症例写真(No.3977)

当院の症例写真は、画像処理により形や大きさをかえるような処理は一切おこなっておりません。

湘南美容クリニック 医師

No.3977【若返り】DR.近藤オリジナル 切らない目の下のくま・たるみ取り 自己再生TCB(3週後血小板注入・皮膚再生促進クリーム付き)

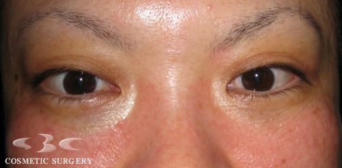
施術前

術前です。
→

施術後

術直後です。 目の下の皮膚は切りませんので、術直後でも ほとんど内出血や腫れは ありません。
すべての画像を見る

施術した院

部位

施術

施術回数

数量

性別

施術担当者からのコメント



×

当院におけるワクチン接種後の治療間隔(ガイドライン)

美容皮膚科、美容外科小手術

前後3日(手術日は含まず)、自覚する副反応がなければ可
安心麻酔を使用するものは接種後1週間は空ける

美容外科中、大手術

前後1週間
副反応が残っている場合は延期
接種部位と手術部位が同じ場合は2週間は空ける