症例写真(藤井里奈)
症例写真一覧
表示件数:109件 / 346432件
豊胸・バストの修正 / Aquicell(アキーセル)併用コンデンスリッチ(脂肪注入豊胸) No.355011
【りなてぃ先生のデコルテ豊胸】アキーセル併用コンデンスリッチ脂肪豊胸(ママ豊胸)【コンデンスリッチ豊胸症例数No.1 SBC内東日本女医2025年上半期】
豊胸・バストの修正 / VASER併用コンデンスリッチ(脂肪注入豊胸) No.356899
【りなてぃ先生のデコルテ豊胸】コンデンスリッチ豊胸3ヶ月目【コンデンスリッチ豊胸SBC内症例数 東日本女医No.1 (2025年上半期)】
豊胸・バストの修正 / コンデンスリッチ(脂肪注入豊胸) No.351582
【りなてぃ先生のデコルテ豊胸】コンデンスリッチ豊胸2回目”2次豊胸”3ヶ月目【コンデンスリッチ豊胸症例数No.1 SBC内関東女医2024年下半期】
脂肪吸引 / 根こそぎVASER脂肪吸引 他 No.350492
【りなてぃ先生の横顔美人吸引】ベイザー脂肪吸引(頬+アゴ下+ジョールファット+メーラーファット)&糸リフト&顎ヒアルロン酸であなたに似合う小顔へ!【ベイザー脂肪吸引SBC内関東女医(東京除く)症例件数No1 2024年下期】
豊胸・バストの修正 / コンデンスリッチ(脂肪注入豊胸) No.350468
【りなてぃ先生のデコルテ豊胸】コンデンスリッチ豊胸3ヶ月目【コンデンスリッチ豊胸症例数No.1 SBC内関東女医2024年下半期】
豊胸・バストの修正 / コンデンスリッチ(脂肪注入豊胸) No.345788
【りなてぃ先生のデコルテ豊胸】コンデンスリッチ豊胸6ヶ月目【コンデンスリッチ豊胸症例数No.1 SBC内関東女医2024年下半期】
脂肪吸引 / 美ボディ脂肪吸引 No.342764
【りなてぃ先生の横顔美人吸引】美ボディ脂肪吸引(頬+アゴ下+ジョールファット)&VOVリフト&シークレットリフトであなたに似合う小顔へ!【美ボディ脂肪吸引SBC内関東(東京除く)症例件数No1 2024年上期】
豊胸・バストの修正 / コンデンスリッチ(脂肪注入豊胸) No.341188
【-5歳が叶う!ふっくらデコルテ豊胸】コンデンスリッチ豊胸 3ヶ月目【脂肪注入豊胸症例数No.3 SBC内関東2024年上半期】
豊胸・バストの修正 / コンデンスリッチ(脂肪注入豊胸) No.339629
【-5歳が叶う!ふっくらデコルテ豊胸】コンデンスリッチ豊胸 6ヶ月目【脂肪注入豊胸症例数No.3 SBC内関東2024年上半期】
脂肪吸引 / 美ボディ脂肪吸引 No.336956
【りなてぃ先生のプレシャスライン】美ボディ脂肪吸引(頬+アゴ下)&VOVリフト&シークレットリフトでフェイスラインのもたつきにおさらば!【美ボディ脂肪吸引SBC内関東(東京除く)症例件数No1 2024年上期】
脂肪吸引 / 小顔用脂肪吸引注射 No.337220
【りなてぃ先生のプレシャスライン】脂肪吸引注射(頬+アゴ下)でフェイスラインのもたつきにおさらば!
豊胸・バストの修正 / コンデンスリッチ(脂肪注入豊胸) No.337834
【圧倒的美デザイン!りなてぃ先生のプレシャスバスト】コンデンスリッチ豊胸 6ヶ月目【脂肪注入豊胸症例数No.3 SBC内関東2024年上半期】
豊胸・バストの修正 / コンデンスリッチ(脂肪注入豊胸) No.335442
【圧倒的美デザイン!りなてぃ先生のプレシャスバスト】コンデンスリッチ豊胸 1ヶ月目【脂肪注入豊胸症例数No.3 SBC内関東2024年上半期】
豊胸・バストの修正 / コンデンスリッチ(脂肪注入豊胸) No.329833
【りなてぃ先生のプレシャスバスト】コンデンスリッチ豊胸 3ヶ月目【脂肪注入豊胸症例数No.2 SBC内関東女医2023年下半期】
豊胸・バストの修正 / コンデンスリッチ(脂肪注入豊胸) No.327776
【りなてぃ先生のプレシャスバスト】コンデンスリッチ豊胸3ヶ月目【脂肪注入豊胸症例数No.2 SBC内関東女医2023年下半期】
豊胸・バストの修正 / コンデンスリッチ(脂肪注入豊胸) No.327739
【デコルテ豊胸】コンデンスリッチ豊胸3ヶ月後【脂肪注入豊胸症例数No.1 SBC内東日本女医2025年上期】
豊胸・バストの修正 / コンデンスリッチ(脂肪注入豊胸) No.326061
【りなてぃ先生のプレシャスバスト】脂肪注入豊胸で理想のふっくら柔らかバストサイズアップ!コンデンスリッチ豊胸1ヶ月後【脂肪注入豊胸症例数No.2 SBC内関東女医2023年下半期】
豊胸・バストの修正 / コンデンスリッチ(脂肪注入豊胸) No.324813
【りなてぃ先生のプレシャスバスト】脂肪注入豊胸で理想のふっくら柔らかバストサイズアップ!【脂肪注入豊胸症例数No.2 SBC内関東女医2023年下半期】
豊胸・バストの修正 / コンデンスリッチ(脂肪注入豊胸) No.322462
【脂肪豊胸】【りなてぃ先生のプレシャスバスト】理想のお椀型バストに仕上げます【脂肪注入豊胸症例数No.2 SBC内関東女医2023年下半期】
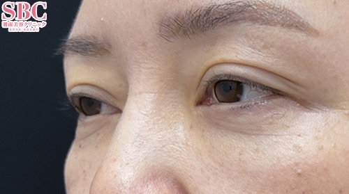
若返り / 目の下の切らないクマ・たるみ(ふくらみ)取り 他 No.357468
【りなてぃ先生のクマ取り】目の下の切らないクマ取り+ナノリッチ+コンデンスリッチ(目の下?ゴルゴライン)










































