症例写真(佐藤広太郎)
症例写真一覧
表示件数:40件 / 349798件
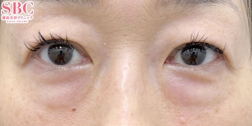
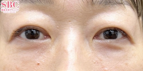
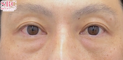
若返り / 目の下の切らないクマ・たるみ(ふくらみ)取り 他 No.309830
【目の下の切らないクマ取り】クマ取りで圧倒的な若返りを!丁寧な術中操作でダウンタイムを最小限に抑えます!
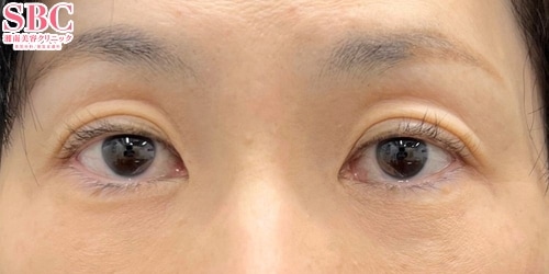
二重・二重整形 / クイックコスメティーク・ダブルNeo No.355368
【埋没法】症例が美しすぎると話題の佐藤広太郎医師による”瞳を大きく魅せる”二重術
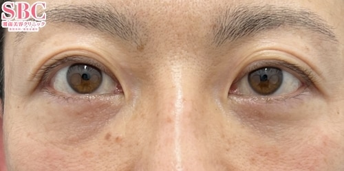
二重・二重整形 / クイックコスメティーク・ダブルNeo No.350213
【埋没法】症例が美しすぎると話題の佐藤広太郎医師による”瞳を大きく魅せる”平行二重
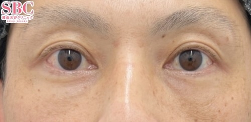
若返り / 目の下の切らないクマ・たるみ(ふくらみ)取り 他 No.361892
【若返り】【目の下の切らないクマ取り】クマ取りで圧倒的な若返りを!丁寧な術中操作でダウンタイムを最小限に抑えます!
若返り / 目の下の切らないクマ・たるみ(ふくらみ)取り 他 No.361728
【若返り】【目の下の切らないクマ取り】クマ取りで圧倒的な若返りを!丁寧な術中操作でダウンタイムを最小限に抑えます!
若返り / 目の下の切らないクマ・たるみ(ふくらみ)取り 他 No.361279
【若返り】【若返り】【目の下の切らないクマ取り】クマ取りで圧倒的な若返りを!丁寧な術中操作でダウンタイムを最小限に抑えます!
二重・二重整形 / クイックコスメティーク・ダブルNeo No.360792
【二重・二重整形】【埋没法】症例が美しすぎると話題の佐藤広太郎医師による”瞳を大きく魅せる”二重術
若返り / 目の下の切らないクマ・たるみ(ふくらみ)取り No.360422
【若返り】【目の下の切らないクマ取り】クマ取りで圧倒的な若返りを!丁寧な術中操作でダウンタイムを最小限に抑えます!
若返り / 目の下の切らないクマ・たるみ(ふくらみ)取り 他 No.360022
【若返り】【目の下の切らないクマ取り】クマ取りで圧倒的な若返りを!丁寧な術中操作でダウンタイムを最小限に抑えます!
二重・二重整形 / クイックコスメティーク・ダブルNeo No.359888
【二重・二重整形】【埋没法】症例が美しすぎると話題の佐藤広太郎医師による”瞳を大きく魅せる”二重術
二重・二重整形 / クイックコスメティーク・ダブルNeo No.359562
【二重・二重整形】【埋没法】症例が美しすぎると話題の佐藤広太郎医師による”瞳を大きく魅せる”二重術
脂肪吸引 / 小顔用脂肪吸引注射 他 No.359235
【脂肪吸引×糸リフト】でシャープなフェイスラインに!
二重・二重整形 / クイックコスメティーク・ダブルNeo No.358796
【二重・二重整形】【埋没法】症例が美しすぎると話題の佐藤広太郎医師による”瞳を大きく魅せる”二重術
二重・二重整形 / クイックコスメティーク・ダブルNeo No.358706
【二重・二重整形】【埋没法】症例が美しすぎると話題の佐藤広太郎医師による”瞳を大きく魅せる”二重術
二重・二重整形 / クイックコスメティーク・ダブルNeo No.358291
【二重・二重整形】【埋没法】症例が美しすぎると話題の佐藤広太郎医師による”瞳を大きく魅せる”二重術
若返り / 目の下の切らないクマ・たるみ(ふくらみ)取り 他 No.358216
【若返り】【目の下の切らないクマ取り】クマ取りで圧倒的な若返りを!丁寧な術中操作でダウンタイムを最小限に抑えます!
二重・二重整形 / クイックコスメティーク・ダブルNeo No.357330
【二重・二重整形】【埋没法】症例が美しすぎると話題の佐藤広太郎医師による”瞳を大きく魅せる”二重術
二重・二重整形 / クイックコスメティーク・ダブルNeo No.357329
【二重・二重整形】【埋没法】症例が美しすぎると話題の佐藤広太郎医師による”瞳を大きく魅せる”二重術
若返り / 目の下の切らないクマ・たるみ(ふくらみ)取り 他 No.357082
【若返り】【目の下の切らないクマ取り】クマ取りで圧倒的な若返りを!丁寧な術中操作でダウンタイムを最小限に抑えます!
二重・二重整形 / クイックコスメティーク・ダブルNeo No.357012
【埋没法】症例が美しすぎると話題の佐藤広太郎医師による”瞳を大きく魅せる”二重術










































