美容整形の症例写真(中溝晃規)
症例写真一覧
表示件数:396件 / 346459件
鼻整形 / SBCプレミアムソフトプロテーゼ※別途、安心麻酔(静脈麻酔)代がかかります。 No.296516
【鼻プロテーゼ】半永久的に鼻筋を高くできるプロテーゼでマスク上も美しく魅せる!
脂肪吸引 / 美ボディ脂肪吸引 No.296151
【脂肪吸引+糸リフト】顔の脂肪を吸引し、糸でリフトアップさせることで理想のフェイスラインに変化!
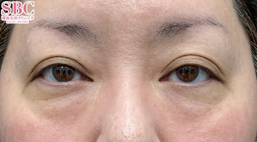
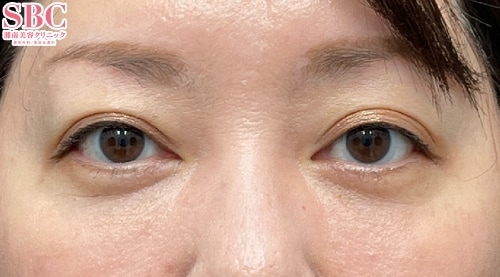
若返り / 目の下の切らないクマ・たるみ(ふくらみ)取り 他 No.295329
【目の下のクマ改善】切らない方法で目の下のたるみを改善させることで若々しい印象になります!
若返り / 眉下リフト(眉下切開) No.295311
【眉下リフト】上まぶたのたるみを解消させ、スッキリとした目元に変化!
豊胸・バストの修正 / 週末豊胸 -ピュアグラフト-(脂肪注入豊胸) No.293231
【ナチュラルバストアップ】御自身の脂肪で自然な豊胸を!太腿も脂肪吸引で細くなって一石二鳥!
二重・二重整形 / 目頭切開プレミアム No.287857
【目頭切開】ナチュラルな目頭切開で蒙古襞をなくします!傷跡も目立ちにくいように切開!
鼻整形 / 鼻尖形成/鼻尖形成3D法(だんご鼻解消術) 他 No.358684
【鼻尖形成+プロテーゼ】鼻筋から鼻先まで自然に高く!違和感を出さない鼻整形ならSBC熊本院の中溝先生にお任せ!
若返り / シークレットリフト 他 No.358683
【マリオネットライン治療】下顔面のトータルアンチエイジングでしっかりとした若返りを実現!切らない治療でもここまで変わります!
鼻整形 / 鼻尖形成/鼻尖形成3D法(だんご鼻解消術) 他 No.358662
【メンズ鼻整形】割れた鼻先を修正しつつ、男らしいお鼻に仕上げました。九州で鼻整形なら熊本院!
その他の手術 / リップリフト No.358661
【人中短縮】リップリフトで間延びした口元をスッキリと!下顔面を黄金比にしてバランスのとれた顔立ちへ!熊本院ならメジャーではない治療もご案内可能です。
鼻整形 / 小鼻縮小(内側外側両方+締め付け縫合) No.358660
【小鼻縮小】横幅のあるお鼻もコンパクトに!九州で鼻整形なら経験豊富なDr中溝にお任せ!
二重・二重整形 / クイックコスメティーク・ダブルNeo No.358397
【ナチュラル二重】ナチュラルデザイナーDr.中溝によるクイックコスメティーク・ダブルは整形感ゼロで大人気!
豊胸・バストの修正 / コンデンスリッチ(脂肪注入豊胸) No.358308
【脂肪注入豊胸×2】二次豊胸でしっかりバストアップ!ナチュラルなバストアップなら脂肪注入!
鼻整形 / 鼻尖形成/鼻尖形成3D法(だんご鼻解消術) 他 No.358306
【鼻尖形成3D+メーラーファット除去】鼻先を出し、中顔面のボリュームを落とすことで、鼻の埋もれ感を改善!
若返り / 裏ハムラ法 他 No.357205
【ハムラ法/クマ治療】新時代のクマ治療であるハムラ法もお任せください!クマトリならDr中溝!
若返り / 裏ハムラ法 他 No.357084
【裏ハムラ】人気急上昇中のハムラもDr中溝におまかせ!あなたに最適な治療をご提案いたします。
二重・二重整形 / クイックコスメティーク・ダブルNeo No.357008
【ナチュラル二重】整形感ゼロ!ナチュラル二重ならDr.中溝。二重のり卒業を応援します!
二重・二重整形 / クイックコスメティーク・ダブルNeo No.356980
【ナチュラル二重】ナチュラルデザイナーDr.中溝によるクイックコスメティーク・ダブルは整形感ゼロで大人気!
二重・二重整形 / クイックコスメティーク・ダブルNeo No.356347
【ナチュラル二重】幅を広げて自然に垢抜け♪アイテープを卒業するならDr.中溝へ!
若返り / ナチュラル脂肪注射ナノリッチ 他 No.356303
【裏ハムラ】クマ取り+ナノリッチでシワ改善。目元年齢を下げる治療










































