症例写真(No.11937)

当院の症例写真は、画像処理により形や大きさをかえるような処理は一切おこなっておりません。

湘南美容クリニック 医師

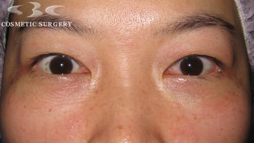
No.11937【若返り】私の目指す 美容外科 : 最小侵襲アンチエイジング外科 (Minimally Invasive Anti-aging Surgery:MIAS) 切らない目の下のクマ たるみ取り 自己再生TCB

施術前

年齢と共に 目の下のたるみが 大きくなり 私のもとを 訪れました。
→

施術後

術直後です。目の下の皮膚は切りません。 脳神経外科顕微鏡手術の技術を活かし 丁寧かつ 着実な施術することで、このように 直後でも 内出血は ありません。活き活きとした目元になられました。このまま お帰り頂きます。
すべての画像を見る

施術した院

部位

施術

施術回数

数量

性別

施術担当者からのコメント



×

当院におけるワクチン接種後の治療間隔(ガイドライン)

美容皮膚科、美容外科小手術

前後3日(手術日は含まず)、自覚する副反応がなければ可
安心麻酔を使用するものは接種後1週間は空ける

美容外科中、大手術

前後1週間
副反応が残っている場合は延期
接種部位と手術部位が同じ場合は2週間は空ける