症例写真(山口淳平)
症例写真一覧
表示件数:76件 / 349973件
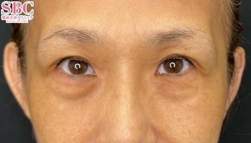
若返り / 目の下の切らないクマ・たるみ(ふくらみ)取り 他 No.361041
【目の下の切らないクマ・たるみ取り】【コンデンスリッチフェイス(頬、額、こめかみ、法令線)】【ナノリッチ(目の下~ゴルゴ)】
脂肪吸引 / 美ボディ脂肪吸引 No.355470
【美ボディ脂肪吸引(頬・顎・頬骨上・メーラーファット)】院長による顔スッキリ脂肪吸引セット
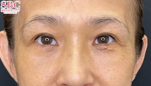
若返り / 目の下の切らないクマ・たるみ(ふくらみ)取り No.354997
【目の下の切らないクマ取り】【脂肪注入(目の下~ゴルゴ)】【ナノリッチ(目の下~ゴルゴ)】関西おすすめドクターの院長による目元の若返り治療
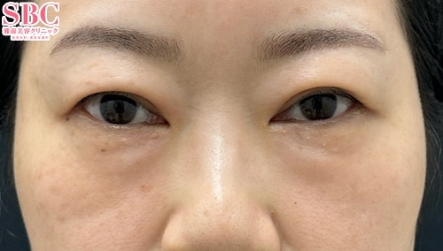
脂肪吸引 / 小顔用脂肪吸引注射 No.352997
【脂肪吸引注射(頬、顎下、ジョール)】【VOVリフト6本】院長によるくっきり輪郭形成!
脂肪吸引 / 根こそぎVASER脂肪吸引 No.349609
【二の腕の脂肪吸引】山口医師による二の腕スッキリ脂肪吸引
脂肪吸引 / 根こそぎVASER脂肪吸引 No.349619
【二の腕の脂肪吸引】山口医師による二の腕スッキリ脂肪吸引
若返り / VOV(ボブ)リフト 他 No.346377
【脂肪吸引注射(頬)】【VOVリフト8本】【シークレットリフト8本】山口院長による小顔術
若返り / 目の下の切らないクマ・たるみ(ふくらみ)取り 他 No.345086
【目の下の切らないクマ・たるみ取り】【コンデンスリッチフェイス(目の下、ゴルゴ)】目元の若返り術
若返り / 目の下の切らないクマ・たるみ(ふくらみ)取り 他 No.345085
【目の下の切らないクマ・たるみ取り】【コンデンスリッチフェイス(目の下、ゴルゴ)】目元の若返り術
若返り / 目の下の切らないクマ・たるみ(ふくらみ)取り 他 No.345062
【目の下の切らないクマ・たるみ取り】【コンデンスリッチフェイス(目の下、ゴルゴ)】目元の若返り術
脂肪吸引 / 小顔用脂肪吸引注射 No.360181
【脂肪吸引注射(ホホ+顎+ジョール)】【VOVリフト6本】
二重・二重整形 / クイックコスメティーク・ダブルNeo No.360095
【クイックコスメティーク・ダブルNeo】院長による垢抜け二重術
脂肪吸引 / 美ボディ脂肪吸引 No.360063
【美ボディ脂肪吸引(頬・顎・頬骨上・メーラーファット)】院長による顔スッキリ脂肪吸引セット
若返り / 切開ハムラ(表ハムラ)法 No.360061
【切開ハムラ法】院長による大きなクマ治療
若返り / 目の下の切らないクマ・たるみ(ふくらみ)取り 他 No.360059
【目の下の切らないクマ取り】【コンデンスリッチ脂肪注入(目の下~ゴルゴ)】【ナノリッチ(目の下~ゴルゴ、涙袋)】
若返り / 眉下リフト(眉下切開) No.359393
【眉下切開(リフト)】院長による目周りの若返り術
若返り / 裏ハムラ法 No.359289
【裏ハムラ法】関西おすすめドクターによる目元の若返り術
若返り / ナチュラル脂肪注射入れ放題 No.358954
【ナチュラル脂肪注入入れ放題】【ナノリッチ(法令線)】顔全体の若返り
若返り / 目の下の切らないクマ・たるみ(ふくらみ)取り 他 No.358681
【目の下の切らないクマ・たるみ取り】【コンデンスリッチフェイス(頬、額、こめかみ、法令線)】【ナノリッチ(目の下~ゴルゴ)】目元の若返り術
脂肪吸引 / 美ボディ脂肪吸引 No.358600
【顔の脂肪吸引(美ボディ:頬・顎下・ジョール)】脂肪吸引No.1院長による小顔整形










































