症例写真(森澤雄己)
症例写真一覧
表示件数:155件 / 348957件
脂肪吸引 / 美ボディ脂肪吸引 他 No.352903
【調布院】【他院修正】美ボディ脂肪吸引+バッカルファット除去で憧れのフェイスラインに
若返り / 裏ハムラ法 他 No.354389
【調布院】裏ハムラ×ナノリッチで目の下のクマをきれいにします
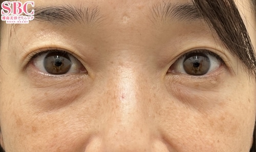
若返り / 裏ハムラ法 No.347594
【調布院】目の下のたるみ・くまとり 裏ハムラで疲れ顔卒業
若返り / 裏ハムラ法 No.338386
【調布院】目の下のクマ治療 裏ハムラで10歳若返り
若返り / 目の下の切らないクマ・たるみ(ふくらみ)取り 他 No.324183
【全顔モニター】目の下の切らないクマ・たるみ取り+コンデンスリッチ(額・こめかみ・目の下・ゴルゴ・頬)+ナノリッチ(目の下)
二重・二重整形 / クイックコスメティーク・ダブルNeo No.326726
【調布院】埋没法+デカ目術でぱっちりMix二重に
脂肪吸引 / 根こそぎVASER脂肪吸引 No.326348
【調布院】ベイザー脂肪吸引でなかなか落ちない二の腕のお肉をスッキリ
二重・二重整形 / クイックコスメティーク・ダブルNeo No.325283
【調布院】切らないまぶたのリフトアップ クイックコスメティークダブルneo+デカ目術
二重・二重整形 / クイックコスメティーク・ダブルNeo No.324123
【二重・二重整形】
脂肪吸引 / 根こそぎVASER脂肪吸引 No.324121
【脂肪吸引】根こそぎベイザー脂肪吸引 頬+アゴ
若返り / 目の下の切らないクマ・たるみ(ふくらみ)取り 他 No.315255
目の下の切らないクマ・たるみ取り+ナノリッチ【クマ治療をするならDr.森澤にお任せ】
若返り / ナチュラル脂肪注射コンデンスリッチ 他 No.300473
目の下の切らないクマ取り+コンデンスリッチ脂肪注入【1ヶ月後】
二重・二重整形 / フォーエバー二重術(R) No.300222
フォーエバー二重術【1ヶ月後】
脂肪吸引 / 美ボディ脂肪吸引 No.301227
美ボディ脂肪吸引【二の腕+肩】
二重・二重整形 / クイックコスメティーク・ダブルNeo No.361333
【調布院】まぶたのたるみで重たい目元でもぱっちり二重に
若返り / 切開ハムラ(表ハムラ)法 No.361318
【調布院】切開ハムラで目元をしっかりと若返らせます
若返り / 裏ハムラ法 No.361308
【調布院】裏ハムラでダウンタイム最小限で目の下のクマがすっきり
若返り / 裏ハムラ法 No.361292
【調布院】裏ハムラでダウンタイム最小限で目の下のクマがすっきり
若返り / 目の下の切らないクマ・たるみ(ふくらみ)取り 他 No.349804
【調布院】目元が10歳若返る こだわりのクマ治療
若返り / 裏ハムラ法 他 No.348698
【調布院】裏ハムラ×VOVリフトで目の下のクマがすっきり










































