症例写真(竹内直生)
症例写真一覧
表示件数:657件 / 352455件
若返り / ナチュラル脂肪注射コンデンスリッチ No.357390
【脂肪注入】美容外科医歴27年ベテランDr.竹内の施術で丸みのある額に!【イテウォン 若返り】
若返り / No.357387
【脂肪吸引注射+糸リフト】美容外科医歴27年ベテランDr.竹内の施術で理想のフェイスライン【イテウォン 小顔】
脂肪吸引 / 根こそぎVASER脂肪吸引 No.311453
【20代女性】お腹痩せ!【根こそぎVASER脂肪吸引(術後のダウンタイム(腫れ・痛み)が少なく安全なのが特徴)】美容外科医歴25年目ベテランドクター竹内医師による最高レベルの脂肪吸引術!
脂肪吸引 / Aquicell(アキーセル)脂肪吸引 No.303799
【40代女性】★40代から作るウエストのくびれ★ 脂肪吸引ならベテランDr.竹内!美容外科医歴25年目の実績と経験に基づくハイクオリティーな「アキーセル脂肪吸引(お腹スッキリセット+肋骨上)」術前→術後3ヶ月
脂肪吸引 / Aquicell(アキーセル)脂肪吸引 No.311111
脂肪吸引ならベテランDr.竹内!美容外科医歴25年目の実績と経験に基づくハイクオリティーな【アキーセル脂肪吸引(お腹スッキリセット)】【20代女性】術前→術後6ヶ月
脂肪吸引 / Aquicell(アキーセル)脂肪吸引 他 No.299672
【30代前半女性】"美ボディの匠 Dr.竹内が叶える理想のボディ” 数多くの実績と経験をほこる美容外科医歴24年目SBCきっての大ベテランドクターによる最高レベルの脂肪吸引術![アキーセル脂肪吸引(ベイザー併用)で叶う腕痩せ]
脂肪吸引 / 小顔用脂肪吸引注射 No.303085
【30代女性】☆二重あごスッキリ☆ 切らない脂肪吸引【脂肪吸引注射】+【糸リフト】で綺麗なフェイスラインを!
豊胸・バストの修正 / Aquicell(アキーセル)併用コンデンスリッチ(脂肪注入豊胸) No.301526
【40代女性】抜群の定着率!いらない脂肪を胸へ移動!美容外科医歴25年目ベテランドクター竹内医師による最高レベルの脂肪注入豊胸術【コンデンスリッチ脂肪注入豊胸】
脂肪吸引 / No.270716
【脂肪吸引】アキーセル脂肪吸引(二の腕+肩+肩甲骨横)両腕 九州で手術をお考えなら、美容外科医歴21年の私にお任せください。
脂肪吸引 / Aquicell(アキーセル)脂肪吸引 No.273106
【脂肪吸引】アキーセル脂肪吸引(大腿+臀部+膝)横 九州で手術をお考えなら、美容外科医歴22年の私にお任せください。
若返り / 小顔若返りリフト No.270718
小顔若返りリフト(1ヶ月後) 小顔若返りリフト3年連続!SBC症例数全国No.1! 九州で手術をお考えなら、美容外科医歴21年の私にお任せください。
若返り / ナチュラル脂肪注射コンデンスリッチ 他 No.256566
【若返り】目の下の切らないたるみ取り+コンデンスリッチフェイス法(1ヶ月後) 九州で手術をお考えなら、美容外科医歴21年の私にお任せください。
脂肪吸引 / ライポマティック脂肪吸引 No.253915
【脂肪吸引】ライポマティック脂肪吸引(大腿+臀部+膝)九州で手術をお考えなら、美容外科医歴21年の私にお任せください。
若返り / ナチュラル脂肪注射コンデンスリッチ 他 No.256564
【若返り】目の下の切らないたるみ取り+コンデンスリッチフェイス法(1ヶ月後) 九州で手術をお考えなら、美容外科医歴21年の私にお任せください。
若返り / 小顔若返りリフト No.199990
小顔若返りリフト(1ヶ月後) 小顔若返りリフト3年連続!症例数全国No.1! 九州で手術をお考えなら、美容外科医歴20年の私にお任せください。
脂肪吸引 / 脂肪吸引注射(ボディ) No.357391
【脂肪吸引注射】美容外科医歴27年ベテランDr.竹内の施術で部分痩せ!【イテウォン ボディ】
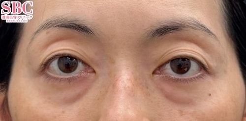
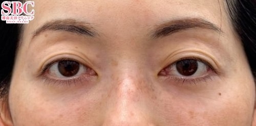
若返り / 目の下の切らないクマ・たるみ(ふくらみ)取り 他 No.357388
【クマ取り+脂肪注入】美容外科医歴27年ベテランDr.竹内の施術でクマ撃退!【イテウォン クマ取り】
脂肪吸引 / 小顔用脂肪吸引注射 No.344728
【脂肪吸引注射+糸リフト】美容外科医歴27年目ベテランDr.竹内の施術で理想のフェイスライン【イテウォン 小顔】
脂肪吸引 / 脂肪吸引注射(ボディ) No.344723
【脂肪吸引注射】SBC内症例数 九州・沖縄エリア No.1(2024年上半期・下半期)【ダウンタイム最小限】
脂肪吸引 / Aquicell(アキーセル)脂肪吸引 No.315267
【20代女性】☆太もも+臀部+膝☆ 脂肪吸引ならベテランDr.竹内!美容外科医歴26年目の実績と経験に基づくハイクオリティーなアキーセル脂肪吸引術!










































