症例写真(山下昭悟)
症例写真一覧
表示件数:159件 / 349558件
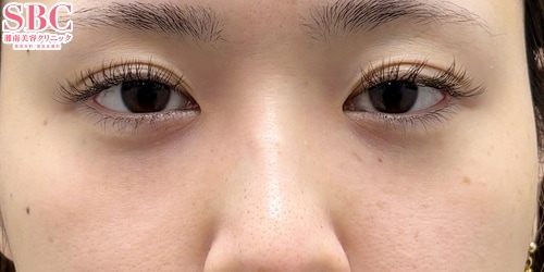
若返り / 裏ハムラ法 No.357937
【裏ハムラ法】【30代】自然に若見えするクマ取りが人気!神奈川県で選ばれる山下医師★SBC公式お薦めドクターに選出されました
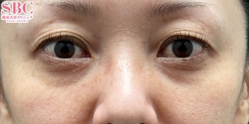
若返り / 裏ハムラ法 他 No.347827
【裏ハムラ法/PRP】【40代】神奈川県でクマ取り治療なら山下医師へ★SBC公式お薦めドクター選出!
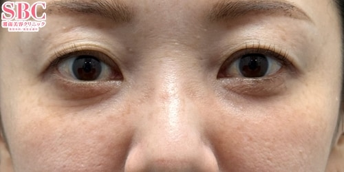
若返り / 裏ハムラ法 他 No.347870
【裏ハムラ法/PRP】【40代】神奈川県でクマ取り治療なら山下医師へ★SBC公式お薦めドクター選出!
二重・二重整形 / クイックコスメティーク・トリプルNeo No.343545
埋没法二重術【バレにくい/取れにくい】クイックコスメティークシリーズの最高峰:トリプルNeo
二重・二重整形 / クイックコスメティーク・トリプルNeo 他 No.343537
埋没法二重術+まぶたの脂肪取り【取れにくい/バレにくい】クイックコスメティークシリーズの最高峰:トリプルNeo+自然癒着セットで重たいまぶたも目力UP
二重・二重整形 / クイックコスメティーク・トリプルNeo No.343525
埋没法二重術【取れにくい/バレにくい】クイックコスメティークシリーズの最高峰:トリプルNeoで自然に目力UP
二重・二重整形 / クイックコスメティーク・ダブルNeo No.327340
【クイックコスメティーク法】【20代女性】メイクが映える印象的なお目元へ
二重・二重整形 / クイックコスメティーク・ダブルNeo No.319865
【クイックコスメティーク法】奥二重から幅広の平行二重に★ラインの調整、幅変更も埋没法で解決!
二重・二重整形 / クイックコスメティーク・ダブルNeo No.324324
【クイックコスメティーク法】【10代女性】目元の垢抜けなら藤沢院で★
若返り / 切開ハムラ(表ハムラ)法 他 No.319318
【眉下切開 / 切開ハムラ法】皮膚のたるみが大きい方も切開施術で改善!多くの術式を網羅した山下医師にご相談ください!【藤沢院】
若返り / 裏ハムラ法 No.317404
【クマ取り/裏ハムラ法】▲▽クマ取りバスター 山下院長のクマ治療△▼ 脂肪をどんなクマもお任せください!お得に施術が受けられるモニター様も大募集中です★
脂肪吸引 / 根こそぎVASER脂肪吸引 No.361052
すらっと細く、ラインの美しさが際立つ脚に☆山下医師のベイザー脂肪吸引(太もも)
若返り / 裏ハムラ法 No.361047
違和感のない仕上がりに感動|【神奈川】目元の若返り治療ならDr.山下☆SBC公式お薦めドクターに選出されました
若返り / 裏ハムラ法 No.361042
「疲れて見える」を解消|脂肪移動で叶える自然な目元若返りならDr.山下☆SBC公式お薦めドクターに選出されました
二重・二重整形 / クイックコスメティーク・トリプルNeo No.361016
SNSからの指名多数!黄金比に基づくDr.山下の埋没法二重術☆ [クイックコスメティーク・トリプルNeo]
二重・二重整形 / クイックコスメティーク・トリプルNeo No.361015
かわいいのアップデート♪骨格に合わせた自然な二重なら、Dr.山下にお任せください![クイックコスメティーク・トリプルNeo]
若返り / 裏ハムラ法 No.357935
【裏ハムラ法】【40代】幅広い年代の症例実績あり!40代の深いクマも自然にボリューム改善★SBC公式お薦めドクターに選出されました
若返り / 裏ハムラ法 No.357934
【裏ハムラ法】【40代】“仕上がりの美しさ”で選ばれるクマ治療!神奈川県 山下医師 ★SBC公式お薦めドクターに選出されました
二重・二重整形 / クイックコスメティーク・トリプルNeo No.357448
変幻自在で可愛く盛れる♪ トリプルNeoで叶える圧巻の二重デザイン[クイックコスメティーク・トリプルNeo]
二重・二重整形 / クイックコスメティーク・トリプルNeo No.357444
【埋没法二重術】毎日メイクが楽しい!「こんな二重になりたかった」を叶えるDr.山下の繊細テクニック☆[クイックコスメティーク・トリプルNeo]










































