症例写真(前田純(歯科))
症例写真一覧
表示件数:7879件 / 349026件
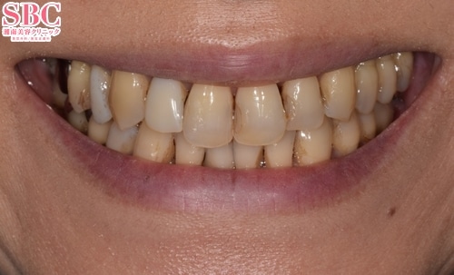
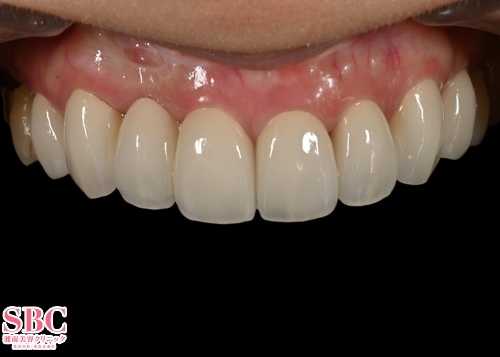
美容歯科 / 湘南セラミック 他 No.274221
上下12本♪プレミアムダイヤモンドセラミック!
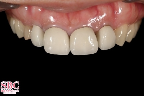
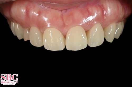
美容歯科 / プレミアムダイヤモンドセラミック 他 No.274204
上下12本♪プレミアムダイヤモンドセラミック!
美容歯科 / プレミアムダイヤモンドセラミック 他 No.270568
前歯の歯並び、色、形もセラミック治療でここまで美しく♪ 4本のダイヤモンドセラミック!
美容歯科 / ホワイトニング 他 No.270486
前歯の歯並び、色、形もセラミック治療でここまで美しく♪ 6本のダイヤモンドセラミック!
美容歯科 / ホワイトニング 他 No.262447
前歯の歯並び、色、形もセラミック治療でここまで美しく♪ 6本のダイヤモンドセラミック!
美容歯科 / ホワイトニング 他 No.262525
隙間の空いた歯並びもセラミック治療でしっかり改善♪
美容歯科 / ホワイトニング 他 No.262533
隙間の空いた歯並びもセラミック治療でしっかり改善♪
美容歯科 / プレミアムダイヤモンドセラミック 他 No.259266
24本セラミック治療でここまで自然に美しく♪ プレミアムダイヤモンドセラミック!
美容歯科 / プレミアムダイヤモンドセラミック 他 No.259269
24本セラミック治療でここまで自然に美しく♪ プレミアムダイヤモンドセラミック!
美容歯科 / プレミアムダイヤモンドセラミック 他 No.259258
24本セラミック治療でここまで自然に美しく♪ プレミアムダイヤモンドセラミック!
美容歯科 / ダイヤモンドオーダーセラミック No.361236
【歯科統括院長 前田純】上8本ダイヤモンドオーダーセラミック
美容歯科 / ダイヤモンドオーダーセラミック No.361235
【歯科統括院長 前田純】上8本ダイヤモンドオーダーセラミック
美容歯科 / ダイヤモンドオーダーセラミック No.361234
【歯科統括院長 前田純】上8本ダイヤモンドオーダーセラミック
美容歯科 / ダイヤモンドクラウン(ジルコニア) No.360892
【歯科統括院長 前田純】上4本ダイヤモンドクラウン(ジルコニア)
美容歯科 / ダイヤモンドクラウン(ジルコニア) No.360891
【歯科統括院長 前田純】上4本ダイヤモンドクラウン(ジルコニア)
美容歯科 / ダイヤモンドクラウン(ジルコニア) No.360890
【歯科統括院長 前田純】上4本ダイヤモンドクラウン(ジルコニア)
美容歯科 / プレミアムダイヤモンドセラミック No.360768
【歯科統括院長 前田純】上4本プレミアムダイヤモンドセラミック
美容歯科 / プレミアムダイヤモンドセラミック No.360767
【歯科統括院長 前田純】上4本プレミアムダイヤモンドセラミック
美容歯科 / プレミアムダイヤモンドセラミック No.360764
【歯科統括院長 前田純】上4本プレミアムダイヤモンドセラミック
美容歯科 / プレミアムダイヤモンドセラミック No.360580
【歯科統括院長 前田純】上下12本プレミアムダイヤモンドセラミック










































