症例写真(茂木優太)
症例写真一覧
表示件数:40件 / 348445件
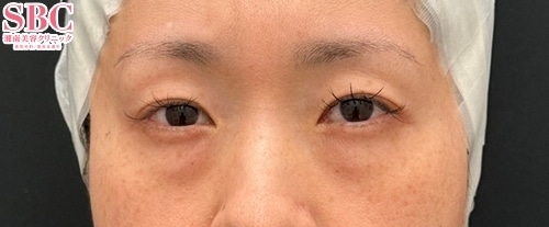
若返り / 裏ハムラ法 No.358831
【クマ取り 症例件数No.2の実績】元大学病院外科医による自然な目元の若返り☆ ※2025上期 SBC内中四国
二重・二重整形 / クイックコスメティーク・ダブルNeo No.358087
【埋没法二重術】【元大学病院外科医】綺麗な仕上がりなら茂木先生にお任せ☆
二重・二重整形 / クイックコスメティーク・ダブルNeo No.353955
【埋没法二重術】【元大学病院外科医】綺麗な仕上がりなら茂木先生にお任せ☆
脂肪吸引 / 小顔用脂肪吸引注射 No.350748
【脂肪吸引注射 症例件数 No.1の実績】少ないダウンタイムで圧倒的変化ならDr.モテギにおまかせ☆リピーター続出中!※2024年下期 SBC内北海道・東北
若返り / 目の下の切らないクマ・たるみ(ふくらみ)取り 他 No.359509
【クマ取り 症例件数No.2の実績】元大学病院外科医による自然な目元の若返り☆ ※2025上期 SBC内中四国
脂肪吸引 / 美ボディ脂肪吸引 No.358837
【脂肪吸引注射 症例件数 No.1の実績】少ないダウンタイムで圧倒的変化ならDr.モテギにおまかせ☆リピーター続出中!※2024年下期 SBC内北海道・東北エリアNo.1
若返り / 目の下の切らないクマ・たるみ(ふくらみ)取り No.358835
【クマ取り 症例件数No.2の実績】元大学病院外科医による自然な目元の若返り☆ ※2025上期 SBC内中四国
豊胸・バストの修正 / コンデンスリッチ(脂肪注入豊胸) No.358096
ふわふわモテバストに☆外科出身ドクター 茂木医師の定着率抜群豊胸術
脂肪吸引 / 美ボディ脂肪吸引 No.358093
【脂肪吸引注射 症例件数 No.1の実績】少ないダウンタイムで圧倒的変化ならDr.モテギにおまかせ☆リピーター続出中!※2024年下期 SBC内北海道・東北エリアNo.1
若返り / 目の下の切らないクマ・たるみ(ふくらみ)取り 他 No.358091
【クマ取り 症例件数No.2の実績】綺麗な仕上がりなら茂木先生にお任せ☆ ※2025上期 SBC内中四国
脂肪吸引 / 小顔用脂肪吸引注射 No.358085
【脂肪吸引注射 症例件数 No.1の実績】少ないダウンタイムで圧倒的変化ならDr.モテギにおまかせ☆リピーター続出中!※2024年下期 SBC内北海道・東北エリアNo.1
若返り / コンデンスリッチフェイス法(額・こめかみ脂肪注入) No.358076
元大学病院外科出身ドクターによる☆自然な額のまるみをつくる脂肪注入
若返り / 目の下の切らないクマ・たるみ(ふくらみ)取り 他 No.357883
【クマ取り 症例件数No.2の実績】綺麗な仕上がりなら茂木先生にお任せ☆ ※2025上期 SBC内中四国
若返り / 裏ハムラ法 No.357614
【クマ取り 症例件数No.2の実績】綺麗な仕上がりなら茂木先生にお任せ☆ ※2025上期 SBC内中四国
脂肪吸引 / 小顔用脂肪吸引注射 No.354853
【脂肪吸引注射 症例件数 No.1の実績】少ないダウンタイムで圧倒的変化ならDr.モテギにおまかせ☆リピーター続出中!※2024年下期 SBC内北海道・東北
若返り / シークレットリフト No.354721
【糸リフト 症例件数No.2の実績】綺麗な仕上がりなら茂木先生にお任せ☆ ※2024年下期 SBC内北海道・東北
二重・二重整形 / クイックコスメティーク・ダブルNeo No.354720
【埋没法二重術】【元大学病院外科医】綺麗な仕上がりなら茂木先生にお任せ☆
二重・二重整形 / フォーエバー二重術(R) No.354714
【埋没法二重術】【元大学病院外科医】綺麗な仕上がりなら茂木先生にお任せ☆
二重・二重整形 / フォーエバー二重術(R) No.354713
【埋没法二重術】【元大学病院外科医】綺麗な仕上がりなら茂木先生にお任せ☆
若返り / シークレットリフト 他 No.353962
【糸リフト 症例件数No.2の実績】綺麗な仕上がりなら茂木先生にお任せ☆ ※2024年下期 SBC内北海道・東北










































