若返りの症例写真(若返り、テスリフト)
ドクターが選ぶ BEST SHOT AWARD
症例写真一覧
表示件数:918件 / 346445件
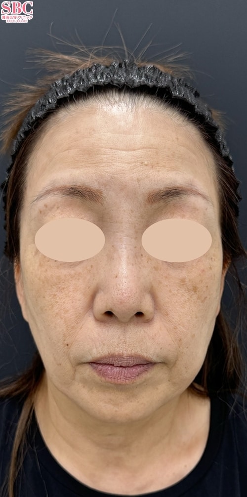
若返り / VOV(ボブ)リフト 他 No.296897
【VOVリフト・テスリフト】バレずに自然にリフトアップを希望の方は「アンチエイジング専門医資格あり!」檜山(ひのきやま)院長にお任せ!!
若返り / テスリフト 他 No.295144
【若返り】【テスリフト10本】【VOVリフト12本】【ヒアルロン酸注入】ベテラン医師・静岡院 院長山本によるリフトアップ術★インスタ指名多数★
若返り / シークレットリフト 他 No.268877
日本形成外科学会専門医 京都院院長 田中Dr.執刀【シークレットリフト+テスリフト】【手術後1週間】「劇的若返り」ならベテラン女医 田中 永紅にお任せ下さい!
若返り / シークレットリフト 他 No.261379
日本形成外科学会専門医 京都院院長 田中Dr.執刀【シークレットリフト+テスリフト】【手術後1週間】「劇的若返り」ならベテラン女医 田中 永紅にお任せ下さい!
若返り / シークレットリフト 他 No.358683
【マリオネットライン治療】下顔面のトータルアンチエイジングでしっかりとした若返りを実現!切らない治療でもここまで変わります!
若返り / テスリフト 他 No.358437
【土田式ハリウッド糸リフト】京都で切らない若返り・リフトアップならリテスリフト症例数関西No.2(※)の土田博之医師にお任せ!(SBC内症例数 2025年上半期)
若返り / テスリフト No.358410
職員の方の糸リフト担当症例です!【長期経過】
若返り / テスリフト 他 No.358081
【土田式ハリウッド糸リフト】京都で切らない若返り・リフトアップならリテスリフト症例数関西No.2(※)の土田博之医師にお任せ!(SBC内症例数 2025年上半期)
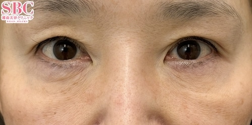
若返り / 切開ハムラ(表ハムラ)法 他 No.358080
お疲れ目元改善!土田博之医師による【クマ治療・切開ハムラ法】目元切開で選ばれています!眉下リフト症例数関西No.2(※)(SBC内症例数 2023年上半期)
若返り / VOV(ボブ)リフト 他 No.358015
【糸リフト/顔の脂肪吸引】ナチュラルなのにしっかり引き上げ 武田有加医師の若返り&輪郭形成リフト
若返り / テスリフト 他 No.357634
【土田式ハリウッド糸リフト】京都で切らない若返り・リフトアップならリテスリフト症例数関西No.2(※)の土田博之医師にお任せ!(SBC内症例数 2025年上半期)
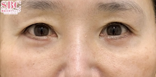
若返り / 裏ハムラ法 他 No.357478
お疲れ目元改善!土田博之医師による【クマ治療・裏ハムラ法】目元切開で選ばれています!眉下リフト症例数関西No.2(※)(SBC内症例数 2023年上半期)
若返り / テスリフト 他 No.357475
【土田式ハリウッド糸リフト】京都で切らない若返り・リフトアップならリテスリフト症例数関西No.2(※)の土田博之医師にお任せ!(SBC内症例数 2025年上半期)
若返り / 裏ハムラ法 他 No.357189
【目の下のクマ治療!裏ハムラ+糸リフト=ハムラリフト】中顔面もふっくら上がった印象に!全国おすすめクマ治療Dr.選抜のDr.ルークひのきにお任せ!【ミッドチークリフト】
若返り / テスリフト No.356779
1週間でこの変化!顎下・フェイスラインもスッキリ♪
若返り / テスリフト 他 No.356722
【土田式ハリウッド糸リフト】京都で切らない若返り・リフトアップならリテスリフト症例数関西No.2(※)の土田博之医師にお任せ!(SBC内症例数 2025年上半期)
若返り / テスリフト 他 No.356721
【土田式ハリウッド糸リフト】京都で切らない若返り・リフトアップならリテスリフト症例数関西No.2(※)の土田博之医師にお任せ!(SBC内症例数 2025年上半期)
若返り / テスリフト 他 No.356501
【土田式ハリウッド糸リフト】京都で切らない若返り・リフトアップならリテスリフト症例数関西No.2(※)の土田博之医師にお任せ!(SBC内症例数 2025年上半期)
若返り / VOV(ボブ)リフト 他 No.356496
【若返りMuse】もえか先生の若返り術|お客様一人ひとりに合わせたパーソナルプランで自然な若返り?
若返り / テスリフト 他 No.356469
【土田式ハリウッド糸リフト】京都で切らない若返り・リフトアップならリテスリフト症例数関西No.2(※)の土田博之医師にお任せ!(SBC内症例数 2025年上半期)
































































