症例写真(谷口雅彦)
症例写真一覧
表示件数:55件 / 352316件
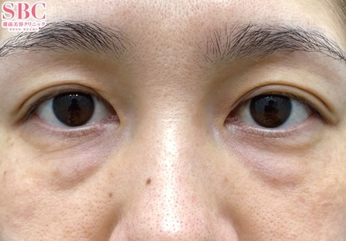
若返り / 裏ハムラ法 他 No.364168
【目の下のクマ治療】【裏ハムラ+ナノリッチ】目の下の脂肪を移動させてクマ改善!!レジェンドDr.が認める次世代エース★谷口院長!!
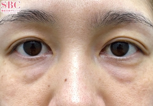
若返り / 裏ハムラ法 他 No.364167
【目の下のクマ治療】【裏ハムラ+ナノリッチ】目の下の脂肪を移動させてクマ改善!!レジェンドDr.が認める次世代エース★谷口院長!!
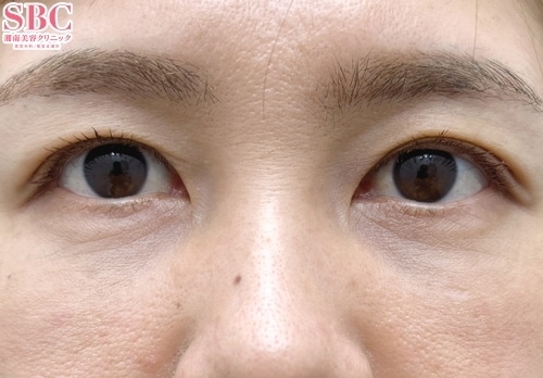
若返り / 裏ハムラ法 No.362963
【目の下のクマ治療】【裏ハムラ】目の下の脂肪を移動させてクマ改善!!レジェンドDr.が認める次世代エース★谷口院長!!
若返り / 裏ハムラ法 No.362965
【目の下のクマ治療】【裏ハムラ】目の下の脂肪を移動させてクマ改善!!レジェンドDr.が認める次世代エース★谷口院長!!
若返り / 裏ハムラ法 No.360701
【目の下のクマ治療】【裏ハムラ】目の下の脂肪を移動させてクマ改善!!レジェンドDr.が認める次世代エース★谷口院長!!
若返り / 裏ハムラ法 No.360700
【目の下のクマ治療】【裏ハムラ】目の下の脂肪を移動させてクマ改善!!レジェンドDr.が認める次世代エース★谷口院長!!
二重・二重整形 / フォーエバー二重術(R) No.360697
【フォーエバー二重術】360°美しい二重ラインへ!!レジェンドDr.が認める次世代エース★谷口院長!!
若返り / 裏ハムラ法 No.359423
【目の下のクマ治療】【裏ハムラ】目の下の脂肪を移動させてクマ改善!!レジェンドDr.が認める次世代エース★谷口院長!!
若返り / 裏ハムラ法 No.356883
【目の下のクマ治療】【裏ハムラ】目の下の脂肪を移動させてクマ改善!!レジェンドDr.が認める次世代エース★谷口院長!!
若返り / 裏ハムラ法 No.356884
【目の下のクマ治療】【裏ハムラ】目の下の脂肪を移動させてクマ改善!!レジェンドDr.が認める次世代エース★谷口院長!!
二重・二重整形 / 腫れづらいスクエア二重術 No.296147
二重になると、目の形も美しいラインを描きます!
二重・二重整形 / 湘南二重術 No.291465
左右差の解消+微修正!!
若返り / 裏ハムラ法 他 No.364166
【目の下のクマ治療】【裏ハムラ+ナノリッチ】目の下の脂肪を移動させてクマ改善!!レジェンドDr.が認める次世代エース★谷口院長!!
若返り / 裏ハムラ法 No.362961
【目の下のクマ治療】【裏ハムラ】目の下の脂肪を移動させてクマ改善!!レジェンドDr.が認める次世代エース★谷口院長!!
若返り / VOV(ボブ)リフト 他 No.361858
【糸リフト】圧倒的な骨格デザインでたるみ撃退!!レジェンドDr.が認める次世代エース★谷口院長!!
若返り / VOV(ボブ)リフト 他 No.361856
【糸リフト】圧倒的な骨格デザインでたるみ撃退!!レジェンドDr.が認める次世代エース★谷口院長!!
若返り / VOV(ボブ)リフト 他 No.361857
【糸リフト】圧倒的な骨格デザインでたるみ撃退!!レジェンドDr.が認める次世代エース★谷口院長!!
若返り / VOV(ボブ)リフト 他 No.361855
【糸リフト】圧倒的な骨格デザインでたるみ撃退!!レジェンドDr.が認める次世代エース★谷口院長!!
若返り / VOV(ボブ)リフト 他 No.361854
【糸リフト】圧倒的な骨格デザインでたるみ撃退!!レジェンドDr.が認める次世代エース★谷口院長!!
若返り / 裏ハムラ法 No.360703
【目の下のクマ治療】【裏ハムラ】目の下の脂肪を移動させてクマ改善!!レジェンドDr.が認める次世代エース★谷口院長!!










































