症例写真(吉田公人)
症例写真一覧
表示件数:686件 / 347143件
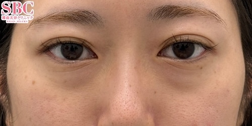
若返り / 目の下の切らないクマ・たるみ(ふくらみ)取り 他 No.313552
目の下の切らないたるみ取り&ナノリッチ・コンデンスリッチフェイスでクマを改善★★
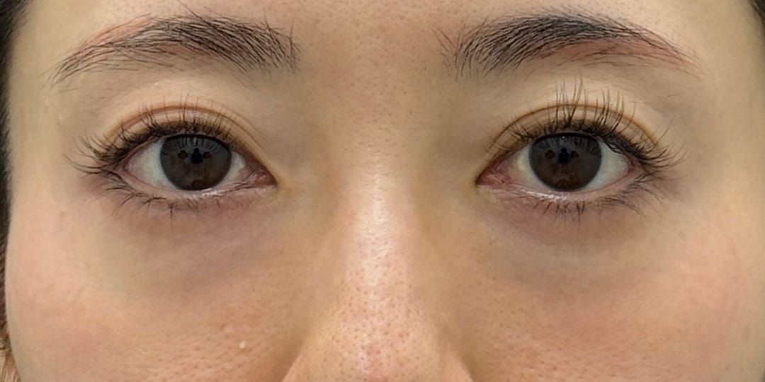
若返り / 目の下の切らないクマ・たるみ(ふくらみ)取り 他 No.315919
目の下の切らないたるみ取り&ナノリッチ・コンデンスリッチフェイスでクマを改善★★
若返り / 目の下の切らないクマ・たるみ(ふくらみ)取り 他 No.317141
目の下の切らないたるみ取り&ナノリッチ・コンデンスリッチフェイスでクマを改善★★
若返り / 目の下の切らないクマ・たるみ(ふくらみ)取り 他 No.301326
目の下の切らないたるみ取り&ナノリッチ・コンデンスリッチフェイスでクマを改善★★
若返り / 裏ハムラ法 No.359168
大阪のクマ取り職人!【クマ取り症例数6年連続関西No.1!(SBC内2019~2024年)】目の下のたるみ・クマを切らずに改善!20代女性 裏ハムラ法 大阪なんば院吉田公人
若返り / 目の下の切らないクマ・たるみ(ふくらみ)取り 他 No.357939
大阪のクマ取り職人!【クマ取り症例数6年連続関西No.1!(SBC内2019~2024年)】目の下のたるみ・クマを切らずに改善!40代女性 クマ取りx脂肪注入 大阪なんば院吉田公人
若返り / 目の下の切らないクマ・たるみ(ふくらみ)取り 他 No.356886
大阪のクマ取り職人!【クマ取り症例数6年連続関西No.1!(SBC内2019~2024年)】目の下のたるみ・クマを切らずに改善!30代女性 クマ取りx脂肪注入 大阪なんば院吉田公人
若返り / 目の下の切らないクマ・たるみ(ふくらみ)取り 他 No.355660
大阪のクマ取り職人!【クマ取り症例数6年連続関西No.1!(SBC内2019~2024年)】目の下のたるみ・クマを切らずに改善!30代男性 クマ取りx脂肪注入 大阪なんば院吉田公人
若返り / 目の下の切らないクマ・たるみ(ふくらみ)取り 他 No.354152
大阪のクマ取り職人!【クマ取り症例数6年連続関西No.1!(SBC内2019~2024年)】目の下のたるみ・クマを切らずに改善!20代女性 クマ取りx脂肪注入 大阪なんば院吉田公人
若返り / 裏ハムラ法 他 No.352989
大阪のクマ取り職人!【クマ取り症例数6年連続関西No.1!(SBC内2019~2024年)】目の下のたるみ・クマを切らずに改善!30代女性 裏ハムラ法 大阪なんば院吉田公人
若返り / 裏ハムラ法 他 No.351671
大阪のクマ取り職人!【クマ取り症例数6年連続関西No.1!(SBC内2019~2024年)】目の下のたるみ・クマを切らずに改善!40代女性 裏ハムラ法 大阪なんば院吉田公人
若返り / 裏ハムラ法 No.350293
大阪のクマ取り職人!【クマ取り症例数6年連続関西No.1!(SBC内2019~2024年)】目の下のたるみ・クマを切らずに改善!30代女性 裏ハムラ法 大阪なんば院吉田公人
若返り / 裏ハムラ法 No.348831
大阪のクマ取り職人!【クマ取り症例数6年連続関西No.1!(SBC内2019~2024年)】目の下のたるみ・クマを切らずに改善!30代男性 裏ハムラ法 大阪なんば院吉田公人
若返り / 裏ハムラ法 他 No.347546
大阪のクマ取り職人!【クマ取り症例数6年連続関西No.1!(SBC内2019~2024年)】目の下のたるみ・クマを切らずに改善!40代女性 裏ハムラ法 大阪なんば院吉田公人
若返り / 目の下の切らないクマ・たるみ(ふくらみ)取り 他 No.345780
大阪のクマ取り職人!【クマ取り症例数6年連続関西No.1!(SBC内2019~24年)】自然に顔全体の若返りを叶える!40歳女性 クマ取りx全顔脂肪注入 大阪なんば院吉田公人
若返り / 裏ハムラ法 No.344400
大阪のクマ取り職人!【クマ取り症例数関西No.1!(SBC内2019~2024年下期)】目の下のたるみ・クマを切らずに改善!39歳女性 裏ハムラ法 大阪なんば院吉田公人
若返り / 目の下の切らないクマ・たるみ(ふくらみ)取り 他 No.342557
大阪のクマ取り職人!【クマ取り症例数関西No.1!(SBC内2024年上期)】目の下のたるみ・クマを改善!24歳女性 クマ取りx脂肪注入 大阪なんば院吉田公人
若返り / 目の下の切らないクマ・たるみ(ふくらみ)取り 他 No.341056
大阪のクマ取り職人!【クマ取り症例数関西No.1!(SBC内2024年上期)】目の下のたるみ・クマを改善!43歳女性 クマ取りx脂肪注入 大阪なんば院吉田公人
若返り / 目の下の切らないクマ・たるみ(ふくらみ)取り 他 No.338227
大阪のクマ取り職人!【クマ取り症例数関西No.1!(SBC内2024年上期)】目の下のたるみ・クマを改善!39歳女性 クマ取りx脂肪注入 大阪なんば院吉田公人
若返り / 目の下の切らないクマ・たるみ(ふくらみ)取り 他 No.338226
大阪のクマ取り職人!【クマ取り症例数関西No.1!(SBC内2024年上期)】目の下のたるみ・クマを改善!31歳女性 クマ取りx脂肪注入 大阪なんば院吉田公人










































