症例写真(北川哲太郎(歯科))
症例写真一覧
表示件数:1588件 / 352064件
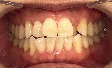
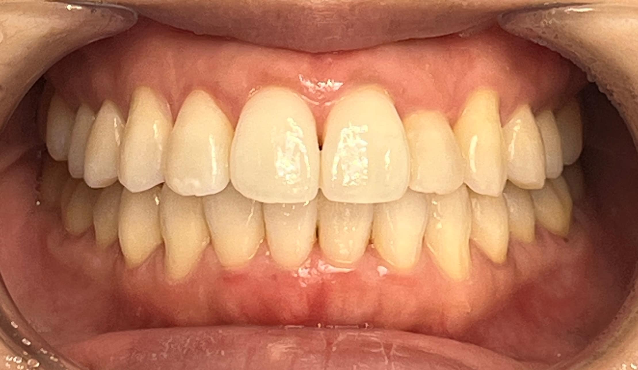
美容歯科 / ラミネートべニア No.341720
前歯上2.2の矮小歯を削らずに改善!
美容歯科 / マウスピース矯正 他 No.339697
40代女性 前歯の突出感をマウスピース矯正で解消!
美容歯科 / マウスピース矯正 他 No.339636
40代女性 前歯の突出感をマウスピース矯正で解消!
美容歯科 / マウスピース矯正 他 No.339421
40代女性 前歯の突出感をマウスピース矯正で解消!
美容歯科 / マウスピース矯正 No.363357
オープンバイト(開咬)をマウスピース矯正で改善!インビザラインモデレート
美容歯科 / 削らないラミネートべニア(削らないセラミック) No.362848
貼るセラミックでほとんど削らない!虫歯治療の変色を改善
美容歯科 / マウスピース矯正 No.360990
大人の矯正、始める人増えています!インビザラインモデレート(全体矯正)
美容歯科 / マウスピース矯正 No.359388
コンプレックスだった歯並びをたった8ヶ月で改善!インビザラインGo (部分矯正)
美容歯科 / 削らないラミネートべニア(削らないセラミック) 他 No.358560
歯をほどんど削らずにお悩みを改善!ダイヤモンドベニア
美容歯科 / プレミアムダイヤモンドセラミック 他 No.357683
気になっていた前歯の並びと色を改善!プレミアムダイヤモンドセラミック
美容歯科 / プレミアムダイヤモンドセラミック No.356107
差し歯のやり替えで綺麗な前歯に!プレミアムダイヤモンドセラミック
美容歯科 / プレミアムダイヤモンドセラミック No.354685
ガタつきも改善できるセラミック!プレミアムダイヤモンドセラミック
美容歯科 / プレミアムダイヤモンドセラミック No.354576
ガタつきも改善できるセラミック!プレミアムダイヤモンドセラミック
美容歯科 / マウスピース矯正 他 No.354462
セラミックとマウスピース矯正で歯のお悩み解決!
美容歯科 / ダイヤモンドクラウン(ジルコニア) No.354253
セラミック矯正で歯並びも色も改善!ダイヤモンドクラウン
美容歯科 / ダイヤモンドクラウン(ジルコニア) No.354028
セラミック矯正で歯並びも色も改善!ダイヤモンドクラウン
美容歯科 / ダイヤモンドクラウン(ジルコニア) No.353914
セラミック矯正で歯並びも色も改善!ダイヤモンドクラウン
美容歯科 / ダイヤモンドクラウン(ジルコニア) No.353906
セラミック矯正で歯並びも色も改善!ダイヤモンドクラウン
美容歯科 / マウスピース矯正 No.353877
上下のがたつきを部分矯正で解決!インビザラインGO
美容歯科 / マウスピース矯正 No.353791
上下のがたつきを部分矯正で解決!インビザラインGO










































