美容整形の症例写真(東大輝)
症例写真一覧
表示件数:112件 / 349539件
二重・二重整形 / フォーエバー二重術(R) No.362025
★☆Dr.東の韓流二重★☆【フォーエバー二重術R?】★☆目頭切開中部1位[2024下半期SBC内症例数]/全切開法二重術中部3位[2024下半期SBC内症例数]/フォーエバー二重術全国1位[2022下半期SBC内症例数]☆★目周り症例実績多数!カウセ当日施術可能★韓国出身Dr…
二重・二重整形 / クイックコスメティーク・ダブルNeo No.361812
★☆Dr.東の韓流二重★☆【クイックコスメティークダブル】★☆目頭切開中部1位[2024下半期SBC内症例数]/全切開法二重術中部3位[2024下半期SBC内症例数]/フォーエバー二重術全国1位[2022下半期SBC内症例数]☆★目周り症例実績多数!カウセ当日施術可能★韓国出…
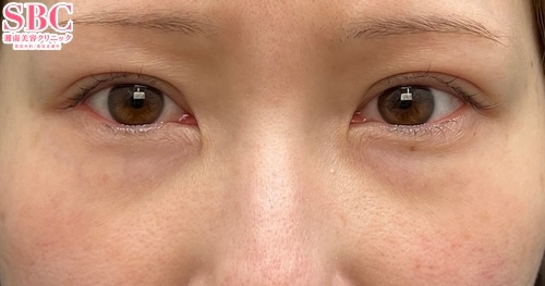
若返り / 裏ハムラ法 No.361727
【30代:クマ取り】中部2位の裏ハムラ〈2025年上半期SBC内症例数〉SBC社員から指名殺到中の東医師のミニマムダウンタイムクマ取り!目の下のたるみは、たるみ特化型Dr「たるみソムリエ東」にお任せ!
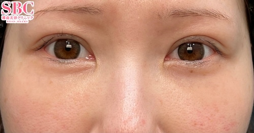
若返り / 裏ハムラ法 No.361467
【50代:クマ取り】中部2位の裏ハムラ〈2025年上半期SBC内症例数〉SBC社員から指名殺到中の東医師のミニマムダウンタイムクマ取り!目の下のたるみは、たるみ特化型Dr「たるみソムリエ東」にお任せ!
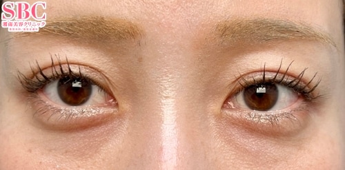
若返り / 眉下リフト(眉下切開) No.361415
【40代:眉下切開】☆★眉下切開中部No.1&西日本No.3獲得〈2025年下半期SBC内症例数〉★☆瞼のたるみは眉下切開で解決!【たるみ特化型Dr】瞼のたるみを改善、たるみソムリエ東の切開術。若返り治療は圧倒的技術力の東医師にお任せ!
二重・二重整形 / クイックコスメティーク・トリプルNeo No.361097
★☆Dr.東の韓流二重★☆【クイックコスメティークトリプル+切らない眼瞼下垂】★☆目頭切開中部1位[2024下半期SBC内症例数]/全切開法二重術中部3位[2024下半期SBC内症例数]/フォーエバー二重術全国1位[2022下半期SBC内症例数]☆★目周り症例実績多数!カウセ…
二重・二重整形 / フォーエバー二重術(R) No.361055
★☆Dr.東の韓流二重★☆【全国No.1のフォーエバー二重術R?】★☆目頭切開中部1位[2024下半期SBC内症例数]/全切開法二重術中部3位[2024下半期SBC内症例数]/フォーエバー二重術全国1位[2022下半期SBC内症例数]☆★目周り症例実績多数!カウセ当日施術可能…
二重・二重整形 / クイックコスメティーク・ダブルNeo No.360601
★☆Dr.東の韓流二重★☆【当院人気No.1QCW】★☆目頭切開中部1位[2024下半期SBC内症例数]/全切開法二重術中部3位[2024下半期SBC内症例数]/フォーエバー二重術全国1位[2022下半期SBC内症例数]☆★目周り症例実績多数!カウセ当日施術可能★韓国出身Dr…
二重・二重整形 / クイックコスメティーク・ダブルNeo No.360295
★☆Dr.東の韓流二重★☆【当院人気No.1QCW+デカ目術】★☆目頭切開中部1位[2024下半期SBC内症例数]/全切開法二重術中部3位[2024下半期SBC内症例数]/フォーエバー二重術全国1位[2022下半期SBC内症例数]☆★目周り症例実績多数!カウセ当日施術可能★韓…
二重・二重整形 / クイックコスメティーク・トリプルNeo No.360011
★☆Dr.東の韓流二重★☆【当院最高峰の埋没術QCT+デカ目術】★☆目頭切開中部1位[2024下半期SBC内症例数]/全切開法二重術中部3位[2024下半期SBC内症例数]/フォーエバー二重術全国1位[2022下半期SBC内症例数]☆★目周り症例実績多数!カウセ当日施術可能★…
若返り / 裏ハムラ法 No.359889
【40代:クマ取り】中部2位の裏ハムラ〈2025年上半期SBC内症例数〉SBC社員から指名殺到中の東医師のミニマムダウンタイムクマ取り!目の下のたるみは、たるみ特化型Dr「たるみソムリエ東」にお任せ!
若返り / 裏ハムラ法 他 No.359589
【50代:クマ取り&眉下切開】中部2位の裏ハムラ〈2025年上半期SBC内症例数〉SBC社員から指名殺到中の東医師のミニマムダウンタイムクマ取り!目の下のたるみは、たるみ特化型Dr「たるみソムリエ東」にお任せ!
若返り / 裏ハムラ法 No.359207
【40代:クマ取り】中部2位の裏ハムラ〈2025年上半期SBC内症例数〉SBC社員から指名殺到中の東医師のミニマムダウンタイムクマ取り!目の下のたるみは、たるみ特化型Dr「たるみソムリエ東」にお任せ!
二重・二重整形 / タルミ取り併用全切開法二重 他 No.359090
★☆Dr.東の韓流二重★☆【全切開+目頭+目尻の全方向切開】★☆目頭切開中部1位[2024下半期SBC内症例数]/全切開法二重術中部3位[2024下半期SBC内症例数]/フォーエバー二重術全国1位[2022下半期SBC内症例数]☆★目周り症例実績多数!カウセ当日施術可能★韓国…
二重・二重整形 / クイックコスメティーク・ダブルNeo No.359045
★☆Dr.東の韓流二重★☆【当院人気No.1のクイックコスメティークw】★☆目頭切開中部1位[2024下半期SBC内症例数]/全切開法二重術中部3位[2024下半期SBC内症例数]/フォーエバー二重術全国1位[2022下半期SBC内症例数]☆★目周り症例実績多数!カウセ当日施…
二重・二重整形 / クイックコスメティーク・ダブルNeo No.358817
★☆Dr.東の韓流二重★☆【大人気のクイックコスメティークw】★☆目頭切開中部1位[2024下半期SBC内症例数]/全切開法二重術中部3位[2024下半期SBC内症例数]/フォーエバー二重術全国1位[2022下半期SBC内症例数]☆★目周り症例実績多数!カウセ当日施術可能★韓…
若返り / 裏ハムラ法 No.358775
【40代:クマ取り】★12月25日まで定価から2万円引き★中部2位の裏ハムラ〈2025年上半期SBC内症例数〉SBC社員から指名殺到中の東医師のミニマムダウンタイムクマ取り!目の下のたるみは、たるみ特化型Dr「たるみソムリエ東」にお任せ!
若返り / 裏ハムラ法 No.358576
【20代:クマ取り】★12月25日まで定価から2万円引き★中部2位の裏ハムラ〈2025年上半期SBC内症例数〉SBC社員から指名殺到中の東医師のミニマムダウンタイムクマ取り!目の下のたるみは、たるみ特化型Dr「たるみソムリエ東」にお任せ!
若返り / 裏ハムラ法 No.358533
【20代:クマ取り】★12月25日まで定価から2万円引き★中部2位の裏ハムラ〈2025年上半期SBC内症例数〉SBC社員から指名殺到中の東医師のミニマムダウンタイムクマ取り!目の下のたるみは、たるみ特化型Dr「たるみソムリエ東」にお任せ!
若返り / 眉下リフト+roof No.358286
【40代:眉下切開+ROOF切除】社員指名殺到中!瞼のたるみは眉下切開で解決!【たるみ特化型Dr】瞼のたるみ&脂肪を同時改善、たるみソムリエ東の切開術。若返り治療は圧倒的技術力の東医師にお任せ!










































