症例写真(No.108526)
当院の症例写真は、画像処理により形や大きさをかえるような処理は一切おこなっておりません。
湘南美容クリニック 医師
No.108526【若返り】【究極の“目の下のくま”治療】 若返りNO.1 【若返り専門クリニック 大阪東梅田院 限定治療】 “目の下の切らないたるみ取り” と “究極の脂肪注入若返り術”のコラボレーション☆ “目の下のくま”に対する最強のコンビネーション治療です♪ 脅威の定着率90%!! 『フィラーゲラー(マイクロCRF注入術) 目の下』+『目の下の切らないたるみ取り』 若返り手術総件数SBC内ナンバー1の東梅田院長 若返りデザイナーDr.杉崎による究極の脂肪注入術 極細の針で注入でき、非常に繊細な“しわ”の治療が可能です☆ あなたの気になる、【額のシワ/目の下の凸凹/頬のコケ/口元のシワ/首のシワ/手のシワ/ほうれい線……などなど】を、フィラーゲラーで劇的に改善してみませんか? 『フィラーゲラー』は、リッチフェイス、コンデンスリッチフェイス、LDFF等あらゆる脂肪注入術を超えた、“究極の脂肪注入若返り術”です。 術前 ⇒ 術後1ヶ月
施術前
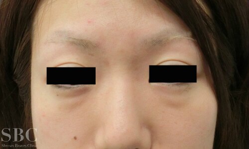
術前です。 “目の下のくま”が気になるとのことで手術を希望されました。 まず、目袋が出ているため、『目の下の切らないたるみ取り』で眼窩脂肪を除去し、目袋のふくらみを改善。 その下が相対的にくぼんでいるため、そこへ『フィラーゲラー(マイクロCRF)』で脂肪を注入して、目の下の凹凸を改善する方針となりました。 『フィラーゲラー』は、リッチフェイス、コンデンスリッチフェイス、LDFFなど、その他のあらゆる脂肪注入法とは一線を画すほどの、究極の脂肪注入術です。
すべての画像を見る
施術した院
部位
施術
施術回数
数量
性別



施術担当者からのコメント