症例写真(青柳萌花)
症例写真一覧
表示件数:563件 / 348653件
若返り / VOV(ボブ)リフト 他 No.360943
【若返りMuse】もえか先生の若返り術|お客様一人ひとりに合わせたパーソナルプランで自然な若返り
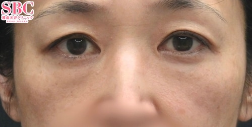
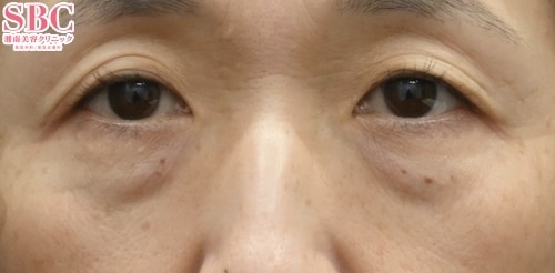
若返り / 目の下の切らないクマ・たるみ(ふくらみ)取り 他 No.360909
【若返りMuse】もえか先生の若返り術|お客様一人ひとりに合わせたパーソナルプランで自然な若返り?
若返り / 目の下の切らないクマ・たるみ(ふくらみ)取り 他 No.360841
【若返りmuse】二子玉川院院長の青柳萌花による目の下の切らないクマたるみ取り★若々しい目元に!
若返り / プリマリフト 他 No.344361
【パーソナルリフトでリフトアップ!】二子玉川院院長の青柳萌花による輪郭矯正★リフトアップの女神降臨!
若返り / 目の下の切らないクマ・たるみ(ふくらみ)取り 他 No.344335
【クマ取りmuse】二子玉川院院長の青柳萌花による目の下の切らないクマたるみ取り★若々しい目元に!
若返り / シークレットリフト 他 No.344254
【パーソナルリフトでリフトアップ!】二子玉川院院長の青柳萌花による輪郭矯正★リフトアップの女神降臨!
若返り / 目の下の切らないクマ・たるみ(ふくらみ)取り 他 No.342639
【若返り】【クマ取りmuse】二子玉川院院長の青柳萌花による目の下の切らないクマたるみ取り★若々しい目元に!
若返り / VOV(ボブ)リフト No.341341
【パーソナルリフトでリフトアップ!】二子玉川院院長の青柳萌花による輪郭矯正★リフトアップの女神降臨!
若返り / 目の下の切らないクマ・たるみ(ふくらみ)取り 他 No.341235
【若返り】【クマ取りmuse】二子玉川院院長の青柳萌花による目の下の切らないクマたるみ取り★若々しい目元に!
若返り / VOV(ボブ)リフト 他 No.341185
【パーソナルリフトでリフトアップ!】二子玉川院院長の青柳萌花による輪郭矯正★リフトアップの女神降臨!
若返り / VOV(ボブ)リフト 他 No.339713
【プリンセスラインでリフトアップ!】二子玉川院院長の青柳萌花による輪郭矯正★リフトアップの女神降臨!
若返り / 目の下の切らないクマ・たるみ(ふくらみ)取り 他 No.339641
【若返り】【クマ取りmuse】二子玉川院院長の青柳萌花による目の下の切らないクマたるみ取り★若々しい目元に!
若返り / プリマリフト No.338192
【プリンセスラインでリフトアップ!】二子玉川院院長の青柳萌花による輪郭矯正★リフトアップの女神降臨!
若返り / 目の下の切らないクマ・たるみ(ふくらみ)取り 他 No.338154
【若返り】【クマ取りmuse】二子玉川院院長の青柳萌花による目の下の切らないクマたるみ取り★若々しい目元に!
若返り / 目の下の切らないクマ・たるみ(ふくらみ)取り 他 No.336698
【クマ取りmuse】二子玉川院院長の青柳萌花による目の下の切らないクマたるみ取り★若々しい目元に!
若返り / 目の下の切らないクマ・たるみ(ふくらみ)取り 他 No.336641
【若返り】【クマ取りmuse】二子玉川院院長の青柳萌花による目の下の切らないクマたるみ取り★若々しい目元に!
若返り / 目の下の切らないクマ・たるみ(ふくらみ)取り 他 No.336608
【若返り】【クマ取りmuse】二子玉川院院長の青柳萌花による目の下の切らないクマたるみ取り★若々しい目元に!
若返り / 切開ハムラ(表ハムラ)法 他 No.335141
【クマ取りmuse】二子玉川院院長の青柳萌花による切開ハムラ★若々しい目元に!
若返り / シークレットリフト 他 No.335087
【プリンセスラインでリフトアップ!】二子玉川院院長の青柳萌花による輪郭矯正★リフトアップの女神降臨!
若返り / 目の下の切らないクマ・たるみ(ふくらみ)取り 他 No.335045
【クマ取りmuse】二子玉川院院長の青柳萌花による目の下の切らないクマたるみ取り★若々しい目元に!










































