症例写真(若返り)
ドクターが選ぶ BEST SHOT AWARD
症例写真一覧
表示件数:53014件 / 348771件
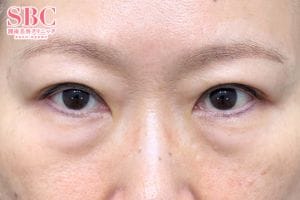
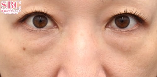
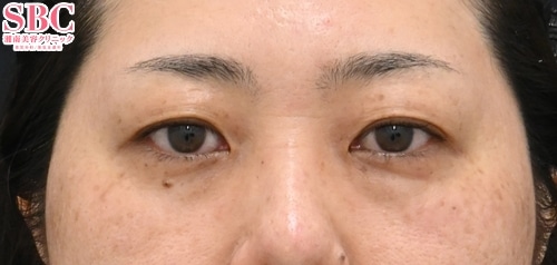
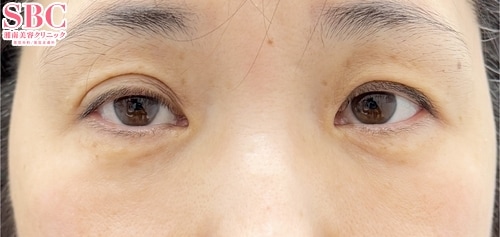
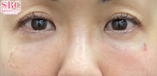
若返り / 裏ハムラ法 No.359531
【クマ取り】【ハムラ法】膨らんだ「眼窩脂肪」を凹みに移動してクマ解消!老け見え解消なら奥医師にお任せ!【施術1ヶ月後】【裏ハムラ法】
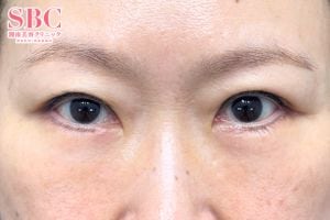
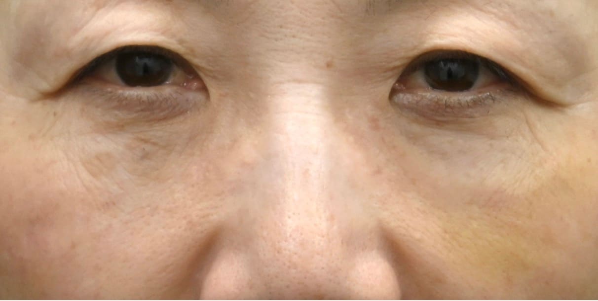
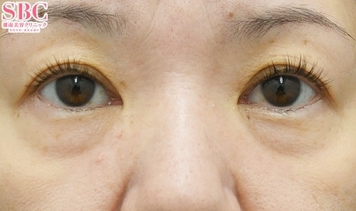
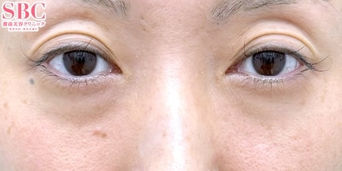
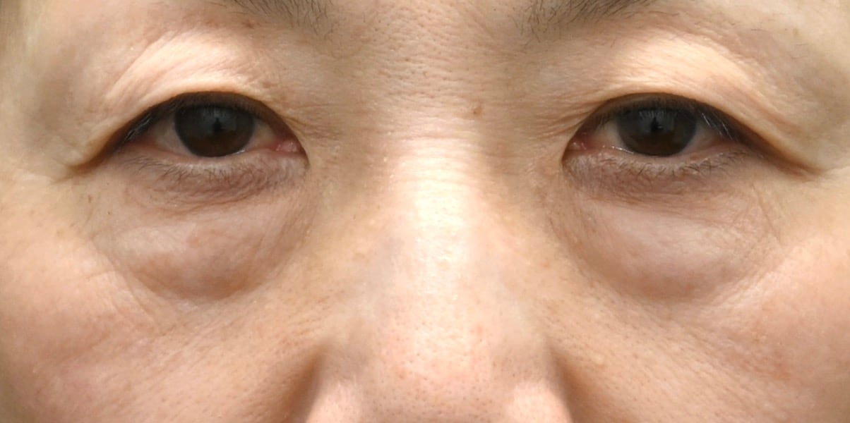
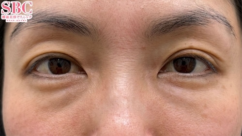
若返り / 裏ハムラ法 他 No.360643
【クマ取り】【ハムラ法】膨らんだ「眼窩脂肪」を凹みに移動してクマ解消!老け見え解消なら奥医師にお任せ!【施術1ヶ月後】【裏ハムラ法×ナノリッチ×眉下切開】
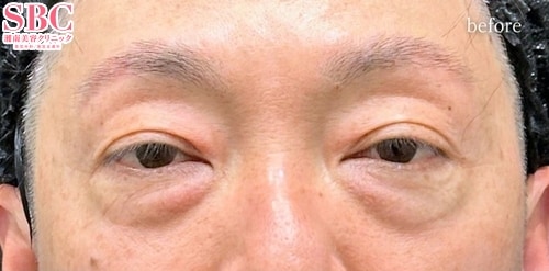
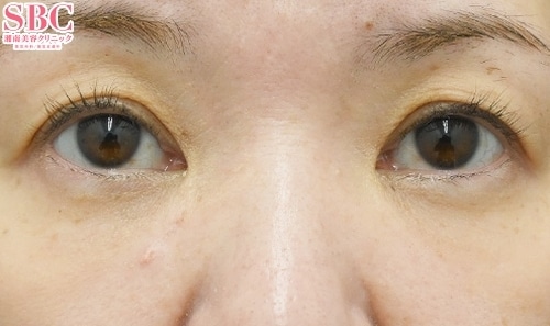
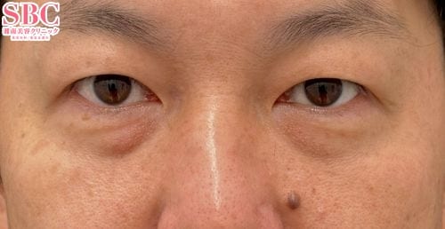
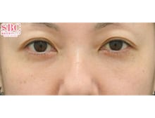
若返り / 切開ハムラ(表ハムラ)法 他 No.361141
【50代】【切開ハムラ】クマ取り症例数No.1ドクターによる、東大式クマ取り!
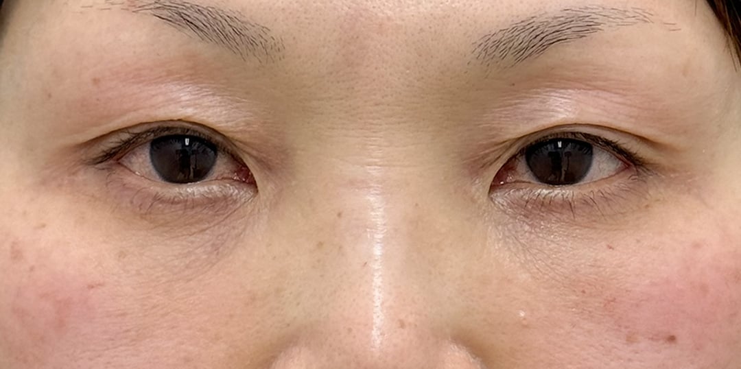
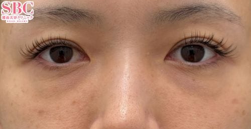
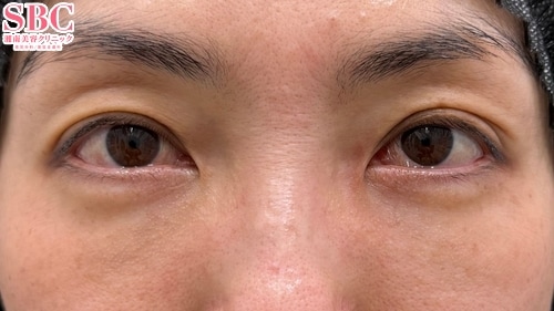
若返り / VOV(ボブ)リフト 他 No.361201
【若返りMuse】もえか先生の若返り術|お客様一人ひとりに合わせたパーソナルプランで自然な若返り?
若返り / VOV(ボブ)リフト 他 No.352254
【糸リフト】たるみ・もたつき改善!お悩みに合わせたアプローチで速攻若返り!【施術1ヶ月後】【VOVリフト】【シークレットリフト】
若返り / シークレットリフト 他 No.352964
【糸リフト】たるみ・もたつき改善!お悩みに合わせたアプローチで速攻若返り!【施術1ヶ月後】【VOVリフト】【シークレットリフト】
若返り / プリマリフト No.361153
◆◆美容外科専門医 名倉が叶える小顔術!!糸リフト6年連続全国1位 (2019年~2024年)!※SBC内◆◆プリマリフト+脂肪吸引(頬+顎下)◆ 1年4ヶ月後のお写真
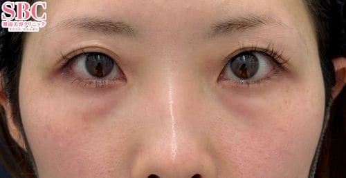
若返り / ナチュラル脂肪注射コンデンスリッチ 他 No.361154
◆◆美容外科専門医 名倉が叶える -5歳!! 目の下のたるみ取り+脂肪注入(目の下~ゴルゴ線)◆◆目の下のぷっくり、クマでお悩みの方必見!!◆3ヶ月後のお写真
若返り / 裏ハムラ法 他 No.361146
【目の下のクマ治療!裏ハムラ+糸リフト=ハムラリフト】中顔面もふっくら上がった印象に!全国おすすめクマ治療Dr.選抜のDr.ルークひのきにお任せ!
若返り / シークレットリフト 他 No.358350
小顔&若返り複合手術は美容外科歴17年の古澤にお任せください!
若返り / 目の下の切らないクマ・たるみ(ふくらみ)取り 他 No.361144
目の下のクマ治療は美容外科歴17年、クマ取りプレミアムドクターの古澤にお任せください!
若返り / テスリフト 他 No.361139
【糸リフトSBC公式おすすめDr/テスリフトSBC内症例数中部No1※】【50代/糸リフト】切らない小顔のプロフェッショナル小泉による劇的Before&after ※2025年上半期
若返り / 目の下の切らないクマ・たるみ(ふくらみ)取り 他 No.361130
【若返りmuse】二子玉川院院長の青柳萌花による目の下の切らないクマたるみ取り★若々しい目元に!
若返り / 裏ハムラ法 No.360749
【クマ取り】【20代】【クマとたるみを根本改善】裏ハムラ法
若返り / 眉下リフト(眉下切開) No.360923
【眉下リフト】30代女性。眉下リフトで目元の印象を明るく★瞼の厚みが気になる方は、サラ先生にお任せ★
若返り / 目の下の切らないクマ・たるみ(ふくらみ)取り 他 No.361070
【若返り】【クマ取り】医師歴8年以上のベテラン院長による日帰りクマ取り治療で一気に若返り!【40代女性】【切らない治療で若返りに】
若返り / 切開ハムラ(表ハムラ)法 他 No.359406
【30代】【切開ハムラ】クマ取りNo.1ドクターによる、東大式クマ取り!
若返り / 切開ハムラ(表ハムラ)法 No.360704
【30代】【切開ハムラ】クマ取りNo.1ドクターによる、東大式クマ取り!
若返り / 目の下の切らないクマ・たるみ(ふくらみ)取り 他 No.361041
【目の下の切らないクマ・たるみ取り】【コンデンスリッチフェイス(頬、額、こめかみ、法令線)】【ナノリッチ(目の下~ゴルゴ)】
若返り / 目の下の切らないクマ・たるみ(ふくらみ)取り 他 No.361025
【整形感0のクマ治療】40代後半 目の下の切らないクマ取り×PRP 術後3ヶ月目 名古屋駅本院高川施術【2024上期下期.2025年上期下期 目の下の切らないクマ取り 症例数 中部No.1!(SBC内)】



































































