症例写真(小岩淳(歯科)、美容歯科)
症例写真一覧
表示件数:591件 / 346478件
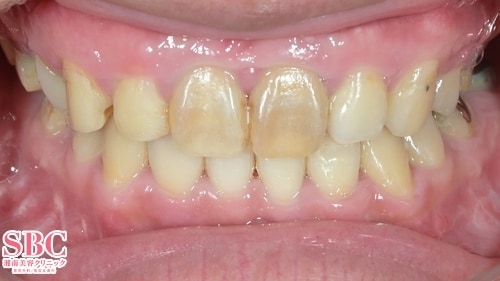
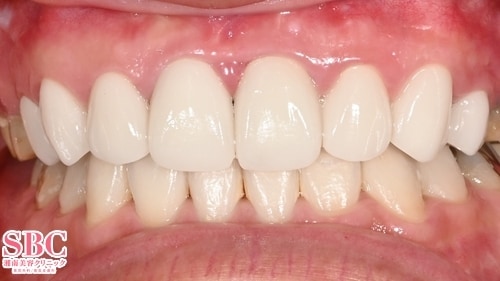
美容歯科 / プレミアムダイヤモンドセラミック No.318930
プレミアムダイヤモンドセラミック16本
美容歯科 / マウスピース矯正 No.358589
【歯科医師歴20年】ベテラン小岩先生にお任せ!最適解を診断致します!
美容歯科 / マウスピース矯正 No.358588
【歯科医師歴20年】ベテラン小岩先生にお任せ!最適解を診断致します!
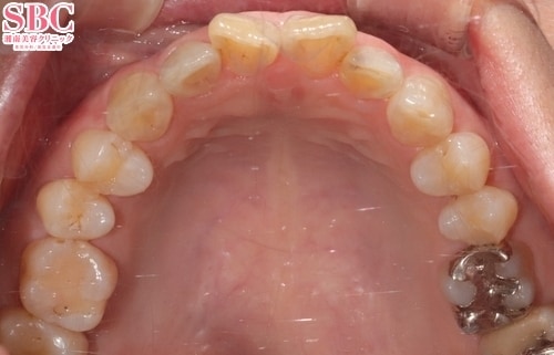
美容歯科 / プレミアムダイヤモンドセラミック No.358406
【上8本下8本】ガタツキ、開口、突出感の改善
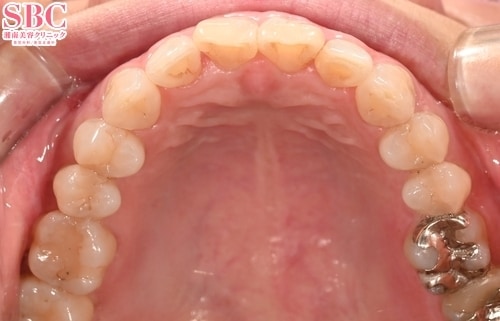
美容歯科 / プレミアムダイヤモンドセラミック No.358405
【上8本下8本】ガタツキ、開口、突出感の改善
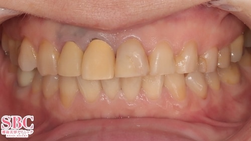
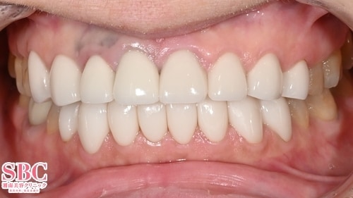
美容歯科 / プレミアムダイヤモンドセラミック 他 No.357977
【上8本下8本】長年の色のお悩み改善
美容歯科 / プレミアムダイヤモンドセラミック No.357975
【上6本】前歯の突出改善
美容歯科 / マウスピース矯正 No.357690
【歯科医師歴20年】ベテラン小岩先生にお任せ!最適解を診断致します!
美容歯科 / マウスピース矯正 No.357689
【歯科医師歴20年】ベテラン小岩先生にお任せ!最適解を診断致します!
美容歯科 / マウスピース矯正 No.357688
【歯科医師歴20年】ベテラン小岩先生にお任せ!最適解を診断致します!
美容歯科 / ダイヤモンドオーダーセラミック 他 No.357675
【下1本】変色の改善
美容歯科 / マウスピース矯正 No.357661
【歯科医師歴20年】ベテラン小岩先生にお任せ!最適解を診断致します!
美容歯科 / プレミアムダイヤモンドセラミック 他 No.357660
【上8本】色の改善
美容歯科 / プレミアムダイヤモンドセラミック 他 No.357659
【上8本】色の改善
美容歯科 / プレミアムダイヤモンドセラミック 他 No.356861
【上6本】歯並び改善
美容歯科 / マウスピース矯正 No.356789
【歯科医師歴20年】ベテラン小岩先生にお任せ!最適解を診断致します!
美容歯科 / マウスピース矯正 No.356788
【歯科医師歴20年】ベテラン小岩先生にお任せ!最適解を診断致します!
美容歯科 / マウスピース矯正 No.356784
【歯科医師歴20年】ベテラン小岩先生にお任せ!最適解を診断致します!
美容歯科 / ダイヤモンドオーダーセラミック No.356594
【上1本】差し歯のやり替え
美容歯科 / マウスピース矯正 No.356399
【歯科医師歴20年】ベテラン小岩先生にお任せ!最適解を診断致します!










































