症例写真(倉知子(歯科)、美容歯科)
症例写真一覧
表示件数:183件 / 347604件
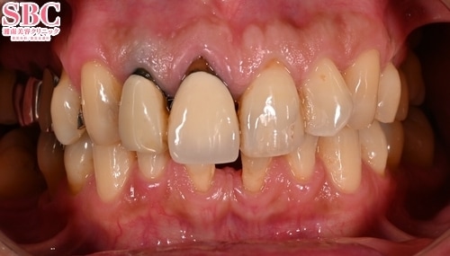
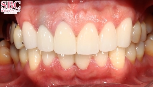
美容歯科 / ダイヤモンドクラウン(ジルコニア) No.357903
【ダイヤモンドクラウン】テトラサイクリン歯でも白い歯に
美容歯科 / マウスピース矯正 No.357526
【マウスピース矯正】インビザラインフルで突出感を改善
美容歯科 / マウスピース矯正 No.357524
【マウスピース矯正】インビザラインフルで笑顔に自信を
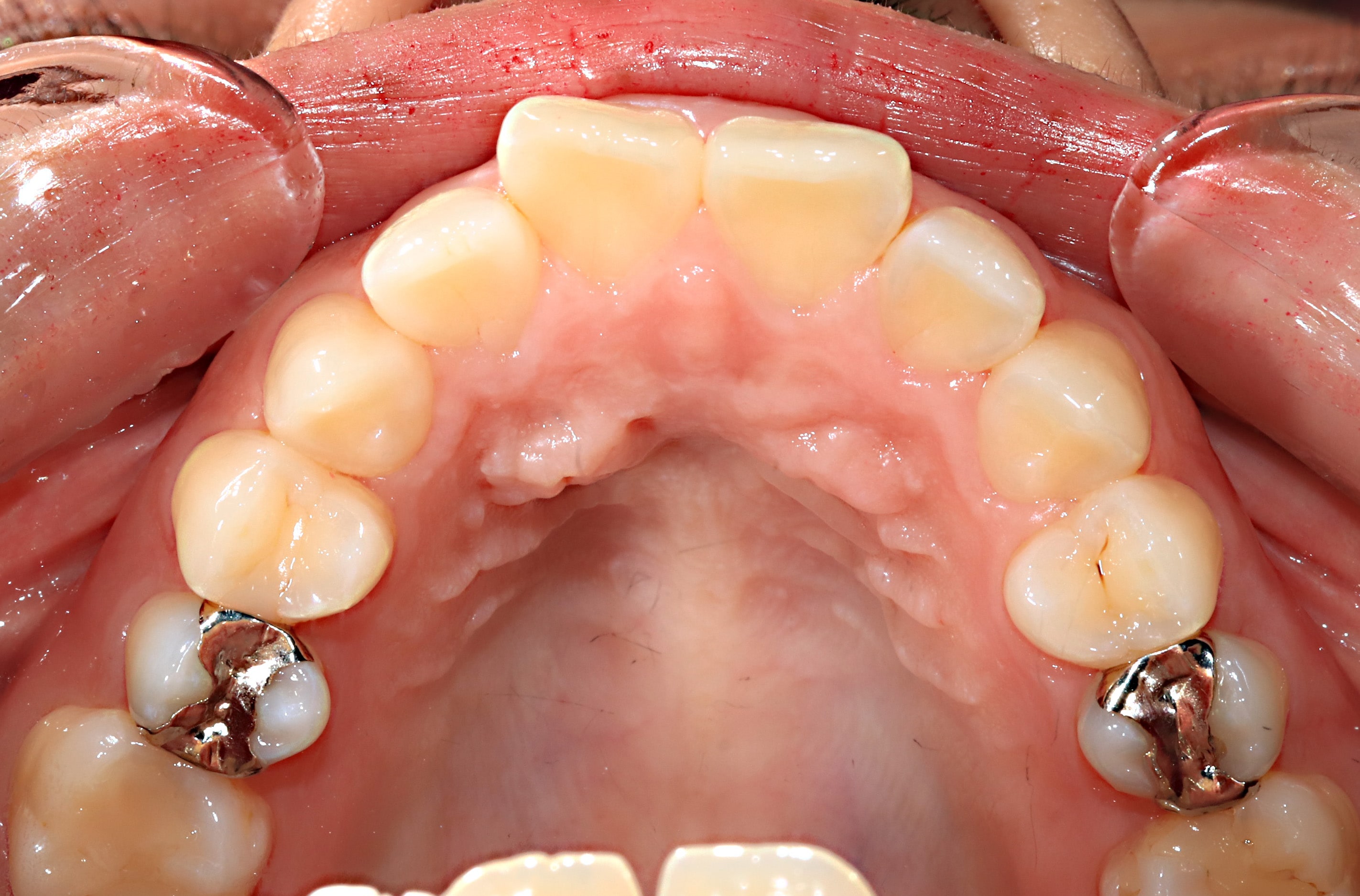
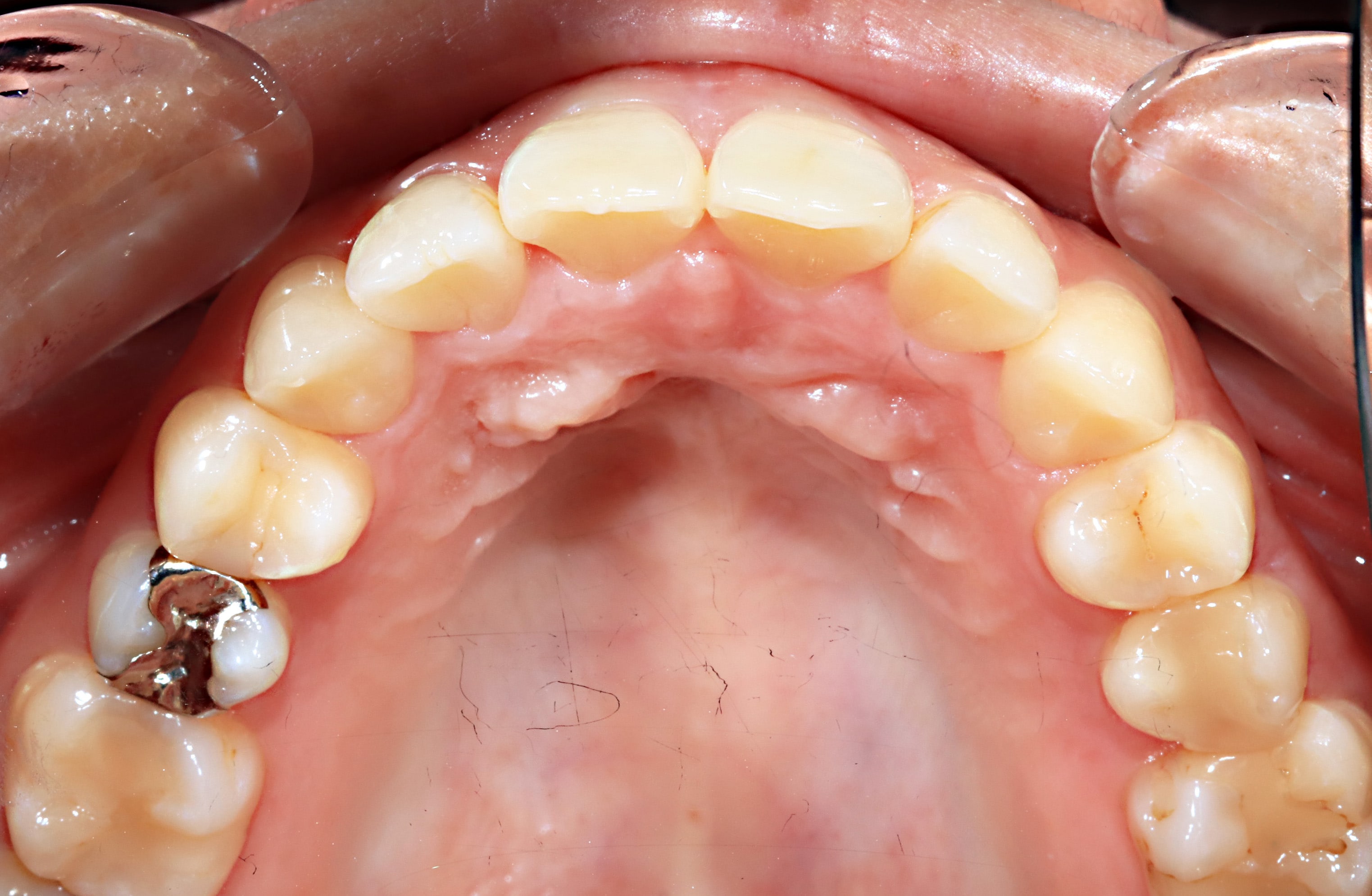
美容歯科 / マウスピース矯正 No.357360
強いがたつきも倉先生にお任せ!
美容歯科 / ダイヤモンドオーダーセラミック No.357358
【ダイヤモンドオーダーセラミック】昔の被せ物もセラミックで綺麗に大変身
美容歯科 / マウスピース矯正 No.357228
【マウスピース矯正】インビザラインGO
美容歯科 / マウスピース矯正 No.357225
【マウスピース矯正】インビザラインGO
美容歯科 / ダイヤモンドクラウン(ジルコニア) No.355297
☆湘南歯科クリニック大阪歯科心斎橋院☆セラミック矯正の症例です♪
美容歯科 / ダイヤモンドオーダーセラミック No.355159
☆湘南歯科クリニック大阪歯科心斎橋院☆セラミック矯正の症例です♪
美容歯科 / ダイヤモンドオーダーセラミック No.354358
☆湘南歯科クリニック大阪歯科心斎橋院☆セラミック矯正の症例です♪
美容歯科 / マウスピース矯正 No.354352
【美容歯科】☆湘南歯科クリニック大阪歯科心斎橋院☆マウスピース矯正の症例です♪
美容歯科 / マウスピース矯正 No.354312
【美容歯科】☆湘南歯科クリニック大阪歯科心斎橋院☆マウスピース矯正の症例です♪
美容歯科 / マウスピース矯正 No.353086
【美容歯科】☆湘南歯科クリニック大阪歯科心斎橋院☆マウスピース矯正の症例です♪
美容歯科 / マウスピース矯正 No.353081
☆湘南歯科クリニック大阪歯科心斎橋院☆マウスピース矯正の症例です♪
美容歯科 / ダイヤモンドオーダーセラミック 他 No.353052
☆湘南歯科クリニック大阪歯科心斎橋院☆セラミック矯正の症例です♪
美容歯科 / プレミアムダイヤモンドセラミック 他 No.352174
☆湘南歯科クリニック大阪歯科心斎橋院☆セラミック矯正の症例です♪
美容歯科 / マウスピース矯正 No.350296
【美容歯科】【美容歯科】☆湘南歯科クリニック大阪歯科心斎橋院☆マウスピース矯正の症例です♪
美容歯科 / マウスピース矯正 No.347983
【美容歯科】【美容歯科】☆湘南歯科クリニック大阪歯科心斎橋院☆マウスピース矯正の症例です♪
美容歯科 / マウスピース矯正 No.347982
【美容歯科】【美容歯科】☆湘南歯科クリニック大阪歯科心斎橋院☆マウスピース矯正の症例です♪
美容歯科 / セラミック 他 No.347403
【美容歯科】☆湘南歯科クリニック大阪歯科心斎橋院☆セラミック矯正の症例です♪










































