症例写真(若返り)
ドクターが選ぶ BEST SHOT AWARD
症例写真一覧
表示件数:52944件 / 348459件
若返り / 裏ハムラ法 他 No.360643
【クマ取り】【ハムラ法】膨らんだ「眼窩脂肪」を凹みに移動してクマ解消!老け見え解消なら奥医師にお任せ!【施術1ヶ月後】【裏ハムラ法×ナノリッチ×眉下切開】
若返り / VOV(ボブ)リフト 他 No.352254
【糸リフト】たるみ・もたつき改善!お悩みに合わせたアプローチで速攻若返り!【施術1ヶ月後】【VOVリフト】【シークレットリフト】
若返り / シークレットリフト 他 No.352964
【糸リフト】たるみ・もたつき改善!お悩みに合わせたアプローチで速攻若返り!【施術1ヶ月後】【VOVリフト】【シークレットリフト】
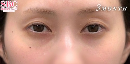
若返り / ナチュラル脂肪注射コンデンスリッチ 他 No.360897
◆◆美容外科専門医 名倉が叶える -5歳!! 目の下のたるみ取り+脂肪注入(目の下~ゴルゴ線)◆◆目の下のぷっくり、クマでお悩みの方必見!!◆3ヶ月後のお写真
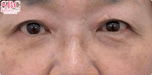
若返り / プリマリフト No.360896
◆◆美容外科専門医 名倉が叶える小顔術!!糸リフト6年連続全国1位 (2019年~2024年)!※SBC内◆◆プリマリフト+脂肪吸引(頬+顎下)◆ 8ヶ月後のお写真
若返り / ベビーコラーゲン(ヒューマラジェン) No.360901
【若返り】【美容皮膚科】【40代女性】☆SBC技術指導医 池内院長の若返り術☆「ベビーコラーゲン」で目元の若返りをかなえる!
若返り / 目の下の切らないクマ・たるみ(ふくらみ)取り 他 No.360884
【40代/女性/クマ取り】クマ取りSBC内症例数中部No.3 ※小泉佑太による違和感ゼロのクマ取り※2025年下半期
若返り / 目の下の切らないクマ・たるみ(ふくらみ)取り 他 No.360841
【若返りmuse】二子玉川院院長の青柳萌花による目の下の切らないクマたるみ取り★若々しい目元に!
若返り / 目の下の切らないクマ・たるみ(ふくらみ)取り No.360837
目元スッキリ!膨らみがなくなり一気に若返り☆坂本龍亮医師による目の下の切らないクマ取り&ナチュラル脂肪注入!
若返り / ジャルプロスーパーハイドロ No.360801
【ジャルプロスーパーハイドロ】頬コケ改善と自然なリフトアップ
若返り / 目の下の切らないクマ・たるみ(ふくらみ)取り 他 No.360778
【若返りmuse】二子玉川院院長の青柳萌花による目の下の切らないクマたるみ取り★若々しい目元に!
若返り / 目の下の切らないクマ・たるみ(ふくらみ)取り No.354461
目の下の膨らみ解消☆坂本龍亮医師による目の下の切らないクマ取り&ナチュラル脂肪注入!
若返り / 目の下の切らないクマ・たるみ(ふくらみ)取り 他 No.355692
【若返り】【クマ取り】【ダウンタイム公開】自身も受けたから分かる的確なアプローチ!柏院院長Dr.上田将士のクマ取り治療★
若返り / 目の下の切らないクマ・たるみ(ふくらみ)取り 他 No.360714
【若返り】【クマ取り】【ダウンタイム公開】自身も受けたから分かる的確なアプローチ!柏院院長Dr.上田将士のクマ取り治療★
若返り / ナチュラル脂肪注射コンデンスリッチ 他 No.354882
【27歳美容ナース】目の下のクマ取り+全顔脂肪注入
若返り / ベビーコラーゲン(ヒューマラジェン) 他 No.360712
手術せずにクマを改善★ベビーコラーゲン施術
若返り / 裏ハムラ法 No.358780
【クマ取り】【ハムラ法】膨らんだ「眼窩脂肪」を凹みに移動してクマ解消!老け見え解消なら奥医師にお任せ!【施術1ヶ月後】【裏ハムラ法】
若返り / 切開ハムラ(表ハムラ)法 No.360704
【30代】【切開ハムラ】クマ取りNo.1ドクターによる、東大式クマ取り!
若返り / 裏ハムラ法 No.360701
【目の下のクマ治療】【裏ハムラ】目の下の脂肪を移動させてクマ改善!!レジェンドDr.が認める次世代エース★谷口院長!!
若返り / 裏ハムラ法 No.360700
【目の下のクマ治療】【裏ハムラ】目の下の脂肪を移動させてクマ改善!!レジェンドDr.が認める次世代エース★谷口院長!!




































































