症例写真(竹澤瞬(歯科)、美容歯科)
症例写真一覧
表示件数:451件 / 346379件
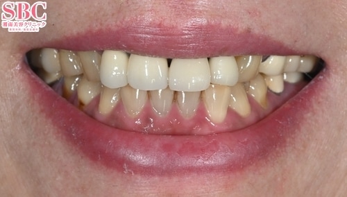
美容歯科 / ダイヤモンドオーダーセラミック 他 No.299722
輝く前歯にチェンジ★
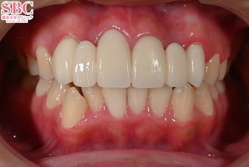
美容歯科 / ダイヤモンドオーダーセラミック 他 No.299721
輝く前歯にチェンジ★
美容歯科 / プレミアムダイヤモンドセラミック 他 No.294024
自然な白さ作れます★
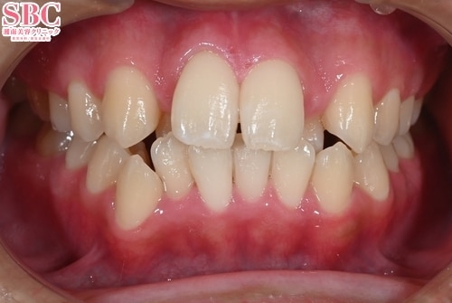
美容歯科 / マウスピース矯正 No.357915
前歯のねじれをマウスピース矯正で改善!
美容歯科 / マウスピース矯正 No.357885
部分矯正で前歯のガタつきを約半年で改善!
美容歯科 / マウスピース矯正 No.357521
前歯の歯並びをマウスピースの部分矯正で改善!
美容歯科 / ダイヤモンドオーダーセラミック No.356862
古い被せ物の色や形の修正お任せください!
美容歯科 / プレミアムダイヤモンドセラミック No.356786
古い被せ物のやり替えお任せください!!
美容歯科 / ダイヤモンドクラウン(ジルコニア) No.356785
前歯の歯並びをセラミックで改善!
美容歯科 / ダイヤモンドクラウン(ジルコニア) No.354002
前歯の突出感をセラミックで改善!
美容歯科 / ダイヤモンドオーダーセラミック No.354000
気になる歯の大きさや色味をセラミックで改善!
美容歯科 / ダイヤモンドオーダーセラミック No.353873
色味が気になる1本をピンポイントで改善!
美容歯科 / ダイヤモンドクラウン(ジルコニア) No.353871
前歯の突出感もセラミックで改善!
美容歯科 / ダイヤモンドクラウン(ジルコニア) No.353790
前歯の色味をセラミック治療で改善!!
美容歯科 / プレミアムダイヤモンドセラミック 他 No.353744
部分的に歯並びが気になる箇所もセラミック治療で改善!
美容歯科 / プレミアムダイヤモンドセラミック 他 No.353743
虫歯治療の痕もセラミック治療で美しく!
美容歯科 / ダイヤモンドクラウン(ジルコニア) No.352643
前歯の突出感や色味をセラミック治療で改善!
美容歯科 / プレミアムダイヤモンドセラミック No.352642
全体的な歯並びや色味をセラミックで改善!
美容歯科 / ダイヤモンドオーダーセラミック No.352641
前歯のガタつきをセラミックで部分的に改善!
美容歯科 / プレミアムダイヤモンドセラミック No.352598
古い被せ物も美しい前歯に改善!!










































