症例写真(小竹将)
症例写真一覧
表示件数:53件 / 352261件
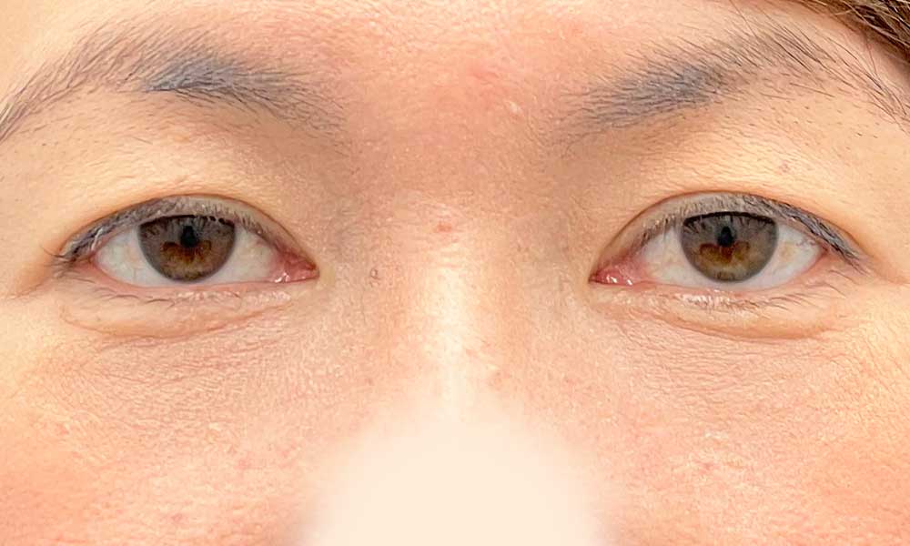
若返り / 裏ハムラ法 他 No.363889
【外科専門医の垢抜け裏ハムラ】目の下のクマのせいで、あなたの本来の美しさが隠れていませんか?お顔の印象を下げてしまうクマを、裏ハムラで無かったことに!
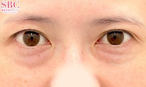
若返り / 裏ハムラ法 他 No.363137
【外科専門医の垢抜け裏ハムラ】目の下のクマのせいで、あなたの本来の美しさが隠れていませんか?お顔の印象を下げてしまうクマを、裏ハムラで無かったことに!
若返り / 裏ハムラ法 No.361949
【外科専門医の化ける裏ハムラ】目の下のクマがあっていいことってありません。あなたを台無しにする目の下のクマを裏ハムラで改善!
若返り / 目の下の切らないクマ・たるみ(ふくらみ)取り 他 No.360658
【脱・おばあちゃん!外科専門医の化ける切らないクマ取りでマイナス10歳!】脱脂術×脂肪注入で圧倒的若返り。
若返り / 目の下の切らないクマ・たるみ(ふくらみ)取り 他 No.359463
【男性も目の下のクマ取りで若返り!外科専門医の化ける切らないクマ取りでマイナス10歳】脱脂術×脂肪注入でイケメン男性アナ風に
若返り / 切開ハムラ(表ハムラ)法 No.358145
【外科専門医の若返り切開ハムラ】まつ毛の際から皮膚を切除し、膨らんでいる部分からくぼんでいる部分に眼窩脂肪を移動!外科専門医担当だから傷も最小限でバレにくい切開ハムラ
若返り / 裏ハムラ法 他 No.356918
【外科専門医の化ける裏ハムラ】目の下のクマがなくなるだけで昔の自分へ。埼玉で裏ハムラといえば小竹将
若返り / 裏ハムラ法 他 No.355679
【外科専門医の徹底的に若返らせる裏ハムラ】おばあちゃん化を裏ハムラで改善!
若返り / 裏ハムラ法 No.354388
【外科専門医の化ける裏ハムラ】美女を台無しにする目の下のクマを裏ハムラで改善!
二重・二重整形 / クイックコスメティーク・ダブルNeo No.353050
【二重埋没】垢抜け二重を叶えます!医師歴15年・外科専門医だから安心!親切丁寧な小竹にお任せください
若返り / 目の下の切らないクマ・たるみ(ふくらみ)取り 他 No.351793
【外科専門医の化ける切らないクマ取りでマイナス10歳】脱脂術×脂肪注入で目元の若返り!
若返り / 裏ハムラ法 他 No.350488
【外科専門医の化ける裏ハムラ】目の下のクマがなくなるだけでこんなに若々しくなる…!裏ハムラで若返り
若返り / 裏ハムラ法 他 No.348858
【男性指名も多く頂いている外科専門医の裏ハムラ】不機嫌なおじさんからイケオジに!傷ができない裏ハムラで若返り
若返り / 目の下の切らないクマ・たるみ(ふくらみ)取り 他 No.347626
【外科専門医の切らないクマ取り】20代にも人気のクマ取りでキレイな目元!
若返り / 裏ハムラ法 No.344263
【外科専門医の裏ハムラ】若い世代にも人気の裏ハムラで不機嫌目元が明るく大変身!
脂肪吸引 / 根こそぎVASER脂肪吸引 No.342646
【脂肪吸引+糸リフト】斜め顔が綺麗だと美人度UP!徹底した痛みとダウンタイムへの配慮に定評のある小竹将の小顔脂肪吸引!
二重・二重整形 / 目頭切開プレミアム No.341204
外科専門医のベテラン小竹による"傷が目立たない"目頭切開で垢抜け目元!
若返り / 裏ハムラ法 No.339725
【外科専門医の裏ハムラ】皮膚の切開を伴わずに、目の下の膨らみと窪みを小竹が同時に改善!
脂肪吸引 / 根こそぎVASER脂肪吸引 No.338142
【脂肪吸引+バッカル除去+糸リフト】斜め顔もスッキリ垢抜け小顔なら解剖医を熟知している小竹将で決まり!
脂肪吸引 / 小顔用脂肪吸引注射 No.336658
【脂肪吸引注射&糸リフト顎下スッキリ】医師歴15年以上のベテラン外科専門医が叶えるナチュラル若返り小顔!










































