症例写真(五十嵐寿紀)
症例写真一覧
表示件数:86件 / 347681件
二重・二重整形 / クイックコスメティーク・ダブルNeo 他 No.357181
仕上がりの綺麗さと長持ちの両方を兼ね備えたクイックコスメティークダブル!
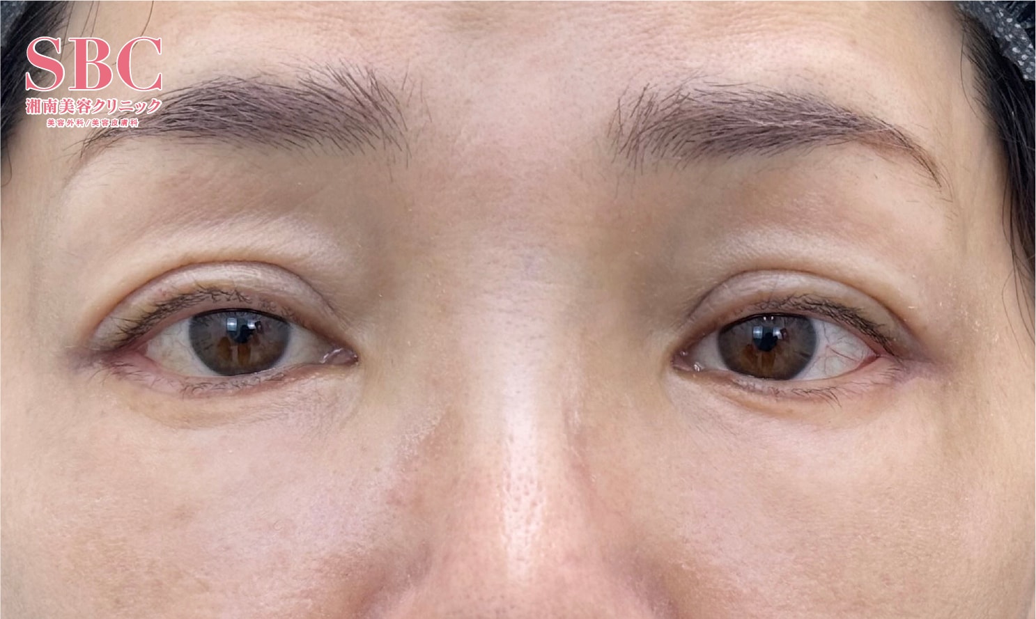
若返り / 裏ハムラ法 No.356697
【クマ取り】Dr.五十嵐の裏ハムラで疲れ目卒業!
脂肪吸引 / 根こそぎVASER脂肪吸引 No.357177
【フェイスライン】それぞれに合った小顔オーダーメイド治療【美ライン形成】で指名殺到中のDr.五十嵐による小顔治療のご紹介です!
脂肪吸引 / 根こそぎVASER脂肪吸引 No.340367
【小顔】脂肪吸引でアプリ風フェイスラインに「ベイザー脂肪吸引+バッカルファット除去+プリマリフト6本」
脂肪吸引 / 小顔用脂肪吸引注射 No.341047
【小顔】「脂肪吸引注射+プリマリフト6本」アプリ風フェイスライン~綺麗なフェイスライン
脂肪吸引 / 根こそぎVASER脂肪吸引 No.336432
【小顔】「ベイザー脂肪吸引+シークレットリフト10本+テスリフト2本」ダイエットでも叶わなかった綺麗なフェイスライン
若返り / 目の下の切らないクマ・たるみ(ふくらみ)取り 他 No.359158
【クマ取り】Dr.五十嵐のクマ取りで涙袋が誕生!
若返り / 切開ハムラ(表ハムラ)法 No.358953
【クマ取り】Dr.五十嵐の切開ハムラで疲れ目卒業!
若返り / 切開ハムラ(表ハムラ)法 No.358952
【クマ取り】Dr.五十嵐の切開ハムラで疲れ目卒業!
若返り / 裏ハムラ法 No.358951
【クマ取り】Dr.五十嵐の裏ハムラで疲れ目卒業!
若返り / 切開ハムラ(表ハムラ)法 No.358143
【クマ取り】Dr.五十嵐の切開ハムラで疲れ目卒業!
二重・二重整形 / クイックコスメティーク・ダブルNeo No.358142
仕上がりの綺麗さと長持ちの両方を兼ね備えたクイックコスメティークダブル!
二重・二重整形 / クイックコスメティーク・ダブルNeo No.358026
仕上がりの綺麗さと長持ちの両方を兼ね備えたクイックコスメティークダブル!
若返り / 目の下の切らないクマ・たるみ(ふくらみ)取り 他 No.357520
【クマ取り】Dr.五十嵐のクマ取りで疲れ目卒業!
脂肪吸引 / 根こそぎVASER脂肪吸引 No.356696
【小顔】アプリ加高級の変化!小顔治療ならベストショットアワード受賞のDr.五十嵐にお任せ♪
若返り / 目の下の切らないクマ・たるみ(ふくらみ)取り 他 No.356691
【クマ取り】Dr.五十嵐のクマ取りで疲れ目卒業!
脂肪吸引 / 根こそぎVASER脂肪吸引 No.353746
【小顔脂肪吸引】自然な小顔に
若返り / 目の下の切らないクマ・たるみ(ふくらみ)取り 他 No.353683
【クマとり】疲れている印象だったのが若々しくなりました
脂肪吸引 / 根こそぎVASER脂肪吸引 No.353642
【脂肪吸引】口横の脂肪を無くし綺麗な卵形フェイスラインに
脂肪吸引 / 根こそぎVASER脂肪吸引 No.352682
【小顔】脂肪吸引でもたつきフェイスライン解消









































