症例写真(若返り) 新着
ドクターが選ぶ BEST SHOT AWARD
症例写真一覧
表示件数:53344件 / 350214件
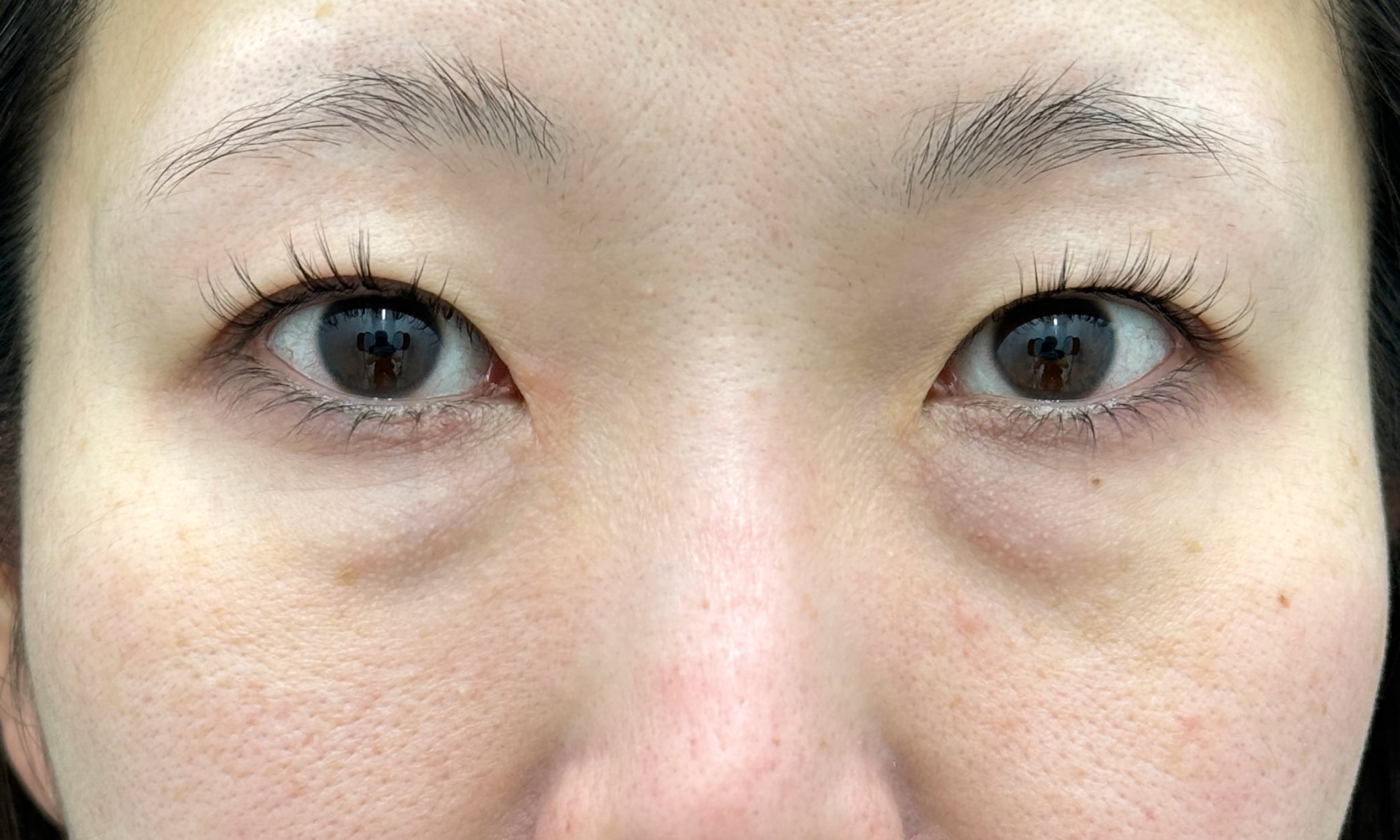
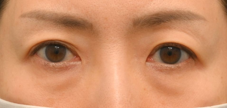
若返り / 裏ハムラ法 他 No.362721
【クマ取り】膨らみの原因になっている脂肪を、切除せずに凹んでいる部分に再配置。クマ取りを毎日のように執刀しているベテラン医師にお任せください!
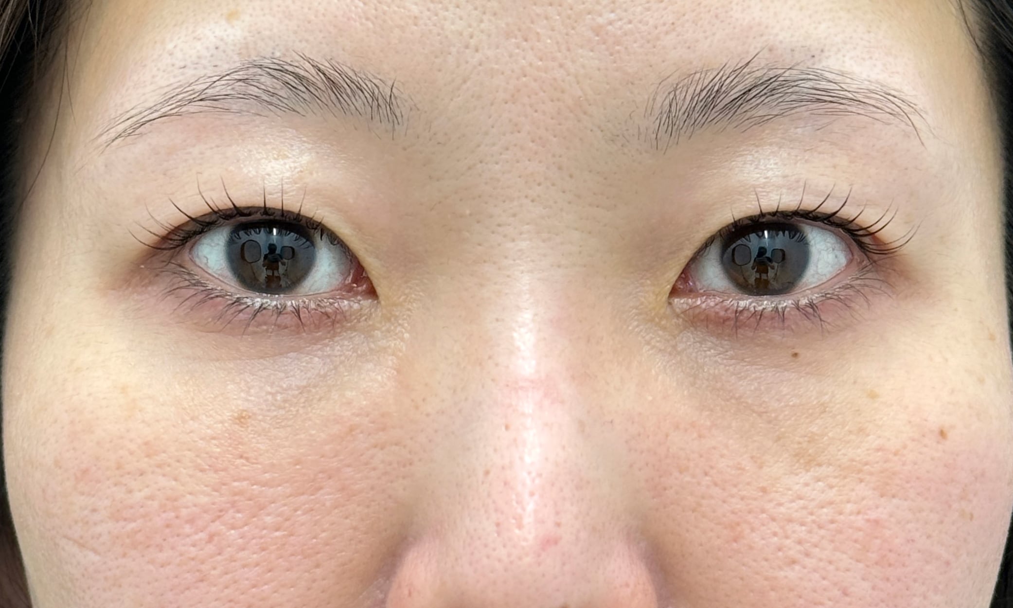
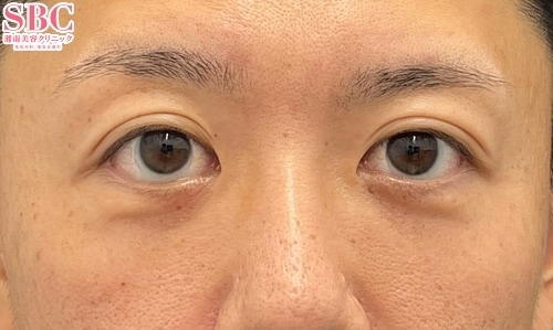
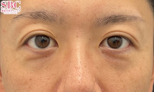
若返り / 裏ハムラ法 他 No.362720
【クマ取り】膨らみの原因になっている脂肪を、切除せずに凹んでいる部分に再配置。クマ取りを毎日のように執刀しているベテラン医師にお任せください!
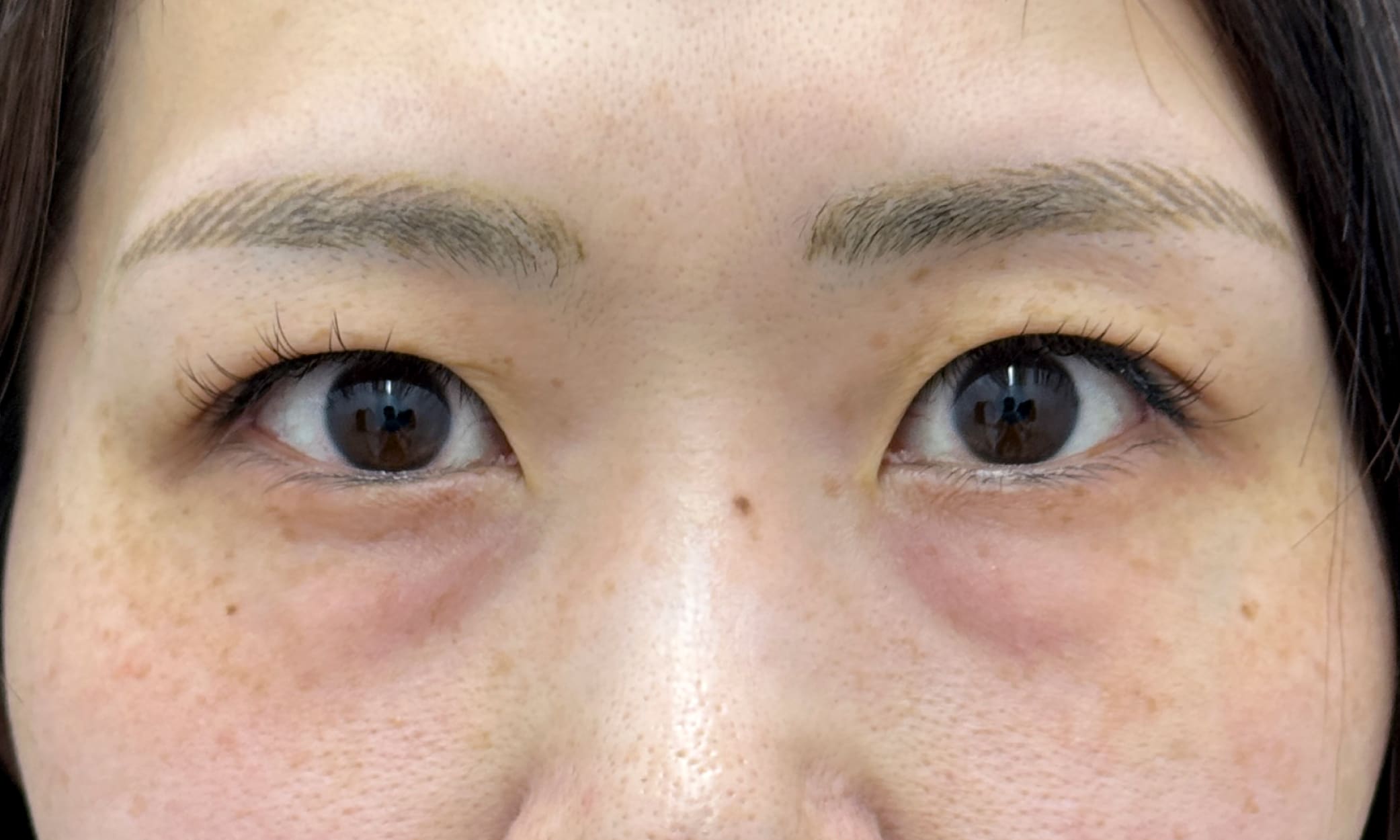
若返り / 目の下の切らないクマ・たるみ(ふくらみ)取り 他 No.362719
【脱脂+脂肪注入】老け見えの膨らみをオフする
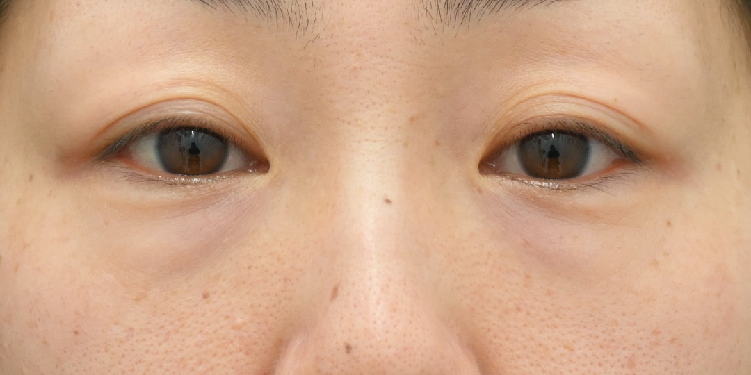
若返り / 裏ハムラ法 No.362700
Dr.五十嵐の裏ハムラで疲れ目卒業!
若返り / 目の下の切らないクマ・たるみ(ふくらみ)取り 他 No.362697
【クマ取り+脂肪注入】目元の若返りなら田中医師にお任せください!
若返り / 裏ハムラ法 他 No.362695
【若返り】【30代症例】☆症例数第1位!(アイバックリムーブ/2025年上半期/東日本)☆ 【裏ハムラ】切る・切らない二つの視点からお客様にとって最適な治療を提案します!目の下のたるみ・クマをなくして-5歳に印象チェンジ!【施術後3か月経過】
若返り / アイバックリムーブ法 他 No.362690
『クマ取り(アイバックリムーブ法)+脂肪注入』若返りプロフェッショナル・Dr中野 灘高卒、元麻酔科医Drによる匠の若返り術
若返り / 裏ハムラ法 他 No.362685
20代女性スタッフ 眉下リフト+裏ハムラ+SBCプレミアムPRP 3ヶ月後
若返り / 裏ハムラ法 他 No.362684
20代女性スタッフ 眉下リフト+裏ハムラ+SBCプレミアムPRP 3ヶ月後
若返り / 眉下リフト(眉下切開) 他 No.362683
20代女性スタッフ 眉下リフト+裏ハムラ+SBCプレミアムPRP 3ヶ月後
若返り / Deep Plane Facelift or High SMAS(ネック込み) 他 No.362680
50代女性 Deep Plane Facelift(SMAS切除+リガメント切除+神経刺激装置使用)+こめかみ&ネックリフト+ベイザー脂肪吸引(ジョールファット・頬・顎下)+バッカルファット切除&つり上げ固定+アイバックリムーブ(目の下たるみ取り)+SBCプレミアムPRP(法…
若返り / Deep Plane Facelift or High SMAS(ネック込み) 他 No.362679
50代女性 Deep Plane Facelift(SMAS切除+リガメント切除+神経刺激装置使用)+こめかみ&ネックリフト+ベイザー脂肪吸引(ジョールファット・頬・顎下)+バッカルファット切除&つり上げ固定+アイバックリムーブ(目の下たるみ取り)+SBCプレミアムPRP(法…
若返り / Deep Plane Facelift or High SMAS(ネック込み) 他 No.362677
50代女性 Deep Plane Facelift(SMAS切除+リガメント切除+神経刺激装置使用)+こめかみ&ネックリフト+ベイザー脂肪吸引(ジョールファット・頬・顎下)+バッカルファット切除&つり上げ固定+アイバックリムーブ(目の下たるみ取り)+SBCプレミアムPRP(法…
若返り / Deep Plane Facelift or High SMAS(ネック込み) 他 No.362676
40代女性 Deep Plane Facelift(SMAS下リガメントフル切除&SMAS弁つり上げ固定・神経刺激装置使用)+こめかみ&ネックリフト+ベイザー脂肪吸引(ジョールファット・頬・顎下)+バッカルファット切除&つり上げ固定+創傷治癒PRP+MD式+全身麻酔(麻酔専門…
若返り / Deep Plane Facelift or High SMAS(ネック込み) 他 No.362675
40代女性 Deep Plane Facelift(SMAS下リガメントフル切除&SMAS弁つり上げ固定・神経刺激装置使用)+こめかみ&ネックリフト+ベイザー脂肪吸引(ジョールファット・頬・顎下)+バッカルファット切除&つり上げ固定+創傷治癒PRP+MD式+全身麻酔(麻酔専門…
若返り / Deep Plane Facelift or High SMAS(ネック込み) 他 No.362674
40代女性 Deep Plane Facelift(SMAS下リガメントフル切除&SMAS弁つり上げ固定・神経刺激装置使用)+こめかみ&ネックリフト+ベイザー脂肪吸引(ジョールファット・頬・顎下)+バッカルファット切除&つり上げ固定+創傷治癒PRP+MD式+全身麻酔(麻酔専門…
若返り / 切開ハムラ(表ハムラ)法 他 No.362672
60代女性 SBCプレミアムPRP4ヶ月後、眼瞼下垂・切開ハムラ3ヶ月後
若返り / ナチュラル脂肪注射コンデンスリッチ No.362667
◆◆美容外科専門医 名倉が叶える 美顔術!! へこみを無くして美しい輪郭へ!! ◆脂肪注入(頬)1ヶ月後のお写真
若返り / 眉下リフト(眉下切開) No.362663
◆◆目元切開厳選医師の名倉が叶える -5歳!! 眉下リフト◆◆瞼のたるみでお悩みの方必見!!1年後のお写真
若返り / 目の下の切らないクマ・たるみ(ふくらみ)取り No.362662
◆◆美容外科専門医 名倉が叶える -5歳!! 目の下のたるみ取り+脂肪注入(目の下~ゴルゴ線)◆◆目の下のぷっくり、クマでお悩みの方必見!!◆1ヶ月後のお写真































































