症例写真(加藤由紀子(歯科)、美容歯科)
症例写真一覧
表示件数:1071件 / 350656件
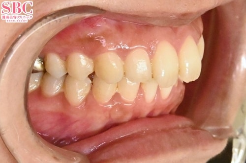
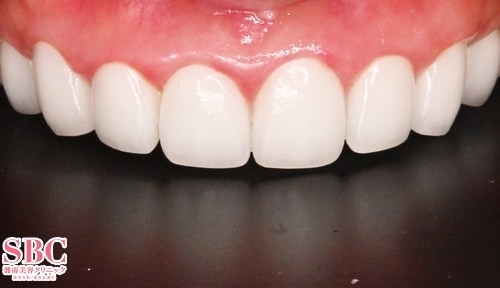
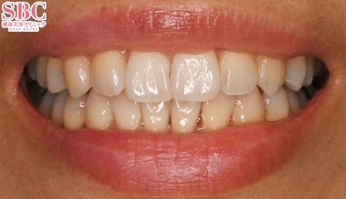
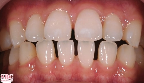
美容歯科 / ダイヤモンドオーダーセラミック No.349651
歯・形・色味を整える矯正
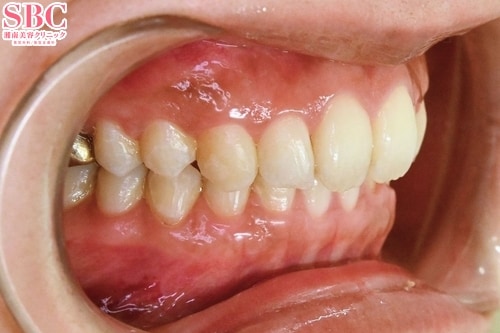
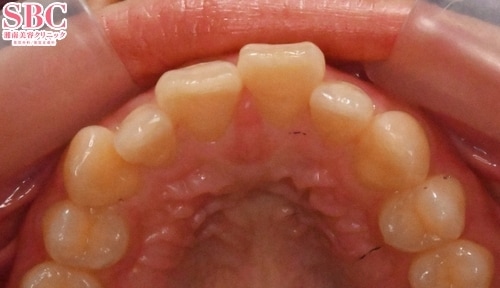
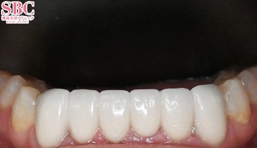
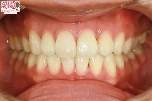
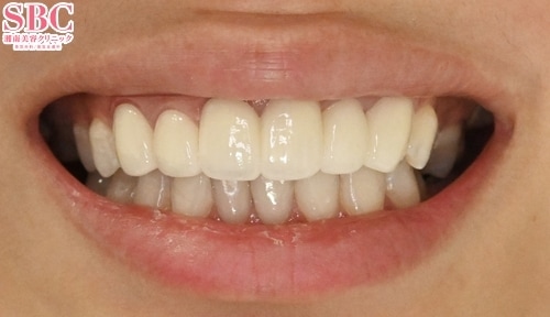
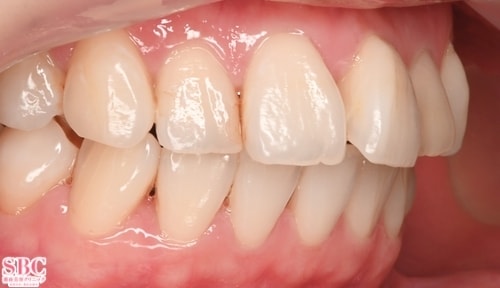
美容歯科 / ダイヤモンドオーダーセラミック No.350225
早くきれいに仕上げるセラミック矯正!!
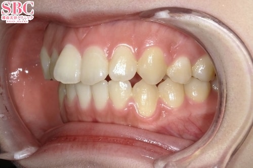
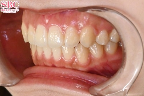
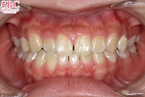
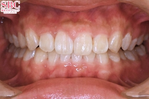
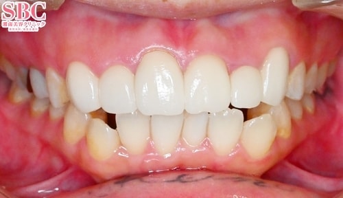
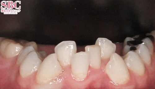
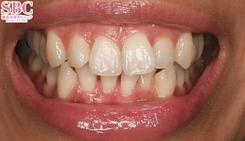
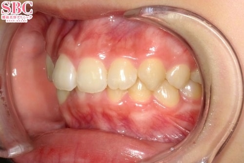
美容歯科 / マウスピース矯正 No.299099
【インビザラインフル】全体的なマウスピース矯正
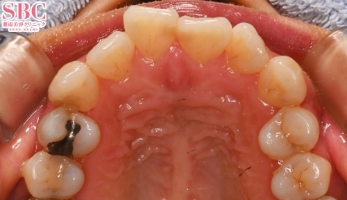
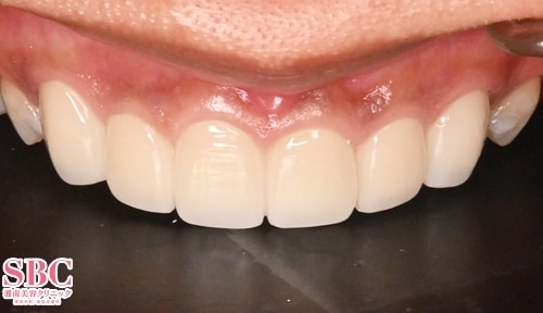
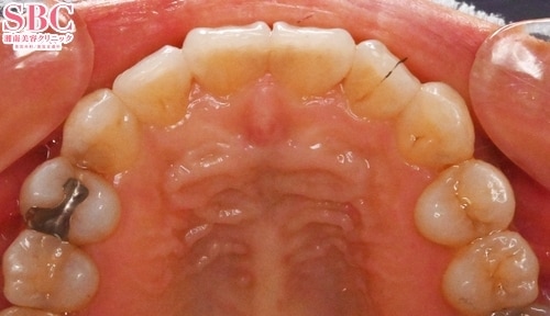
美容歯科 / マウスピース矯正 No.299095
【インビザラインフル】全体的はマウスピース矯正
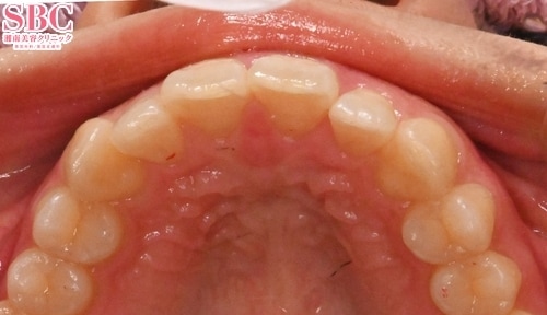
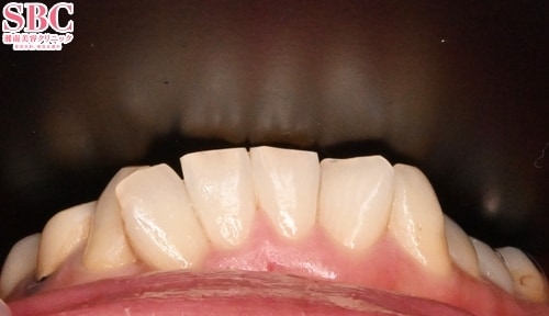
美容歯科 / マウスピース矯正 No.299000
【インビザラインフル】全顎的なマウスピース矯正
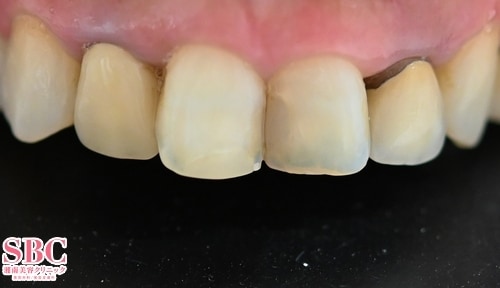
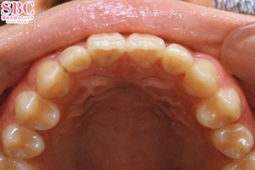
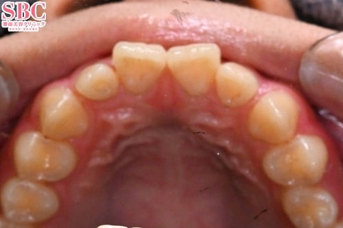
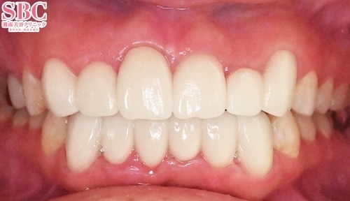
美容歯科 / プレミアムダイヤモンドセラミック No.266599
☆プレミアムダイアモンドセラミック☆上8本☆
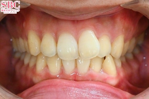
美容歯科 / プレミアムダイヤモンドセラミック No.245696
☆ジルコニアセラミック☆上8本☆
美容歯科 / プレミアムダイヤモンドセラミック No.232969
☆ジルコニアセラミック☆上下25本☆
美容歯科 / プレミアムダイヤモンドセラミック No.232968
☆ジルコニアセラミック☆上下25本☆
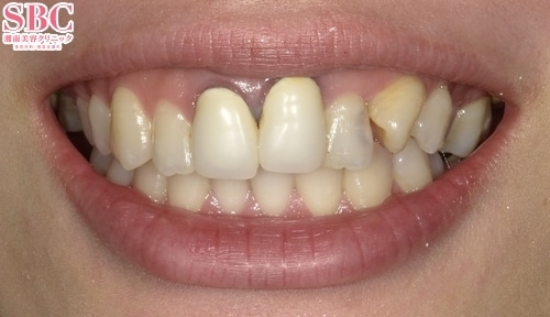
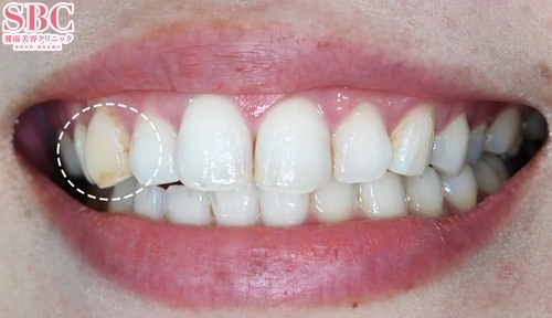
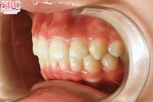
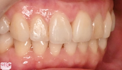
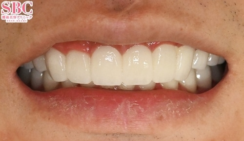
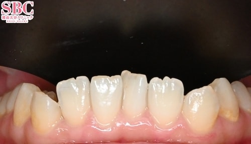
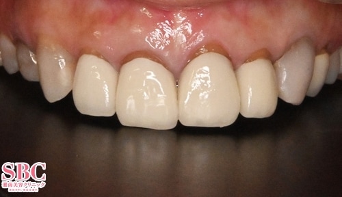
美容歯科 / ダイヤモンドクラウン(ジルコニア) No.363121
笑った顔の印象を明るくするセラミック治療!
美容歯科 / マウスピース矯正 No.363120
【インビザライン GO】笑った印象を綺麗にかっこよく!
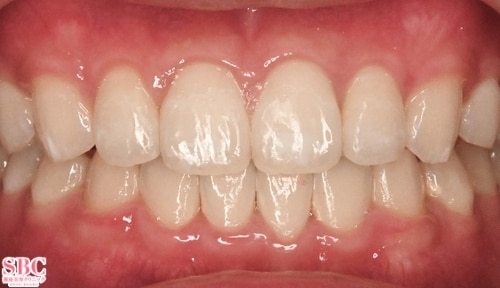
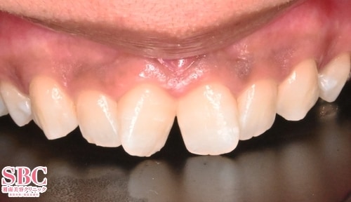
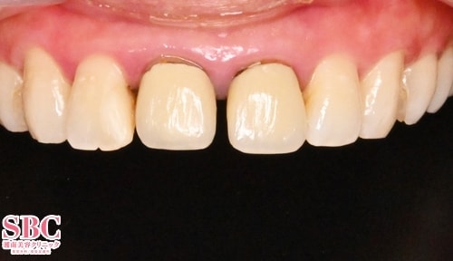
美容歯科 / ダイヤモンドクラウン(ジルコニア) No.363119
口元の印象を綺麗に明るく!!
美容歯科 / マウスピース矯正 No.363117
【インビザライン GO(上のみ)】出っ張りと隙間にWでアプローチ!!
美容歯科 / マウスピース矯正 No.362843
【インビザライン GO】隙間をなくし綺麗な歯列ラインへ
美容歯科 / マウスピース矯正 No.362837
【インビザライン GO】横から見た際に、前歯を綺麗にすることで横顔の印象も◎
美容歯科 / マウスピース矯正 No.362831
【インビザライン GO】正面から見た印象を一気に綺麗に、、、!
美容歯科 / マウスピース矯正 No.362830
【インビザライン GO】噛み合わせ、突出感も両方を整えましょう!
美容歯科 / マウスピース矯正 No.362829
【インビザライン GO】前歯の出っ張りをなくし綺麗に整えるマウスピース矯正!
美容歯科 / マウスピース矯正 No.362799
【インビザライン GO】隙間をなくすだけでこんなにも印象が変化する?
美容歯科 / マウスピース矯正 No.362798
【インビザライン MD】歯並びが整うとあごもスッキリに??










































