症例写真(岩砂里美)
症例写真一覧
表示件数:1157件 / 348460件
豊胸・バストの修正 / 乳頭縮小術 No.360308
【豊胸・バストの修正】乳輪からはみ出てしまった乳頭を改善★外科医歴20年以上のベテラン医師執刀!2024年SBC内全国症例数No.1!【乳頭縮小術・乳管温存法】【術後1ヶ月】
若返り / 目の下の切らないクマ・たるみ(ふくらみ)取り No.359953
★外科医歴20年以上★【岩砂医師の大人気クマ取り!】安心の技術力で目元の若返り!【20代女性クマ取り(脂肪注入なし)】【術後1ヶ月】
豊胸・バストの修正 / 乳頭縮小術 No.359628
★術後も授乳可能★乳頭の形をキレイに整える♪外科医歴20年以上のベテラン医師執刀!【乳頭縮小術・乳管温存法】【術後1ヶ月】
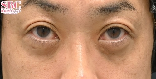
若返り / 目の下の切らないクマ・たるみ(ふくらみ)取り 他 No.358777
★外科医歴20年以上★【クマ取り】安心の技術力で目元の若返り!【脂肪注入なし】【術後1ヶ月】
婦人科形成 / 乳頭縮小術 No.358423
婦人科形成】【豊胸・バストの修正】【豊胸・バストの修正】★術後も授乳可能★乳頭の形をキレイに整える♪外科医歴20年以上のベテラン医師執刀!【乳頭縮小術・乳管温存法】【術後1ヶ月】
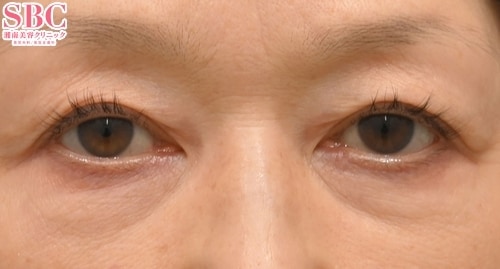
若返り / 目の下の切らないクマ・たるみ(ふくらみ)取り No.358214
★外科医歴20年以上★【岩砂医師の大人気クマ取り!】安心の技術力で目元の若返り!【男性クマ取り(脂肪注入なし)】【術後1ヶ月】
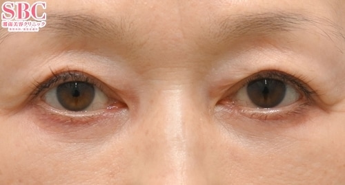
若返り / 目の下の切らないクマ・たるみ(ふくらみ)取り 他 No.357585
【若返り】★外科医歴20年以上★【岩砂医師の大人気クマ取り!】安心の技術力で目元の若返り!【クマ取り×脂肪注入】【術後1ヶ月】
豊胸・バストの修正 / 乳頭縮小術 No.357217
乳輪からはみ出てしまった乳頭を改善★外科医歴20年以上のベテラン医師執刀!2023年顧客満足度★5獲得♪【乳頭縮小術・乳管温存法】【術後3ヶ月】
若返り / 目の下の切らないクマ・たるみ(ふくらみ)取り 他 No.356981
【若返り】★外科医歴20年以上★【岩砂医師の大人気クマ取り!】安心の技術力で目元の若返り!【クマ取り×脂肪注入】【術後3ヶ月】
豊胸・バストの修正 / 乳頭縮小術 No.356481
★術後も授乳可能★乳頭の形をキレイに整える♪外科医歴20年以上のベテラン医師執刀!【乳頭縮小術・乳管温存法】【術後1週間】
豊胸・バストの修正 / 乳頭縮小術 No.355891
【男性の乳頭縮小術】乳首の大きさ・改善★外科医歴20年以上のベテラン医師執刀!2023年顧客満足度★5獲得♪【乳頭縮小術】【術後1ヶ月】
若返り / 目の下の切らないクマ・たるみ(ふくらみ)取り No.355757
【若返り】★外科医歴20年以上★【クマ取り】安心の技術力で目元の若返り!【脂肪注入なし】【術後1ヶ月】
婦人科形成 / 乳頭縮小術 No.354651
【豊胸・バストの修正】【豊胸・バストの修正】★術後も授乳可能★乳頭の形をキレイに整える♪外科医歴20年以上のベテラン医師執刀!【乳頭縮小術・乳管温存法】【術後1ヶ月】
若返り / 目の下の切らないクマ・たるみ(ふくらみ)取り No.354449
【若返り】★外科医歴20年以上★【クマ取り】安心の技術力で目元の若返り!】【術後1ヶ月】
豊胸・バストの修正 / 乳頭縮小術 No.354446
★術後も授乳可能★乳頭の形をキレイに整える♪外科医歴20年以上のベテラン医師執刀!【乳頭縮小術・乳管温存法】【術後1ヶ月】
若返り / 目の下の切らないクマ・たるみ(ふくらみ)取り No.353231
【若返り】★外科医歴20年以上★【医師のクマ取り】安心の技術力で目元の若返り!【術後1ヶ月】
豊胸・バストの修正 / 乳頭縮小術 No.353232
【豊胸・バストの修正】★術後も授乳可能★乳頭の形をキレイに整える♪外科医歴20年以上のベテラン医師執刀!【乳頭縮小術・乳管温存法】【術後1ヶ月】
豊胸・バストの修正 / 乳頭縮小術 No.353233
【豊胸・バストの修正】★術後も授乳可能★乳頭の形をキレイに整える♪外科医歴20年以上のベテラン医師執刀!【乳頭縮小術・乳管温存法】【術後1ヶ月】
豊胸・バストの修正 / 乳頭縮小術 No.351850
【豊胸・バストの修正】★術後も授乳可能★乳頭の形をキレイに整える♪外科医歴20年以上のベテラン医師執刀!【乳頭縮小術・乳管温存法】【術後1ヶ月】
若返り / 目の下の切らないクマ・たるみ(ふくらみ)取り 他 No.351838
【若返り】★外科医歴20年以上★【クマ取り+脂肪注入】安心の技術力で目元の若返り!【ナノリッチ】【術後1ヶ月】







































