美容外科・美容皮膚科・審美歯科なら湘南美容クリニック
電話予約・電話問い合わせ 10:00~22:45対応 番号を通知してお電話ください 0120-489-100
Instagram
LINE
YouTube
公式アプリ
美容皮膚科
あなたに最適な美容メンテナンスをサポートします!
二重整形
これを見たらあなたも思わず二重にしたくなる♡
医療ダイエット
医療ダイエットをしたらマイナス何センチ?リアルな結果を発信中!
若返り
年齢別・お悩み別で「今やるべき美容医療」がわかる美容医療メディア
クマ取り
クマ取り失敗したくない方必見!成功の秘訣満載★
脂肪吸引
美は武器!夜職女性のための美の総合メディア
予約・お問い合わせ
美容外科 MENU
Language
メインメニュー
診療内容一覧
料金一覧
クリニック案内
ドクター一覧
モニター募集
症例写真
よくある質問
当院が選ばれる理由
当院の症例写真は、画像処理により形や大きさをかえるような処理は一切おこなっておりません。
医師
施術前
施術後
目の下の切らないクマ・たるみ(ふくらみ)取りの詳細はこちら
マイクロCRF療法(FillerGeller、フィラーゲラー)の詳細はこちら
ナチュラル脂肪注射ナノリッチの詳細はこちら
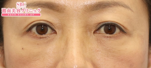
〇2018年上半期 若返りリッチフェイス法 全国エリアNo.1!!(2018年1~6月SBC内)〇2018年下半期 目の下のきらないたるみ取り 全国エリアNo.2!!(2018年6~12月SBC内)まずは、勇気出してご相談して頂いてありがとうございます。私、則本は本グループでも最多の症例数を行っています目の下には眼窩脂肪という脂肪があります。この方のような目の下のクマはこの脂肪の膨らみによってできています。人それぞれ膨らみ方は違いますので、その方に合わせて、どれくらい切除する必要があるか、また、どのように切除するのか完全オーダーメイドでデザインして手術を行っています。この方のような膨らみの場合は将来のことを見据えて、ある程度しっかり切除することが必要です。また、精密脂肪注入を行わない場合にはだいたい手術後30日目で完成致します。(精密脂肪注入を行った場合では定着率の問題もありますので、3ヶ月かけて吸収される為術後90日で完成します。さらに詳しい解説はブログでしていますので、ご確認して下さい。インスタグラムも是非ご覧下さい。Instagram:dr.norimoto
【若返り】☆大野津介医師 2019年下半期 関東エリア症例数No.2☆ 【目の下の切らないたるみ取り+コンデンスリッチ+ナノリッチ(目の下~ゴルゴ線)】年齢は関係なく、お悩みのかたがいらっしゃいます。目の下のたるみ・クマをなくして-5歳若返り!【施術後1ヶ月経過】
執刀ドクター:大野津介 医師
【若返り】【再発予防に特化したクマ取り!】50代前半 切開ハムラ法 術後1ヶ月目 栄院院長中野施術【2019.01〜2024上半期[4年半連続]裏ハムラ法 症例数 全国No.1!(SBC内)】
執刀ドクター:中野達生 医師
〇2018年上半期 若返りリッチフェイス法 全国エリアNo.1!!(2018年1~6月SBC内)
〇2018年下半期 目の下のきらないたるみ取り 全国エリアNo.2!!(2018年6~12月SBC内)
まずは、勇気出してご相談して頂いてありがとうございます。
私、則本は本グループでも最多の症例数を行っています
目の下には眼窩脂肪という脂肪があります。この方のような目の下のクマはこの脂肪の膨らみによってできています。
人それぞれ膨らみ方は違いますので、その方に合わせて、どれくらい切除する必要があるか、また、どのように切除するのか完全オーダーメイドでデザインして手術を行っています。
この方のような膨らみの場合は将来のことを見据えて、ある程度しっかり切除することが必要です。
また、精密脂肪注入を行わない場合にはだいたい手術後30日目で完成致します。
(精密脂肪注入を行った場合では定着率の問題もありますので、3ヶ月かけて吸収される為術後90日で完成します。
さらに詳しい解説はブログでしていますので、ご確認して下さい。
インスタグラムも是非ご覧下さい。
Instagram:dr.norimoto