症例写真(No.12890)
当院の症例写真は、画像処理により形や大きさをかえるような処理は一切おこなっておりません。
湘南美容クリニック 医師
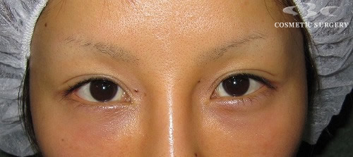
No.12890【若返り】私の目指す 美容外科 : 最小侵襲アンチエイジング外科 (Minimally Invasive Anti-aging Surgery:MIAS) 目の下の膨らみと窪みが混在したクマ・たるみにお悩みの方に:メスは使いません DR近藤オリジナル TCB−R SO コンプリート法
施術前
目の下の膨らみと その下の凹みが 混在したタイプの クマで いつも 疲れて見られがちでした。この場合 私の 切らない目の下のたるみ取りを まず 行い その後 その下の凹みラインにラディエッセ注入を行いました。
すべての画像を見る
施術した院
部位
施術
施術回数
数量
性別



施術担当者からのコメント