症例写真(No.7293)

当院の症例写真は、画像処理により形や大きさをかえるような処理は一切おこなっておりません。

湘南美容クリニック 医師

No.7293【若返り】上まぶたの たるみに お悩みの方に:DR近藤 こだわりの 眉毛下切開による目の上のたるみ取り + 切らない目の下のたるみ取り

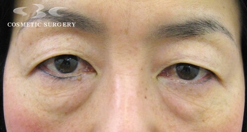
施術前

目の上下の弛みにお悩みの50代の方です。目の下は 私の 切らない目の下のたるみ取りを、目の上は 眉毛下切開によるたるみ取りを 行いました。
→

施術後

施術2ヶ月です。自然 かつ 効果的な 若返りです。眉下切開の創は2ヶ月で 殆ど わからなくなります。自然な 目の上下の若返りに とても 満足され、ご本人も 毎日が 明るく 前向きに なられました。
すべての画像を見る

施術した院

部位

施術

施術回数

数量

性別

施術担当者からのコメント



×

当院におけるワクチン接種後の治療間隔(ガイドライン)

美容皮膚科、美容外科小手術

前後3日(手術日は含まず)、自覚する副反応がなければ可
安心麻酔を使用するものは接種後1週間は空ける

美容外科中、大手術

前後1週間
副反応が残っている場合は延期
接種部位と手術部位が同じ場合は2週間は空ける