かず行っておりますのでご安心ください。==========================【裏ハムラ法とは】目の下の脂肪を取るのではなく、膨らんでいるところから窪んでいるところに移動させ、美しく整える方法です。裏ハムラ法では下まぶたの裏側を切開して施術を行うため、表面に傷が残ることはなく、外から見ても傷跡はわかりません。★Dr.奥の二重術が選ばれる理由★・スタッフ本人、ご家族、ご友人の施術を数多く担当・親身なカウンセリング・丁寧なデザイン・美的センスの高さ・関東で修行した高い技術力丁寧な診察で、お一人お一人に合わせたデザインで施術させていただきます。お気軽にご相談ください。★instagram絶賛更新中★【奥医師担当】@sbc_okuインスタグラムではリアルタイムで沢山の症例写真や施術動画をあげています!
施術担当者からのコメント
脱脂から切開、脂肪注入まで全てのクマ取り治療の執刀が可能!
クマ取り施術なら奥医師にお任せください!
『涙袋の強調』『目袋の改善』『靭帯ヘコみの改善』『頬の陥凹の修復』が同時に叶ってしまう治療が、僕の裏ハムラです。
一般的に省略されることが多い靭帯処理や縫合固定ですが、当院ではしっかり手を抜かず行っておりますのでご安心ください。
==========================
【裏ハムラ法とは】
目の下の脂肪を取るのではなく、膨らんでいるところから窪んでいるところに移動させ、美しく整える方法です。
裏ハムラ法では下まぶたの裏側を切開して施術を行うため、
表面に傷が残ることはなく、外から見ても傷跡はわかりません。
★Dr.奥の二重術が選ばれる理由★
・スタッフ本人、ご家族、ご友人の施術を数多く担当
・親身なカウンセリング
・丁寧なデザイン
・美的センスの高さ
・関東で修行した高い技術力
丁寧な診察で、お一人お一人に合わせたデザインで施術させていただきます。
お気軽にご相談ください。
★instagram絶賛更新中★
【奥医師担当】
@sbc_oku
インスタグラムではリアルタイムで沢山の症例写真や
施術動画をあげています!