症例写真(東大輝)
症例写真一覧
表示件数:100件 / 347350件
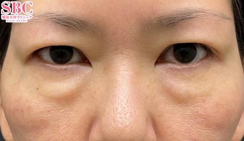
若返り / 裏ハムラ法 他 No.357740
【20代:クマ取り&脂肪注入】★12月25日まで定価から2万円引き★中部2位の裏ハムラ〈2025年上半期SBC内症例数〉SBC社員から指名殺到中の東医師のミニマムダウンタイムクマ取り!目の下のたるみは、たるみ特化型Dr「たるみソムリエ東」にお任せ!
二重・二重整形 / タルミ取り併用全切開法二重 他 No.357472
★☆Dr.東の韓流二重★☆【全切開+目頭+目尻の全方向切開】★☆目頭切開中部1位[2024下半期SBC内症例数]/全切開法二重術中部3位[2024下半期SBC内症例数]/線留めクロス二重術全国1位[2022下半期SBC内症例数]☆★目周り症例実績多数!カウセ当日施術可能★韓国…
若返り / 裏ハムラ法 他 No.355857
【30代:クマ取り&眉下切開】当院スタッフを担当しました!中部2位の裏ハムラ〈2025年上半期SBC内症例数〉SBC社員から指名殺到中の東医師のミニマムダウンタイムクマ取り!目の下のたるみは、たるみ特化型Dr「たるみソムリエ東」にお任せ!
若返り / 裏ハムラ法 No.355632
【40代:クマ取り】中部2位の裏ハムラ〈2025年上半期SBC内症例数〉SBC社員から指名殺到中の東医師のミニマムダウンタイムクマ取り!目の下のたるみは、たるみ特化型Dr「たるみソムリエ東」にお任せ!
若返り / 裏ハムラ法 No.352768
【40代:クマ取り】当院人気の裏ハムラ!SBC社員から指名殺到中の東医師のミニマムダウンタイムクマ取り!目の下のたるみは、たるみ特化型Dr「たるみソムリエ東」にお任せ!
若返り / 目の下の切らないクマ・たるみ(ふくらみ)取り 他 No.352462
【40代:クマ取り】目の下の切らないクマたるみ取り+脂肪注入!SBC社員から指名殺到中の東医師のクマ取り!目の下のたるみは、たるみ特化型Dr「たるみソムリエ東」にお任せ!
二重・二重整形 / クイックコスメティーク・ダブルNeo 他 No.349334
当院スタッフが受けました!【当院人気No.1のクイックコスメティークW&デカ目術】★☆目頭切開中部1位[2024下半期SBC内症例数]/全切開法二重術中部3位[2024下半期SBC内症例数]/線留めクロス二重術全国1位[2022下半期SBC内症例数]☆★目周り症例実績多数!カ…
二重・二重整形 / クイックコスメティーク・ダブルNeo 他 No.348979
★☆だいき先生の韓流二重★☆【当院人気No.1のクイックコスメティークW&デカ目術】★☆目頭切開中部1位[2024下半期SBC内症例数]/全切開法二重術中部3位[2024下半期SBC内症例数]/線留めクロス二重術全国1位[2022下半期SBC内症例数]☆★目周り症例実績多数!…
若返り / 目の下の切らないクマ・たるみ(ふくらみ)取り 他 No.348365
【40代:クマ取り+脂肪注入】社員指名殺到中!だいき先生の若返り術。ふっくらベビーフェイスへ。若返り治療は、圧倒的技術力のだいき先生にお任せ!
若返り / 眉下リフト(眉下切開) No.348305
【30代:眉下切開】当院スタッフが受けました!社員指名殺到中!だいき先生の切開術。若返り治療は、圧倒的技術力のだいき先生にお任せ!
二重・二重整形 / クイックコスメティーク・ダブルNeo 他 No.347746
★☆だいき先生の韓流二重★☆【大人気のQCW&セットでおすすめのデカ目術】★☆目頭切開中部1位[2024下半期SBC内症例数]/全切開法二重術中部3位[2024下半期SBC内症例数]/フォーエバー二重術全国1位[2022下半期SBC内症例数]☆★目周り症例実績多数!カウセ当日…
二重・二重整形 / クイックコスメティーク・ダブルNeo No.346703
★☆だいき先生の韓流二重★☆【当院人気No.1!QCW】★☆フォーエバー二重術全国1位[2022下半期SBC内症例数]☆★カウセ当日施術可能★韓国出身Dr.だいき先生による最先端のトレンド二重整形♪社員指名殺到中!三重で二重にするならぜひ湘南四日市院でお待ちしております♪
二重・二重整形 / クイックコスメティーク・ダブルNeo No.345601
★☆だいき先生の韓流二重★☆【当院人気No.1!QCW】★☆フォーエバー二重術全国1位[2022下半期SBC内症例数]☆★カウセ当日施術可能★韓国出身Dr.だいき先生による最先端のトレンド二重整形♪社員指名殺到中!三重で二重にするならぜひ湘南四日市院でお待ちしております♪
二重・二重整形 / 全切開法二重術 No.344914
だいき先生の韓流二重術【中部No.3の全切開】★☆フォーエバー二重術全国1位[2022下半期SBC内症例数]☆★カウセ当日施術可能★韓国出身Dr.だいき先生による最先端のトレンド二重整形♪社員指名殺到中!三重で二重にするならぜひ湘南四日市院でお待ちしております♪
若返り / VOV(ボブ)リフト 他 No.315104
糸リフトで出っ張った頬骨の印象を薄く!たまごのような輪郭へ
二重・二重整形 / クイックコスメティーク・ダブルNeo No.315098
【幅広平行二重】トレンド二重を作るならDr.東に!
フェイスライン / バッカルファット No.312544
小顔 男性で頬をこけさせたい
二重・二重整形 / フォーエバー二重術(R) No.312542
ナチュラルな平行二重
二重・二重整形 / フォーエバー二重術(R) No.312541
ナチュラルな平行二重
若返り / 裏ハムラ法 他 No.359589
【50代:クマ取り&眉下切開】中部2位の裏ハムラ〈2025年上半期SBC内症例数〉SBC社員から指名殺到中の東医師のミニマムダウンタイムクマ取り!目の下のたるみは、たるみ特化型Dr「たるみソムリエ東」にお任せ!










































