症例写真(渡部浩史)
症例写真一覧
表示件数:18件 / 352656件
若返り / シークレットリフト No.365029
【糸リフト】フェイスライン・法令線の糸リフトのみ南青山院わた先生【イテウォン 若返り】
若返り / シークレットリフト 他 No.360090
【糸リフト】フェイスライン・法令線の糸リフトのみ南青山院わた先生【イテウォン 若返り】
若返り / VOV(ボブ)リフト 他 No.360055
【糸リフト】フェイスライン・法令線の糸リフトのみ南青山院わた先生【イテウォン 若返り】
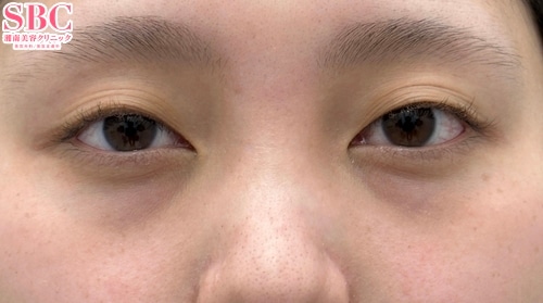
若返り / 目の下の切らないクマ・たるみ(ふくらみ)取り 他 No.360008
【クマ取り】目の下のクマ取りイテウォン南青山院わた先生【イテウォン クマ取り・若返り】
脂肪吸引 / 小顔用脂肪吸引注射 No.360007
【脂肪吸引注射】頬・あご下の脂肪吸引注射 南青山院わた先生【イテウォン 小顔・若返り】
脂肪吸引 / 小顔用脂肪吸引注射 No.360006
【脂肪吸引注射】頬・あご下の脂肪吸引注射 南青山院わた先生【イテウォン 小顔】
脂肪吸引 / 小顔用脂肪吸引注射 No.360000
【ナチュラル脂肪注射・脂肪吸引注射】額こめかみの脂肪注入・頬あご下の脂肪吸引注射 南青山院わた先生【イテウォン 小顔・若返り】
若返り / VOV(ボブ)リフト 他 No.359921
【糸リフト】フェイスライン・法令線の糸リフトのみ南青山院わた先生【イテウォン 若返り】
若返り / VOV(ボブ)リフト No.357420
【糸リフト】フェイスラインの糸リフトのみ 南青山院わた先生【イテウォン 若返り】
若返り / プリマリフト 他 No.356970
【糸リフト】フェイスライン・法令線の糸リフトのみ 南青山院わた先生【イテウォン 若返り】
若返り / VOV(ボブ)リフト 他 No.356968
【糸リフト】フェイスラインの糸リフト+ヒアルロン酸注入 南青山院わた先生【イテウォン 若返り】
脂肪吸引 / 小顔用脂肪吸引注射 No.356964
【脂肪吸引注射】頬・ジョールファット脂肪吸引注射 南青山院わた先生【イテウォン 小顔】
脂肪吸引 / 小顔用脂肪吸引注射 No.356962
【脂肪吸引注射】顎下脂肪吸引注射 南青山院わた先生【イテウォン 小顔】
脂肪吸引 / 小顔用脂肪吸引注射 No.356961
【脂肪吸引注射】顎下・頬・ジョールファット脂肪吸引注射 南青山院わた先生【イテウォン 小顔 若返り】
若返り / VOV(ボブ)リフト No.332029
【糸リフト】フェイスライン・法令線の糸リフトのみ 南青山院わた先生【イテウォン 若返り】
若返り / シークレットリフト 他 No.326839
【糸リフト】フェイスライン・法令線の糸リフト+ヒアルロン酸注入 南青山院わた先生【イテウォン 若返り】
若返り / VOV(ボブ)リフト 他 No.326645
【糸リフト】法令線の糸リフト+ヒアルロン酸注入 南青山院わた先生【イテウォン 若返り】
若返り / シークレットリフト 他 No.326644
【糸リフト】フェイスラインの糸リフト+ヒアルロン酸注入 南青山院わた先生【イテウォン 若返り】






































